Vergleich

Anti-NeuN/Rbfox3 Antibody Picoband® Europäischer Partner

ArtNr BOS-A11954-1
Hersteller Boster
Menge 100 ug/vial
Quantity options 100 ug/vial 10 ug 100 ug 100 ug 100 ug 100 ug 100 ug 100 ug 100 ug 100 ug 100 ug 100 ug
Kategorie
Typ Antibody
Format Lyophilized
Applikationen WB, IF, IHC, ELISA
Specific against Mouse (Murine, Mus musculus), Rat (Rattus norvegicus)
Host Rabbit
Isotype IgG
Citations 1. Dredge, B. K., Jensen, K. B. NeuN/Rbfox3 nuclear and cytoplasmic isoforms differentially regulate alternative splicing and nonsense-mediated decay of Rbfox2. PLoS One 6: e21585, 2011. Note: Electronic Article.
2. Hartz, P. A. Personal Communication. Baltimore, Md. 6/22/2016.
3. Kim, K. K., Adelstein, R. S., Kawamoto, S. Identification of neuronal nuclei (NeuN) as Fox-3, a new member of the Fox-1 gene family of splicing factors. J. Biol. Chem. 284: 31052-31061, 2009.
ECLASS 10.1 32160702
ECLASS 11.0 32160702
UNSPSC 12352203
Alias Solute carrier family 2,facilitated glucose transporter member 6,Glucose transporter type 6,GLUT-6,Glucose transporter type 9,GLUT-9,SLC2A6,GLUT9
Lieferbar
Manufacturer - Category
Primary Antibodies
Storage Conditions
At -20°C for one year from date of receipt. After reconstitution, at 4°C for one month. It can also be aliquotted and stored frozen at -20°C for six months. Avoid repeated freezing and thawing.
Observed Molecular weight
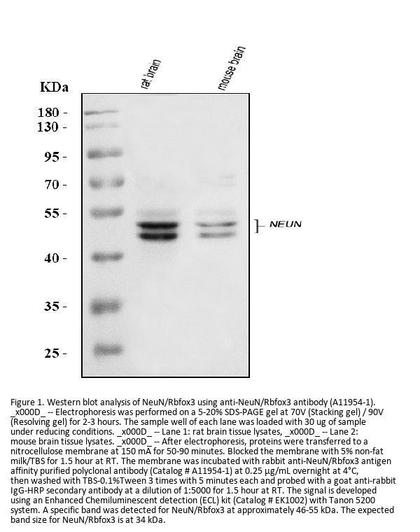
46-55 kDa
Clonality
Polyclonal
Application Details
Western blot, 0.1-0.25 μg/ml, Mouse, Rat
Immunohistochemistry(Paraffin-embedded Section), 2-5 μg/ml, Human, Mouse, Rat
Immunofluorescence, 5 μg/ml, Rat
ELISA, 0.1-0.5 μg/ml
Gene Name
Rbfox3
Gene Full Name
solute carrier family 2 member 6
Manufacturer - Specificity
No cross-reactivity with other proteins.
Background
RNA binding protein, fox-1 homolog (C. elegans) 3 (Rbfox3) is a protein that in humans is encoded by the RBFOX3 gene. This gene encodes a member of the RNA-binding FOX protein family which is involved in the regulation of alternative splicing of pre-mRNA. The protein has an N-terminal proline-rich region, an RNA recognition motif (RRM) domain, and a C-terminal alanine-rich region. This gene produces the neuronal nuclei (NeuN) antigen that has been widely used as a marker for post-mitotic neurons. This gene has its highest expression in the central nervous system and plays a prominent role in neural tissue development and regulation of adult brain function. Mutations in this gene have been associated with numerous neurological disorders. Alternative splicing of this gene results in multiple transcript variants encoding distinct isoforms.
Immunogen
E.coli-derived mouse NeuN/Rbfox3 recombinant protein (Position: H28-D304).
Contents
Each vial contains 4 mg Trehalose, 0.9 mg NaCl, 0.2 mg Na2HPO4.
Purification
Immunogen affinity purified.
Reconstitution
Adding 0.2 ml of distilled water will yield a concentration of 500 μg/ml.
Concentration
Adding 0.2 ml of distilled water will yield a concentration of 500 μg/ml.
Manufacturer - Research Category
Cancer, Channels, Metabolism, Plasma Membrane, Signal Transduction
Protein Function
Facilitative glucose transporter; binds cytochalasin B with low affinity.
Subcellular Localization
Cell membrane. Multi-pass membrane protein.
Description
Boster Bio Anti-NeuN/Rbfox3 Antibody Picoband® catalog # A11954-1. Tested in ELISA, IF, IHC, WB applications. This antibody reacts with Human, Mouse, Rat. The brand Picoband indicates this is a premium antibody that guarantees superior quality, high affinity, and strong signals with minimal background in Western blot applications. Only our best-performing antibodies are designated as Picoband, ensuring unmatched performance.
Tissue Specificity
Highly expressed in brain, spleen and peripheral blood leukocytes.
Manufacturer - Cross Reactivity
No cross-reactivity with other proteins.

Hinweis: Die dargestellten Informationen und Dokumente (Bedienungsanleitung, Produktdatenblatt, Sicherheitsdatenblatt und Analysezertifikat) entsprechen unserem letzten Update und sollten lediglich der Orientierung dienen. Wir übernehmen keine Garantie für die Aktualität. Für spezifische Anforderungen bitten wir Sie, uns eine Anfrage zu stellen.

Alle Produkte sind nur für Forschungszwecke bestimmt. Nicht für den menschlichen, tierärztlichen oder therapeutischen Gebrauch.

Menge: 100 ug/vial
Lieferbar: In stock
lieferbar

Vergleichen

Auf den Wunschzettel

Angebot anfordern

Lieferzeit anfragen

Technische Frage stellen

Bulk-Anfrage stellen

Fragen zum Produkt?