Vergleich

Anti-Natriuretic Peptide Receptor A/GC-A/NPR1 Picoband® Antibody Europäischer Partner

ArtNr BOS-A01042
Hersteller Boster
Menge 100 ug/vial
Quantity options 100 ug/vial 10 ug 100 ug/vial 100 ug/vial 100 ug/vial 100 ug 100 ug 100 ug 100 ug/vial 100 ug/vial 100 ug/vial 100 ug/vial 100 ug
Kategorie
Typ Antibody
Format Lyophilized
Applikationen WB, IF, ICC, ELISA
Specific against Human (Homo sapiens)
Host Rabbit
Isotype IgG
Citations 1. Ferrari, P., Weidmann, P., Ferrier, C., Dietler, R., Hollmann, R., Piso, R. J., Wey, J., Shaw, S. Dysregulation of atrial natriuretic factor in hypertension-prone man. J. Clin. Endocr. Metab. 71: 944-951, 1990.
2. Garbers, D. L., Lowe, D. G. Guanylyl cyclase receptors. J. Biol. Chem. 269: 30741-30744, 1994.
3. Kishimoto, I., Rossi, K., Garbers, D. L. A genetic model provides evidence that the receptor for atrial natriuretic peptide (guanylyl cyclase-A) inhibits cardiac ventricular myocyte hypertrophy. Proc. Nat. Acad. Sci. 98: 2703-2706, 2001.
ECLASS 10.1 32160702
ECLASS 11.0 32160702
UNSPSC 12352203
Alias Atrial natriuretic peptide receptor 1,Atrial natriuretic peptide receptor type A,ANP-A,ANPR-A,NPR-A,Guanylate cyclase A,GC-A,NPR1,ANPRA
Lieferbar
Manufacturer - Category
Primary Antibodies
Storage Conditions
Store at -20°C for one year from date of receipt. After reconstitution, at 4°C for one month. It can also be aliquotted and stored frozen at -20°C for six months. Avoid repeated freeze-thaw cycles.
Observed Molecular weight
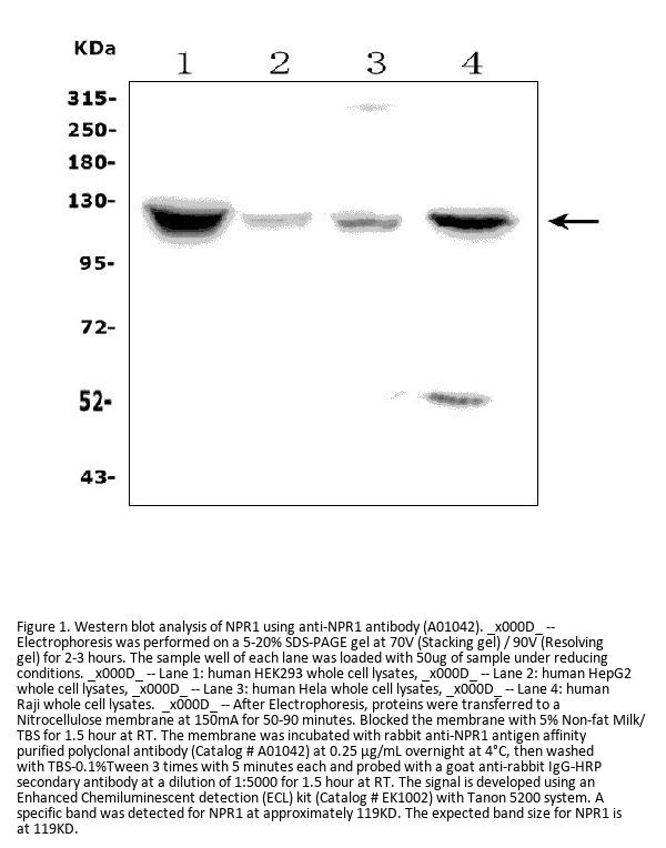
119 kDa
Clonality
Polyclonal
Application Details
Western blot, 0.1-0.25μg/ml, Human
Immunocytochemistry/Immunofluorescence, 2μg/ml, Human
ELISA, 0.1-0.5μg/ml
Gene Name
NPR1
Gene Full Name
natriuretic peptide receptor 1
Manufacturer - Specificity
No cross reactivity with other proteins.
Background
Natriuretic peptide receptor A/guanylate cyclase A (atrionatriuretic peptide receptor A), also known as NPR1, is an atrial natriuretic peptide receptor. In humans it is encoded by the NPR1 gene. It is mapped to 1q21.3. Guanylyl cyclases, catalyzing the production of cGMP from GTP, are classified as soluble and membrane forms. The membrane guanylyl cyclases, often termed guanylyl cyclases A through F, form a family of cell-surface receptors with a similar topographic structure: an extracellular ligand-binding domain, a single membrane-spanning domain, and an intracellular region that contains a protein kinase-like domain and a cyclase catalytic domain. GC-A and GC-B function as receptors for natriuretic peptides; they are also referred to as atrial natriuretic peptide receptor A (NPR1) and type B. Also see NPR3, which encodes a protein with only the ligand-binding transmembrane and 37-amino acid cytoplasmic domains. NPR1 is a membrane-bound guanylate cyclase that serves as the receptor for both atrial and brain natriuretic peptides and BNP.
Immunogen
E.coli-derived human Natriuretic Peptide Receptor A/GC-A/NPR1 recombinant protein (Position: A58-K501).
Contents
Each vial contains 4mg Trehalose, 0.9mg NaCl, 0.2mg Na2HPO4, 0.05mg NaN3.
Purification
Immunogen affinity purified.
Reconstitution
Add 0.2ml of distilled water will yield a concentration of 500ug/ml.
Concentration
Adding 0.2 ml of distilled water will yield a concentration of 500 μg/ml.
Manufacturer - Research Category
Neuroscience, Neurotransmission, Potassium Channels, Receptors / Channels
Protein Function
Receptor for the atrial natriuretic peptide NPPA/ANP and the brain natriuretic peptide NPPB/BNP which are potent vasoactive hormones playing a key role in cardiovascular homeostasis. Has guanylate cyclase activity upon binding of the ligand.
Subcellular Localization
Membrane. Single-pass type I membrane protein.
Description
Boster Bio Anti-Natriuretic Peptide Receptor A/GC-A/NPR1 Picoband® Antibody catalog # A01042. Tested in ELISA, IF, ICC, WB applications. This antibody reacts with Human. The brand Picoband indicates this is a premium antibody that guarantees superior quality, high affinity, and strong signals with minimal background in Western blot applications. Only our best-performing antibodies are designated as Picoband, ensuring unmatched performance.
Tissue Specificity
Detected in gallbladder bile. Detected in fibroblasts, kidney, liver, spleen, small intestine, placenta and testis (at protein level). Epididymis.
Manufacturer - Cross Reactivity
No cross-reactivity with other proteins.

Hinweis: Die dargestellten Informationen und Dokumente (Bedienungsanleitung, Produktdatenblatt, Sicherheitsdatenblatt und Analysezertifikat) entsprechen unserem letzten Update und sollten lediglich der Orientierung dienen. Wir übernehmen keine Garantie für die Aktualität. Für spezifische Anforderungen bitten wir Sie, uns eine Anfrage zu stellen.

Alle Produkte sind nur für Forschungszwecke bestimmt. Nicht für den menschlichen, tierärztlichen oder therapeutischen Gebrauch.

Menge: 100 ug/vial
Lieferbar: In stock
lieferbar

Vergleichen

Auf den Wunschzettel

Angebot anfordern

Lieferzeit anfragen

Technische Frage stellen

Bulk-Anfrage stellen

Fragen zum Produkt?