Vergleich

Anti-SLC25A51/52 Antibody Picoband® Europäischer Partner

ArtNr BOS-A17353
Hersteller Boster
Menge 100 ug/vial
Quantity options 100 ug/vial 10 ug 100 ug 100 ug 100 ug 100 ug 100 ug 100 ug 100 ug 100 ug 100 ug 100 ug 100 ug
Kategorie
Typ Antibody
Format Lyophilized
Applikationen WB, FC, IF, IHC, ICC, ELISA
Specific against Human (Homo sapiens), Mouse (Murine, Mus musculus), Monkey (Cynomolgus, Simian)
Host Rabbit
Isotype IgG
Citations 1. Gross, M. B. Personal Communication. Baltimore, Md. 1/13/2021.
2. Luongo, T. S., Eller, J. M., Lu, M.-J., Niere, M., Raith, F., Perry, C., Bornstein, M. R., Oliphint, P., Wang, L., McReynolds, M. R., Migaud, M. E., Rabinowitz, J. D., Johnson, F. B., Johnsson, K., Ziegler, M., Cambronne, X. A., Baur, J. A. SLC25A51 is a mammalian mitochondrial NAD+ transporter. Nature 588: 174-179, 2020.
3. Palmieri, F. The mitochondrial transporter family SLC25: Identification, properties and physiopathology. Molec. Aspects Med. 34: 465-484, 2013.
ECLASS 10.1 32160702
ECLASS 11.0 32160702
UNSPSC 12352203
Alias Pyridine nucleotide-disulfide oxidoreductase domain-containing protein 1,PYROXD1
Lieferbar
Manufacturer - Category
Primary Antibodies
Storage Conditions
At -20°C for one year from date of receipt. After reconstitution, at 4°C for one month. It can also be aliquotted and stored frozen at -20°C for six months. Avoid repeated freezing and thawing.
Observed Molecular weight
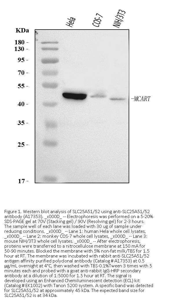
45 kDa
Calculated Molecular weight
24145 MW
Clonality
Polyclonal
Application Details
Western blot, 0.25-0.5 μg/ml, Human, Monkey, Mouse
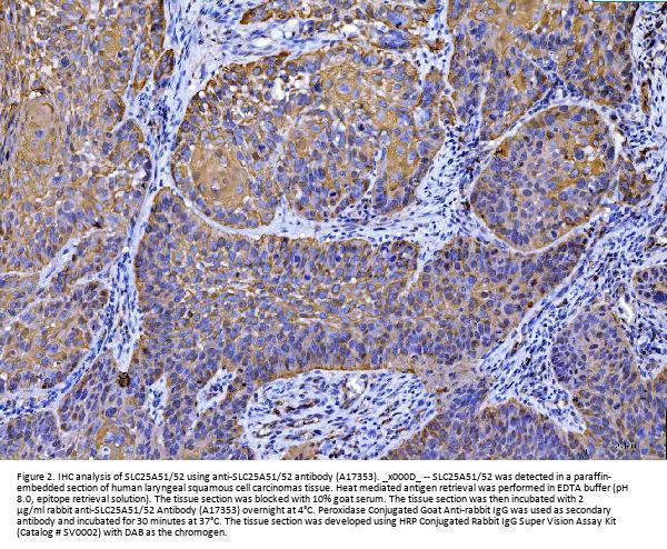
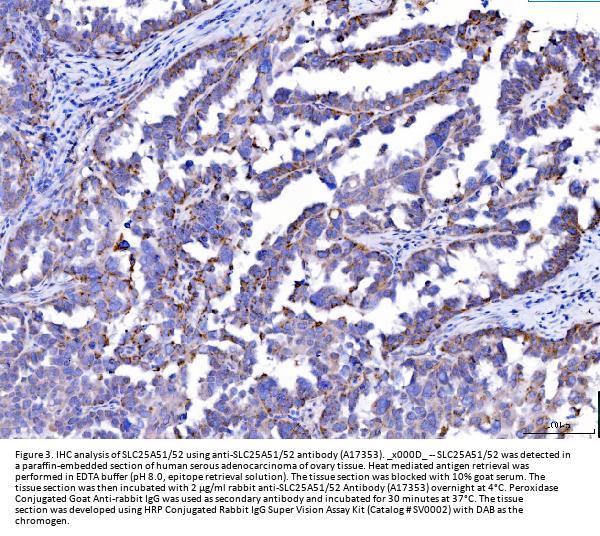
Immunohistochemistry(Paraffin-embedded Section), 2-5 μg/ml, Human
Immunocytochemistry/Immunofluorescence, 5 μg/ml, Human
Flow Cytometry (Fixed), 1-3 μg/1x106 cells, Human
ELISA, 0.1-0.5 μg/ml
Gene Name
SLC25A51/52
Gene Full Name
pyridine nucleotide-disulphide oxidoreductase domain 1
Manufacturer - Specificity
No cross-reactivity with other proteins.
Background
SLC25A51 gene ontology annotations related to this gene include transmembrane transporter activity.
Immunogen
E.coli-derived human SLC25A51/52 recombinant protein (Position: M1-E291).
Contents
Each vial contains 4 mg Trehalose, 0.9 mg NaCl, 0.2 mg Na2HPO4.
Purification
Immunogen affinity purified.
Reconstitution
Adding 0.2 ml of distilled water will yield a concentration of 500 μg/ml.
Concentration
Adding 0.2 ml of distilled water will yield a concentration of 500 μg/ml.
Manufacturer - Research Category
Cell Biology
Protein Name
Transmembrane protein 240
Protein Function
Involved in cellular response to oxidative stress.
Subcellular Localization
Nucleus. Sarcomere.
Description
Boster Bio Anti-SLC25A51/52 Antibody Picoband® catalog # A17353. Tested in ELISA, Flow Cytometry, IF, IHC, ICC, WB applications. This antibody reacts with Human, Monkey, Mouse. The brand Picoband indicates this is a premium antibody that guarantees superior quality, high affinity, and strong signals with minimal background in Western blot applications. Only our best-performing antibodies are designated as Picoband, ensuring unmatched performance.
Tissue Specificity
Detected in liver, skeletal muscle, kidney, pancreas, spleen, thyroid, testis, ovary, small intestine and colon.
Manufacturer - Cross Reactivity
No cross-reactivity with other proteins.

Hinweis: Die dargestellten Informationen und Dokumente (Bedienungsanleitung, Produktdatenblatt, Sicherheitsdatenblatt und Analysezertifikat) entsprechen unserem letzten Update und sollten lediglich der Orientierung dienen. Wir übernehmen keine Garantie für die Aktualität. Für spezifische Anforderungen bitten wir Sie, uns eine Anfrage zu stellen.

Alle Produkte sind nur für Forschungszwecke bestimmt. Nicht für den menschlichen, tierärztlichen oder therapeutischen Gebrauch.

Menge: 100 ug/vial
Lieferbar: In stock
lieferbar

Vergleichen

Auf den Wunschzettel

Angebot anfordern

Lieferzeit anfragen

Technische Frage stellen

Bulk-Anfrage stellen

Fragen zum Produkt?