Vergleich

Anti-NEFL/NF-L Antibody Picoband® Europäischer Partner

ArtNr BOS-A02482-1
Hersteller Boster
Menge 100 ug/vial
Quantity options 100 ug/vial 10 ug 100 ug/vial 100 ug/vial 100 ug/vial 100 ug 100 ug 100 ug 100 ug/vial 100 ug/vial 100 ug/vial 100 ug/vial
Kategorie
Typ Antibody
Format Lyophilized
Applikationen WB, FC, IF, IHC, ELISA
Specific against Human (Homo sapiens), Mouse (Murine, Mus musculus), Rat (Rattus norvegicus)
Host Rabbit
Isotype IgG
Sensitivity <10 pg/ml
Citations 1. Berciano, J., Garcia, A., Peeters, K., Gallardo, E., De Vriendt, E., Palayo-Negro, A. L., Infante, J., Jordanova, A. NEFL E396K mutation is associated with a novel dominant intermediate Charcot-Marie-Tooth disease phenotype. J. Neurol. 262: 1289-1300, 2015.
2. Hurst, J., Flavell, D., Julien, J.-P., Meijer, D., Mushynski, W., Grosveld, F. The human neurofilament gene (NEFL) is located on the short arm of chromosome 8. Cytogenet. Cell Genet. 45: 30-32, 1987.
3. Leung, C. L., Nagan, N., Graham, T. H., Liem, R. K. H. A novel duplication/insertion mutation of NEFL in a patient with Charcot-Marie-Tooth disease. Am. J. Med. Genet. 140A: 1021-1025, 2006.
ECLASS 10.1 32160702
ECLASS 11.0 32160702
UNSPSC 12352203
Alias Fatty acid-binding protein,liver,Fatty acid-binding protein 1,Liver-type fatty acid-binding protein,L-FABP,Squalene- and sterol-carrier protein,SCP,Z-protein,p14,Fabp1
Lieferbar
Manufacturer - Category
Primary Antibodies
Storage Conditions
Store at -20°C for one year from date of receipt. After reconstitution, at 4°C for one month. It can also be aliquotted and stored frozen at -20°C for six months. Avoid repeated freeze-thaw cycles.
Observed Molecular weight
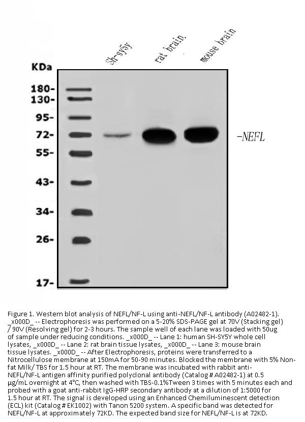
72 kDa
Calculated Molecular weight
22105 MW
Clonality
Polyclonal
Application Details
Western blot, 0.25-0.5μg/ml, Human, Mouse, Rat
Immunohistochemistry (Paraffin-embedded Section), 2-5μg/ml, Mouse, Rat
Immunofluorescence, 5 μg/ml, Mouse, Rat
Flow Cytometry (Fixed), 1-3μg/1x106 cells, Human
ELISA, 0.1-0.5μg/ml
Gene Name
NEFL
Gene Full Name
fatty acid binding protein 1
Manufacturer - Specificity
No cross-reactivity with other proteins.
Background
Neurofilament light polypeptide (NFL), also known as neurofilament light chain, is a neurofilament protein that in humans is encoded by the NEFL gene. Neurofilaments are type IV intermediate filament heteropolymers composed of light, medium, and heavy chains. Neurofilaments comprise the axoskeleton and they functionally maintain the neuronal caliber. They may also play a role in intracellular transport to axons and dendrites. This gene encodes the light chain neurofilament protein. Mutations in this gene cause Charcot-Marie-Tooth disease types 1F (CMT1F) and 2E (CMT2E), disorders of the peripheral nervous system that are characterized by distinct neuropathies. A pseudogene has been identified on chromosome Y.
Immunogen
E.coli-derived human NEFL/NF-L recombinant protein (Position: F4-A463).
Contents
Each vial contains 4mg Trehalose, 0.9mg NaCl and 0.2mg Na2HPO4.
Purification
Immunogen affinity purified.
Reconstitution
Add 0.2ml of distilled water will yield a concentration of 500ug/ml.
Concentration
Adding 0.2 ml of distilled water will yield a concentration of 500 μg/ml.
Manufacturer - Research Category
Fatty Acid Oxidation, Fatty Acids, Lipid and Lipoprotein Metabolism, Lipid Metabolism, Metabolic Signaling Pathways, Metabolism, Pathways and Processes, Redox Metabolism, Signal Transduction
Protein Function
Plays a role in lipoprotein-mediated cholesterol uptake in hepatocytes (By similarity). Binds cholesterol (PubMed:25732850). Binds free fatty acids and their coenzyme A derivatives, bilirubin, and some other small molecules in the cytoplasm. May be involved in intracellular lipid transport (By similarity).
Subcellular Localization
Cytoplasm.
Description
Boster Bio Anti-NEFL/NF-L Antibody Picoband® catalog # A02482-1. Tested in ELISA, Flow Cytometry, IF, IHC, WB applications. This antibody reacts with Human, Mouse, Rat. The brand Picoband indicates this is a premium antibody that guarantees superior quality, high affinity, and strong signals with minimal background in Western blot applications. Only our best-performing antibodies are designated as Picoband, ensuring unmatched performance.
Tissue Specificity
Expressed in lung cancers, including adenocarcinoma, squamous cell carcinoma and small-cell carcinoma. Widely expressed. Expressed in fetal kidney, liver, lung and brain. In adult highest expression in heart and placenta.
Manufacturer - Cross Reactivity
No cross-reactivity with other proteins.

Hinweis: Die dargestellten Informationen und Dokumente (Bedienungsanleitung, Produktdatenblatt, Sicherheitsdatenblatt und Analysezertifikat) entsprechen unserem letzten Update und sollten lediglich der Orientierung dienen. Wir übernehmen keine Garantie für die Aktualität. Für spezifische Anforderungen bitten wir Sie, uns eine Anfrage zu stellen.

Alle Produkte sind nur für Forschungszwecke bestimmt. Nicht für den menschlichen, tierärztlichen oder therapeutischen Gebrauch.

Menge: 100 ug/vial
Lieferbar: In stock
lieferbar

Vergleichen

Auf den Wunschzettel

Angebot anfordern

Lieferzeit anfragen

Technische Frage stellen

Bulk-Anfrage stellen

Fragen zum Produkt?