Vergleich

Anti-ALDH3A1 Antibody Picoband® Europäischer Partner

ArtNr BOS-A01121-3
Hersteller Boster
Menge 100 ug/vial
Quantity options 100 ug/vial 10 ug 100 ug/vial 100 ug/vial 100 ug/vial 100 ug 100 ug 100 ug 100 ug/vial 100 ug/vial 100 ug/vial 100 ug/vial
Kategorie
Typ Antibody
Format Lyophilized
Applikationen WB, IF, ICC
Specific against Human (Homo sapiens), Mouse (Murine, Mus musculus), Rat (Rattus norvegicus)
Host Rabbit
Isotype IgG
Citations 1. Hiraoka, L. R., Hsu, L., Hsieh, C.-L. Assignment of ALDH3 to human chromosome 17p11.2 and ALDH5 to human chromosome 9p13. Genomics 25: 323-325, 1995.
2. Santisteban, I., Povey, S., West, L. F., Parrington, J. M., Hopkinson, D. A. Chromosome assignment, biochemical and immunological studies on a human aldehyde dehydrogenase, ALDH3. Ann. Hum. Genet. 49: 87-100, 1985.
ECLASS 10.1 32160702
ECLASS 11.0 32160702
UNSPSC 12352203
Alias CREB-regulated transcription coactivator 2,Transducer of regulated cAMP response element-binding protein 2,TORC-2,Transducer of CREB protein 2,CRTC2,TORC2
Lieferbar
Manufacturer - Category
Primary Antibodies
Storage Conditions
At -20°C for one year from date of receipt. After reconstitution, at 4°C for one month. It can also be aliquotted and stored frozen at -20°C for six months. Avoid repeated freezing and thawing.
Observed Molecular weight
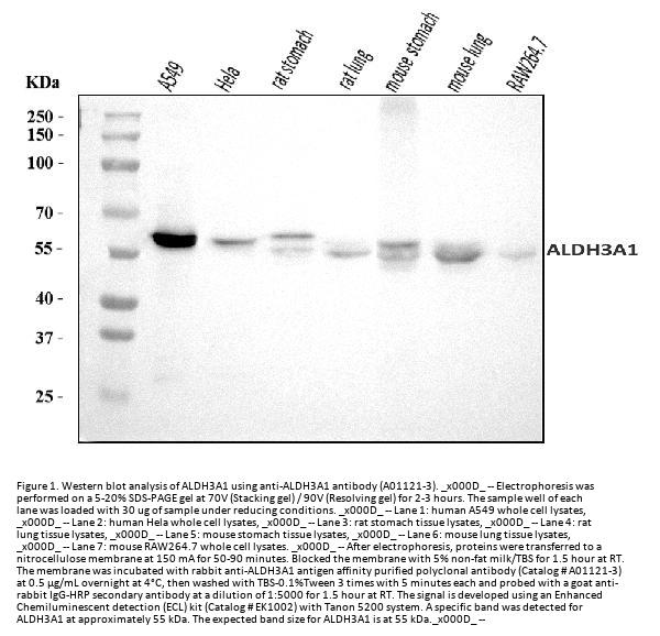
55 kDa
Clonality
Polyclonal
Application Details
Western blot, 0.25-0.5 μg/ml, Human, Mouse, Rat
Immunocytochemistry/Immunofluorescence, 5 μg/ml, Human
Gene Name
ALDH3A1
Gene Full Name
CREB regulated transcription coactivator 2
Manufacturer - Specificity
No cross-reactivity with other proteins.
Background
ALDH3A1(Aldehyde Dehydrogenase, Family 3, Subfamily A, Member 1), also known as ALDH3, is an enzyme that in humans is encoded by the ALDH3A1 gene. By in situ hybridization, Hiraoka et al.(1995) mapped the ALDH3 gene to 17p11.2. ALDHs play a major role in the detoxification of alcohol-derived acetaldehyde. They are involved in the metabolism of corticosteroids, biogenic amines, neurotransmitters, and lipid peroxidation. This protein preferentially oxidizes aromatic aldehyde substrates. It may play a role in the oxidation of toxic aldehydes.
Immunogen
A synthetic peptide corresponding to a sequence in the middle region of human ALDH3A1, identical to the related mouse and rat sequences.
Contents
Each vial contains 4 mg Trehalose, 0.9 mg NaCl, 0.2 mg Na2HPO4.
Purification
Immunogen affinity purified.
Reconstitution
Adding 0.2 ml of distilled water will yield a concentration of 500 μg/ml.
Concentration
Adding 0.2 ml of distilled water will yield a concentration of 500 μg/ml.
Manufacturer - Research Category
Cancer, Co-Activators/Co-Repressors, Energy Metabolism, Energy Transfer Pathways, Epigenetics and Nuclear Signaling, Metabolic Signaling Pathways, Metabolism, Neurology Process, Neuroscience, Nuclear Hormone Receptors, Nuclear Receptors, Nuclear Signaling, Nuclear Signaling Pathways, Pathways and Processes, Signal Transduction, Signaling Pathway
Protein Function
Transcriptional coactivator for CREB1 which activates transcription through both consensus and variant cAMP response element (CRE) sites. Acts as a coactivator, in the SIK/TORC signaling pathway, being active when dephosphorylated and acts independently of CREB1 'Ser-133' phosphorylation. Enhances the interaction of CREB1 with TAF4. Regulates gluconeogenesis as a component of the LKB1/AMPK/TORC2 signaling pathway. Regulates the expression of specific genes such as the steroidogenic gene, StAR. Potent coactivator of PPARGC1A and inducer of mitochondrial biogenesis in muscle cells. Also coactivator for TAX activation of the human T-cell leukemia virus type 1 (HTLV-1) long terminal repeats (LTR).
Subcellular Localization
Cytoplasm.
Description
Boster Bio Anti-ALDH3A1 Antibody Picoband® catalog # A01121-3. Tested in IF, ICC, WB applications. This antibody reacts with Human, Mouse, Rat. The brand Picoband indicates this is a premium antibody that guarantees superior quality, high affinity, and strong signals with minimal background in Western blot applications. Only our best-performing antibodies are designated as Picoband, ensuring unmatched performance.
Tissue Specificity
Most abundantly expressed in the thymus. Present in both B and T-lymphocytes. Highly expressed in HEK293T cells and in insulinomas. High levels also in spleen, ovary, muscle and lung, with highest levels in muscle. Lower levels found in brain, colon, heart, kidney, prostate, small intestine and stomach. Weak expression in liver and pancreas.
Manufacturer - Cross Reactivity
No cross-reactivity with other proteins.

Hinweis: Die dargestellten Informationen und Dokumente (Bedienungsanleitung, Produktdatenblatt, Sicherheitsdatenblatt und Analysezertifikat) entsprechen unserem letzten Update und sollten lediglich der Orientierung dienen. Wir übernehmen keine Garantie für die Aktualität. Für spezifische Anforderungen bitten wir Sie, uns eine Anfrage zu stellen.

Alle Produkte sind nur für Forschungszwecke bestimmt. Nicht für den menschlichen, tierärztlichen oder therapeutischen Gebrauch.

Menge: 100 ug/vial
Lieferbar: In stock
lieferbar

Vergleichen

Auf den Wunschzettel

Angebot anfordern

Lieferzeit anfragen

Technische Frage stellen

Bulk-Anfrage stellen

Fragen zum Produkt?