Vergleich

Anti-PARP/PARP1 Picoband® Antibody (monoclonal, 2I2H4) Europäischer Partner

ArtNr BOS-M00122-4
Hersteller Boster
Menge 100 ug/vial
Quantity options 100 ug/vial 10 ug 100 ug 100 ug 100 ug 100 ug 100 ug 100 ug 100 ug 100 ug 100 ug 100 ug
Kategorie
Typ Antibody Monoclonal
Format Lyophilized
Applikationen WB, FC, IF, IHC, ICC
Clon 2I2H4
Specific against Human (Homo sapiens), Mouse (Murine, Mus musculus), Rat (Rattus norvegicus)
Host Mouse
Isotype IgG1
Citations 1. Ambrose, H. E., Willimott, S., Beswick, R. W., Dantzer, F., Menissier de Murcia, J., Yelamos, J., Wagner, S. D. Poly(ADP-ribose) polymerase-1 (Parp-1)-deficient mice demonstrate abnormal antibody responses. Immunology 127: 178-186, 2008.
2. Doege, C. A., Inoue, K., Yamashita, T., Rhee, D. B., Travis, S., Fujita, R., Guarnieri, P., Bhagat, G., Vanti, W. B., Shih, A., Levine, R. L., Nik, S., Chen, E. I., Abeliovich, A. Early-stage epigenetic modification during somatic cell reprogramming by Parp1 and Tet2. Nature 488: 652-655, 2012.
ECLASS 10.1 42030590
ECLASS 11.0 42030590
UNSPSC 12352203
Alias Interleukin-6,IL-6,B-cell stimulatory factor 2,BSF-2,CTL differentiation factor,CDF,Hybridoma growth factor,Interferon beta-2,IFN-beta-2,IL6,IFNB2
Lieferbar
Manufacturer - Category
Primary Antibodies
Storage Conditions
Store at -20°C for one year from date of receipt. After reconstitution, at 4°C for one month. It can also be aliquotted and stored frozen at -20°C for six months. Avoid repeated freeze-thaw cycles.
Observed Molecular weight
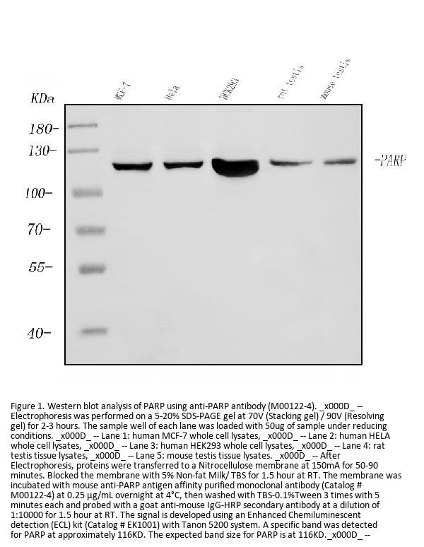
116 kDa
Clonality
Monoclonal
Application Details
Western blot, 0.1-0.25μg/ml, Human, Mouse, Rat
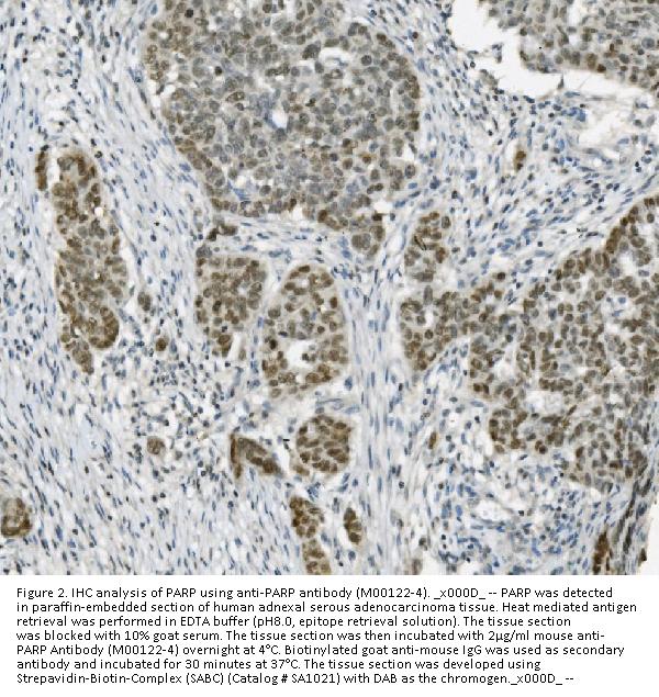
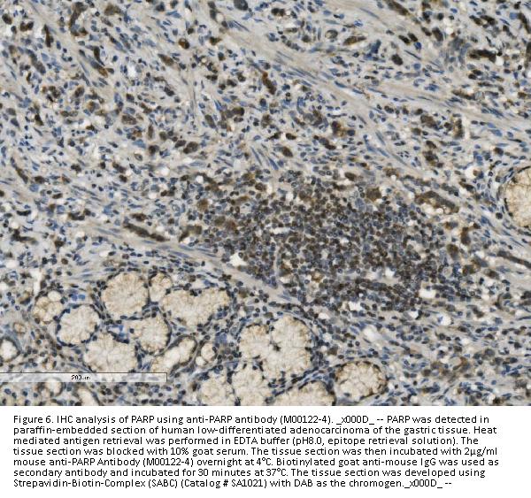
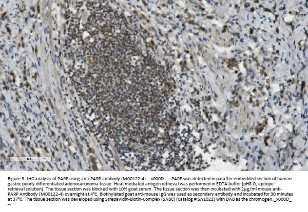
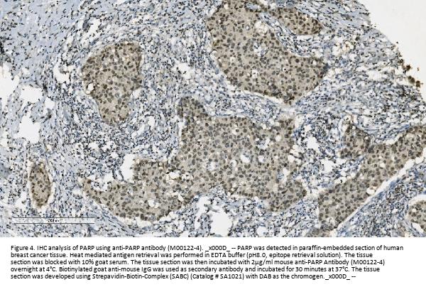
Immunohistochemistry (Paraffin-embedded Section), 2-5μg/ml, Human
Immunocytochemistry/Immunofluorescence, 5μg/ml, Human
Flow Cytometry (Fixed), 1-3μg/1x106 cells, Human
Gene Name
PARP1
Gene Full Name
interleukin 6
Manufacturer - Specificity
No cross-reactivity with other proteins.
Background
Poly [ADP-ribose] polymerase 1 (PARP1), also known as ADPRT or PPOL is an enzyme that in humans is encoded by the PARP1 gene. PARP1 gene is mapped to 1q42.12. This gene encodes a chromatin-associated enzyme, poly (ADP-ribosyl)transferase, which modifies various nuclear proteins by poly (ADP-ribosyl)ation. The modification is dependent on DNA and is involved in the regulation of various important cellular processes such as differentiation, proliferation, and tumor transformation and also in the regulation of the molecular events involved in the recovery of cell from DNA damage. In addition, this enzyme may be the site of mutation in Fanconi anemia, and may participate in the pathophysiology of type I diabetes.
Immunogen
E.coli-derived human PARP recombinant protein (Position: Q670-R858). Human PARP shares 94% and 95% amino acid (aa) sequence identity with mouse and rat PARP, respectively.
Contents
Each vial contains 4mg Trehalose, 0.9mg NaCl and 0.2mg Na2HPO4.
Purification
Immunogen affinity purified.
Reconstitution
Add 0.2 ml of distilled water will yield a concentration of 500ug/ml.
Concentration
Adding 0.2 ml of distilled water will yield a concentration of 500 μg/ml.
Manufacturer - Research Category
Cadherins, Calcium Binding Proteins, Calcium Signaling, Cancer, Cell Adhesion, Cytoskeleton/ECM, Invasion/Microenvironment, Signal Transduction, Signaling Pathway
Protein Function
Cytokine with a wide variety of biological functions. It is a potent inducer of the acute phase response. Plays an essential role in the final differentiation of B-cells into Ig-secreting cells Involved in lymphocyte and monocyte differentiation. Acts on B-cells, T-cells, hepatocytes, hematopoietic progenitor cells and cells of the CNS. Required for the generation of T (H)17 cells. Also acts as a myokine. It is discharged into the bloodstream after muscle contraction and acts to increase the breakdown of fats and to improve insulin resistance. It induces myeloma and plasmacytoma growth and induces nerve cells differentiation.
Subcellular Localization
Secreted
Description
Boster Bio Anti-PARP/PARP1 Picoband® Antibody (monoclonal, 2I2H4) catalog # M00122-4. Tested in Flow Cytometry, IF, IHC, ICC, WB applications. This antibody reacts with Human, Mouse, Rat. The brand Picoband indicates this is a premium antibody that guarantees superior quality, high affinity, and strong signals with minimal background in Western blot applications. Only our best-performing antibodies are designated as Picoband, ensuring unmatched performance.
Tissue Specificity
Ubiquituous. Expressed in platelets.
Manufacturer - Cross Reactivity
No cross-reactivity with other proteins.

Hinweis: Die dargestellten Informationen und Dokumente (Bedienungsanleitung, Produktdatenblatt, Sicherheitsdatenblatt und Analysezertifikat) entsprechen unserem letzten Update und sollten lediglich der Orientierung dienen. Wir übernehmen keine Garantie für die Aktualität. Für spezifische Anforderungen bitten wir Sie, uns eine Anfrage zu stellen.

Alle Produkte sind nur für Forschungszwecke bestimmt. Nicht für den menschlichen, tierärztlichen oder therapeutischen Gebrauch.

Menge: 100 ug/vial
Lieferbar: In stock
lieferbar

Vergleichen

Auf den Wunschzettel

Angebot anfordern

Lieferzeit anfragen

Technische Frage stellen

Bulk-Anfrage stellen

Fragen zum Produkt?