Vergleich

Anti-MUC1 Antibody Picoband® Europäischer Partner

ArtNr BOS-A00187-2
Hersteller Boster
Menge 100 ug/vial
Quantity options 100 ug/vial 10 ug 100 ug/vial 100 ug/vial 100 ug/vial 100 ug 100 ug 100 ug 100 ug/vial 100 ug/vial 100 ug/vial 100 ug/vial
Kategorie
Typ Antibody
Format Lyophilized
Applikationen WB, IF, IHC, ELISA
Specific against Human (Homo sapiens)
Host Rabbit
Isotype IgG
Citations 1. Gendler SJ, Lancaster CA, Taylor-Papadimitriou J, Duhig T, Peat N, Burchell J, Pemberton L, Lalani EN, Wilson D (September 1990). Molecular cloning and expression of human tumor-associated polymorphic epithelial mucin. J. Biol. Chem. 265 (25): 15286–93.
2. Wei, X., Xu, H., Kufe, D. MUC1 oncoprotein stabilizes and activates estrogen receptor alpha. Molec. Cell 21: 295-305, 2006.
3. Lu, W., Hisatsune, A., Koga, T., Kato, K., Kuwahara, I., Lillehoj, E. P., Chen, W., Cross, A. S., Gendler, S. J., Gewirtz, A. T., Kim, K. C. Cutting edge: enhanced pulmonary clearance of Pseudomonas aeruginosa by Muc1 knockout mice. J. Immun. 176: 3890-3894, 2006.
ECLASS 10.1 32160702
ECLASS 11.0 32160702
UNSPSC 12352203
Alias Mucin-1,MUC-1,Breast carcinoma-associated antigen DF3,Cancer antigen 15-3,CA 15-3,Carcinoma-associated mucin,Episialin,H23AG,Krebs von den Lungen-6,KL-6,PEMT,Peanut-reactive urinary mucin,PUM,Polymorphic epithelial mucin,PEM,Tumor-associated epithelial membrane antigen,EMA,Tumor-associated mucin,CD227,Mucin-1 subunit alpha,MUC1-NT,MUC1-alpha,Mucin-1 subunit beta,MUC1-beta,MUC1-CT,MUC1,PUM
Lieferbar
Manufacturer - Category
Primary Antibodies
Storage Conditions
Store at -20°C for one year from date of receipt. After reconstitution, at 4°C for one month. It can also be aliquotted and stored frozen at -20°C for six months. Avoid repeated freeze-thaw cycles.
Observed Molecular weight
25-30 kDa
Calculated Molecular weight
122 kDa
Clonality
Polyclonal
Application Details
Western blot, 0.25-0.5μg/ml, Human
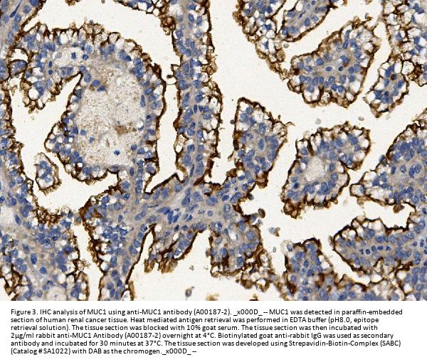
Immunohistochemistry (Paraffin-embedded Section), 2-5μg/ml, Human
Immunofluorescence, 5 μg/ml, Human
ELISA, 0.1-0.5μg/ml
Gene Name
MUC1
Gene Full Name
mucin 1, cell surface associated
Manufacturer - Specificity
No cross-reactivity with other proteins.
Background
Mucin 1, cell surface associated (MUC1) or polymorphic epithelial mucin (PEM) is a mucin encoded by the MUC1 gene in humans. This gene encodes a membrane-bound protein that is a member of the mucin family. Mucins are O-glycosylated proteins that play an essential role in forming protective mucous barriers on epithelial surfaces. It is mapped to 1q22. Mucin 1 is a transmembrane mucin normally expressed on the apical borders of secretory epithelial cells. Overexpression of Mucin 1 is often associated with colon, breast, ovarian, lung and pancreatic cancers. The protein serves a protective function by binding to pathogens and also functions in a cell signaling capacity. Mucin 1 stimulated ESR1-mediated transcription and contributed to estradiol-mediated growth and survival of breast cancer cells. This gene also can suppress pulmonary innate immunity, and its antiinflammatory activity may play an important modulatory role during microbial infection.
Immunogen
E.coli-derived human MUC1 recombinant protein (Position: T1063-R1131).
Contents
Each vial contains 4 mg Trehalose, 0.9 mg NaCl and 0.2 mg Na2HPO4.
Purification
Immunogen affinity purified.
Reconstitution
Add 0.2ml of distilled water will yield a concentration of 500ug/ml.
Concentration
Adding 0.2 ml of distilled water will yield a concentration of 500 μg/ml.
Manufacturer - Research Category
Cancer, Cell Type Markers, Cytoskeleton/ECM, ECM Proteins, Extracellular Matrix, Invasion/Microenvironment, Signal Transduction, Tags & Cell Markers, Tumor Associated, Tumor Immunology, Tumor-Associated Antigens
Protein Name
Apoptosis regulator BAX
Protein Function
The alpha subunit has cell adhesive properties. Can act both as an adhesion and an anti-adhesion protein. May provide a protective layer on epithelial cells against bacterial and enzyme attack.
Subcellular Localization
Apical cell membrane.
Description
Boster Bio Anti-MUC1 Antibody Picoband® catalog # A00187-2. Tested in ELISA, IF, IHC, WB applications. This antibody reacts with Human. The brand Picoband indicates this is a premium antibody that guarantees superior quality, high affinity, and strong signals with minimal background in Western blot applications. Only our best-performing antibodies are designated as Picoband, ensuring unmatched performance.
Tissue Specificity
Expressed on the apical surface of epithelial cells, especially of airway passages, breast and uterus. Also expressed in activated and unactivated T-cells. Overexpressed in epithelial tumors, such as breast or ovarian cancer and also in non-epithelial tumor cells. Isoform Y is expressed in tumor cells only.
Manufacturer - Alias
Mucin-1, MUC-1, Breast carcinoma-associated antigen DF3, Cancer antigen 15-3, CA 15-3, Carcinoma-associated mucin, Episialin, H23AG, Krebs von den Lungen-6, KL-6, PEMT, Peanut-reactive urinary mucin, PUM, Polymorphic epithelial mucin, PEM, Tumor-associated epithelial membrane antigen, EMA, Tumor-associated mucin, CD227, Mucin-1 subunit alpha, MUC1-NT, MUC1-alpha, Mucin-1 subunit beta, MUC1-beta, MUC1-CT, MUC1, PUM
Manufacturer - Cross Reactivity
No cross-reactivity with other proteins.

Hinweis: Die dargestellten Informationen und Dokumente (Bedienungsanleitung, Produktdatenblatt, Sicherheitsdatenblatt und Analysezertifikat) entsprechen unserem letzten Update und sollten lediglich der Orientierung dienen. Wir übernehmen keine Garantie für die Aktualität. Für spezifische Anforderungen bitten wir Sie, uns eine Anfrage zu stellen.

Alle Produkte sind nur für Forschungszwecke bestimmt. Nicht für den menschlichen, tierärztlichen oder therapeutischen Gebrauch.

Menge: 100 ug/vial
Lieferbar: In stock
lieferbar

Lieferung vsl. bis 13.01.2026 

Vergleichen

Auf den Wunschzettel

Angebot anfordern

Lieferzeit anfragen

Technische Frage stellen

Bulk-Anfrage stellen

Fragen zum Produkt?