Vergleich

Anti-PI 3 Kinase p85 alpha/PIK3R1 Antibody Picoband® Europäischer Partner

ArtNr BOS-A00318-1
Hersteller Boster
Menge 100 ug/vial
Quantity options 100 ug/vial 10 ug 100 ug/vial 100 ug/vial 100 ug/vial 100 ug 100 ug 100 ug 100 ug/vial 100 ug/vial 100 ug/vial 100 ug/vial
Kategorie
Typ Antibody
Format Lyophilized
Applikationen WB, FC, IF, IHC, ICC, ELISA
Specific against Human (Homo sapiens), Mouse (Murine, Mus musculus), Rat (Rattus norvegicus)
Host Rabbit
Isotype IgG
Citations 1. Volinia S, Patracchini P, Otsu M, Hiles I, Gout I, Calzolari E, Bernardi F, Rooke L, Waterfield MD (May 1992). Chromosomal localization of human p85 alpha, a subunit of phosphatidylinositol 3-kinase, and its homologue p85 beta. Oncogene 7 (4): 789–93. PMID 1314371.
2. Cannizzaro, L. A., Skolnik, E. Y., Margolis, B., Croce, C. M., Schlesinger, J., Huebner, K.The human gene encoding phosphatidylinositol 3-kinase associated p85-alpha is at chromosome region 5q12-13.Cancer Res.51: 3818-3820, 1991.
ECLASS 10.1 32160702
ECLASS 11.0 32160702
UNSPSC 12352203
Alias Copper chaperone for superoxide dismutase,Superoxide dismutase copper chaperone,CCS
Lieferbar
Manufacturer - Category
Primary Antibodies
Storage Conditions
At -20°C for one year from date of receipt. After reconstitution, at 4°C for one month. It can also be aliquotted and stored frozen at -20°C for six months. Avoid repeated freezing and thawing.
Observed Molecular weight
85 kDa
Calculated Molecular weight
29041 MW
Clonality
Polyclonal
Application Details
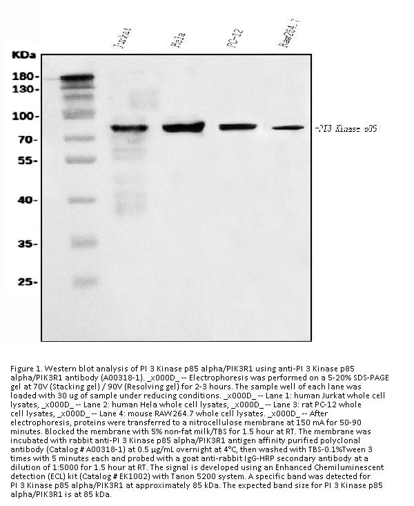
Western blot, 0.25-0.5 μg/ml, Human, Mouse, Rat
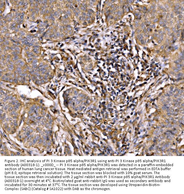
Immunohistochemistry(Paraffin-embedded Section), 2-5 μg/ml, Human, Mouse, Rat
Immunocytochemistry/Immunofluorescence, 5 μg/ml, Human
Flow Cytometry (Fixed), 1-3 μg/1x106 cells, Human
ELISA, 0.1-0.5 μg/ml
Gene Name
PIK3R1
Gene Full Name
Copper chaperone for superoxide dismutase
Manufacturer - Specificity
No cross-reactivity with other proteins
Background
Phosphatidylinositol 3-kinase regulatory subunit alpha is an enzyme that in humans is encoded by the PIK3R1 gene. Its gene is mapped to 5q13. the bovine PI3K p85 subunit consists of 2 closely related proteins, p85-alpha and p85-beta. They cloned cDNAs encoding both p85 subunits, each of which is a 724-amino acid polypeptide. Phosphatidylinositol 3-kinase plays an important role in the metabolic actions of insulin, and a mutation in this gene has been associated with insulin resistance.
Immunogen
E.coli-derived human PI 3 Kinase p85 alpha/PIK3R1 recombinant protein (Position: D117-Q153).
Contents
Each vial contains 4 mg Trehalose, 0.9 mg NaCl, 0.2 mg Na2HPO4.
Purification
Immunogen affinity purified.
Reconstitution
Adding 0.2 ml of distilled water will yield a concentration of 500 μg/ml.
Concentration
Adding 0.2 ml of distilled water will yield a concentration of 500 μg/ml.
Manufacturer - Research Category
Cancer, Cardiovascular, Metabolism, Neuroscience, Neurotransmission, Plasma Membrane, Potassium Channels, Receptors / Channels, Signal Transduction
Protein Name
Copper chaperone for superoxide dismutase
Protein Function
Delivers copper to copper zinc superoxide dismutase (SOD1).
Subcellular Localization
Cytoplasm.
Description
Boster Bio Anti-PI 3 Kinase p85 alpha/PIK3R1 Antibody Picoband® catalog # A00318-1. Tested in ELISA, Flow Cytometry, IF, IHC, ICC, WB applications. This antibody reacts with Human, Mouse, Rat. The brand Picoband indicates this is a premium antibody that guarantees superior quality, high affinity, and strong signals with minimal background in Western blot applications. Only our best-performing antibodies are designated as Picoband, ensuring unmatched performance.
Tissue Specificity
Ubiquitous.
Manufacturer - Cross Reactivity
No cross-reactivity with other proteins

Hinweis: Die dargestellten Informationen und Dokumente (Bedienungsanleitung, Produktdatenblatt, Sicherheitsdatenblatt und Analysezertifikat) entsprechen unserem letzten Update und sollten lediglich der Orientierung dienen. Wir übernehmen keine Garantie für die Aktualität. Für spezifische Anforderungen bitten wir Sie, uns eine Anfrage zu stellen.

Alle Produkte sind nur für Forschungszwecke bestimmt. Nicht für den menschlichen, tierärztlichen oder therapeutischen Gebrauch.

Menge: 100 ug/vial
Lieferbar: In stock
lieferbar

Vergleichen

Auf den Wunschzettel

Angebot anfordern

Lieferzeit anfragen

Technische Frage stellen

Bulk-Anfrage stellen

Fragen zum Produkt?