Vergleich

Anti-BCRP/ABCG2 Antibody Picoband® Europäischer Partner

ArtNr BOS-A00457-2
Hersteller Boster
Menge 100 ug/vial
Quantity options 100 ug/vial 10 ug 100 ug/vial 100 ug/vial 100 ug/vial 100 ug 100 ug 100 ug 100 ug/vial 100 ug/vial 100 ug/vial 100 ug/vial
Kategorie
Typ Antibody
Format Lyophilized
Applikationen WB, FC, IHC, ELISA
Specific against Human (Homo sapiens), Mouse (Murine, Mus musculus), Rat (Rattus norvegicus)
Host Rabbit
Isotype IgG
Citations 1. Jonker, J. W., Merino, G., Musters, S., van Herwaarden, A. E., Bolscher, E., Wagenaar, E., Mesman, E., Dale, T. C., Schinkel, A. H. The breast cancer resistance protein BCRP (ABCG2) concentrates drugs and carcinogenic xenotoxins into milk. Nature Med. 11: 127-129, 2005.
2. Matsuo, H., Takada, T., Ichida, K., Nakamura, T., Nakayama, A., Ikebuchi, Y., Ito, K., Kusanagi, Y., Chiba, T., Tadokoro, S., Takada, Y., Oikawa, Y., and 22 others. Common defects of ABCG2, a high-capacity urate exporter, cause gout: a function-based genetic analysis in a Japanese population.Sci. Transl. Med. 1: 5ra11, 2009.
3. Ozvegy, C., Litman, T., Szakacs, G., Nagy, Z., Bates, S., Varadi, A., Sarkadi, B. Functional characterization of the human multidrug transporter, ABCG2, expressed in insect cells.Biochem. Biophys. Res. Commun. 285: 111-117, 2001.
ECLASS 10.1 32160702
ECLASS 11.0 32160702
UNSPSC 12352203
Alias Beta-2-microglobulin,B2m
Lieferbar
Manufacturer - Category
Primary Antibodies
Storage Conditions
Store at -20°C for one year from date of receipt. After reconstitution, at 4°C for one month. It can also be aliquotted and stored frozen at -20°C for six months. Avoid repeated freeze-thaw cycles.
Observed Molecular weight
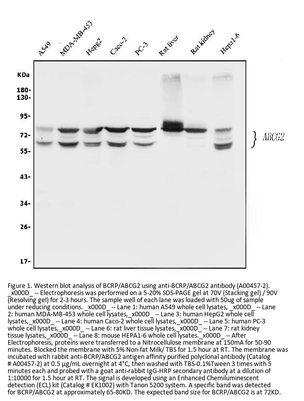
65-80 kDa
Calculated Molecular weight
22875 MW
Clonality
Polyclonal
Application Details
Western blot, 0.25-0.5μg/ml, Human, Mouse, Rat
Immunohistochemistry (Paraffin-embedded Section), 1-2μg/ml, Human, Mouse
Flow Cytometry (Fixed), 1-3μg/1x106 cells, Human
ELISA, 0.1-0.5μg/ml
Gene Name
ABCG2
Gene Full Name
beta-2 microglobulin
Manufacturer - Specificity
No cross-reactivity with other proteins
Background
ABCG2 (Atp-binding cassette, subfamily g, member 2) also known as ABCP, BCRP or MRX, is a protein that in humans is encoded by the ABCG2 gene. It is mapped on 4q22.1. The ABCG2 gene encodes a membrane transporter belonging to the ATP-binding cassette (ABC) superfamily of membrane transporters, which are involved in the trafficking of biologic molecules across cell membranes. The ABCG2 protein is also a high capacity transporter for uric acid excretion in the kidney, liver, and gut. In vitro assays of isolated membrane preparations revealed a high-capacity, vanadate-sensitive ATPase activity associated with ABCG2 expression that was stimulated by compounds known to be transported by this protein. ABCG2 is likely functioning as a homodimer or homooligomer in this expression system since it is unlikely that putative Sf9 transport partners would be overexpressed at similarly high levels. Abcg2 transports pheophorbide-a, which occurs in various plant-derived foods and food supplements and is highly efficient in limiting its uptake from ingested food. ABCG2 is a major factor in the concentrative transfer of drugs, carcinogens, and dietary toxins to the milk of mice, cows, and humans.
Immunogen
E.coli-derived human BCRP/ABCG2 recombinant protein (Position: M1-R378).
Contents
Each vial contains 4mg Trehalose, 0.9mg NaCl, 0.2mg Na2HPO4, 0.01mg NaN3.
Purification
Immunogen affinity purified.
Reconstitution
Add 0.2ml of distilled water will yield a concentration of 500ug/ml.
Concentration
Adding 0.2 ml of distilled water will yield a concentration of 500 μg/ml.
Manufacturer - Research Category
Immunoglobulins, Immunology
Protein Name
Neutrophil gelatinase-associated lipocalin
Protein Function
Component of the class I major histocompatibility complex (MHC). Involved in the presentation of peptide antigens to the immune system.
Subcellular Localization
Secreted. Upon binding to the SLC22A17 (24p3R) receptor, it is internalized.
Description
Boster Bio Anti-BCRP/ABCG2 Antibody Picoband® catalog # A00457-2. Tested in ELISA, Flow Cytometry, IHC, WB applications. This antibody reacts with Human, Mouse, Rat. The brand Picoband indicates this is a premium antibody that guarantees superior quality, high affinity, and strong signals with minimal background in Western blot applications. Only our best-performing antibodies are designated as Picoband, ensuring unmatched performance.
Tissue Specificity
Detected in lung, spleen, uterus, vagina and epididymis.
Manufacturer - Cross Reactivity
No cross-reactivity with other proteins

Hinweis: Die dargestellten Informationen und Dokumente (Bedienungsanleitung, Produktdatenblatt, Sicherheitsdatenblatt und Analysezertifikat) entsprechen unserem letzten Update und sollten lediglich der Orientierung dienen. Wir übernehmen keine Garantie für die Aktualität. Für spezifische Anforderungen bitten wir Sie, uns eine Anfrage zu stellen.

Alle Produkte sind nur für Forschungszwecke bestimmt. Nicht für den menschlichen, tierärztlichen oder therapeutischen Gebrauch.

Menge: 100 ug/vial
Lieferbar: In stock
lieferbar

Vergleichen

Auf den Wunschzettel

Angebot anfordern

Lieferzeit anfragen

Technische Frage stellen

Bulk-Anfrage stellen

Fragen zum Produkt?