Vergleich

Anti-Filamin A/FLNA Antibody Picoband® (monoclonal, 3F8) Europäischer Partner

ArtNr BOS-M00502-2
Hersteller Boster
Menge 100 ug/vial
Quantity options 100 ug/vial 10 ug 100 ug/vial 100 ug/vial 100 ug/vial 100 ug 100 ug 100 ug 100 ug/vial 100 ug/vial 100 ug/vial 100 ug/vial
Kategorie
Typ Antibody Monoclonal
Format Lyophilized
Applikationen WB, IF, IHC
Clon 3F8
Specific against Human (Homo sapiens)
Host Mouse
Isotype IgG1
Sensitivity >5000 cells
Citations 1. Gorlin JB, Henske E, Warren ST, Kunst CB, D'Urso M, Palmieri G, Hartwig JH, Bruns G, Kwiatkowski DJ (October 1993). Actin-binding protein (ABP-280) filamin gene (FLN) maps telomeric to the color vision locus (R/GCP) and centromeric to G6PD in Xq28. Genomics. 17 (2): 496–8.
2. Robertson SP, Twigg SR, Sutherland-Smith AJ, Biancalana V, Gorlin RJ, Horn D, Kenwrick SJ, Kim CA, Morava E, Newbury-Ecob R, Orstavik KH, Quarrell OW, Schwartz CE, Shears DJ, Suri M, Kendrick-Jones J, Wilkie AO (March 2003). Localized mutations in the gene encoding the cytoskeletal protein filamin A cause diverse malformations in humans. Nat Genet. 33 (4): 487–91.
3. Gräber P, Witt HT (February 1976). Relations between the electrical potential, pH gradient, proton flux and phosphorylation in the photosynthetic membrane. Biochimica et Biophysica Acta. 423 (2): 141–63.
ECLASS 10.1 42030590
ECLASS 11.0 42030590
UNSPSC 12352203
Alias T-cell surface glycoprotein CD5,Lymphocyte antigen T1/Leu-1,CD5,CD5,LEU1
Lieferbar
Manufacturer - Category
Primary Antibodies
Storage Conditions
Store at -20°C for one year from date of receipt. After reconstitution, at 4°C for one month. It can also be aliquotted and stored frozen at -20°C for six months. Avoid repeated freeze-thaw cycles.
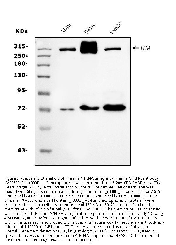
Observed Molecular weight
281 kDa
Clonality
Monoclonal
Application Details
Western blot, 0.25-0.5μg/ml, Human
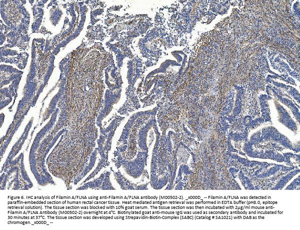
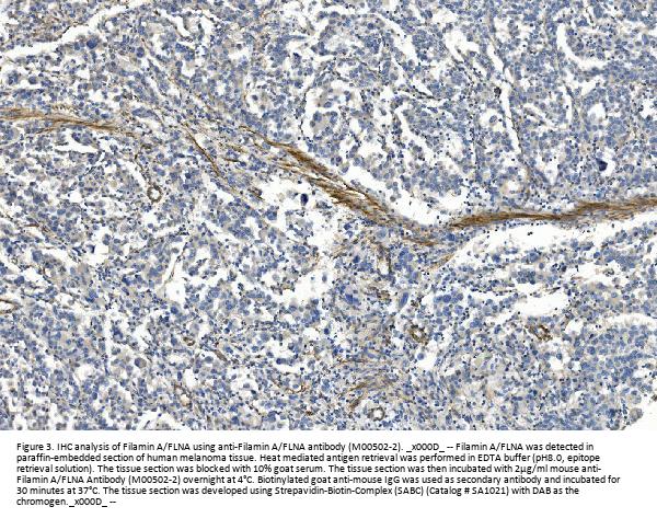
Immunohistochemistry (Paraffin-embedded Section), 2-5μg/ml, Human
Immunofluorescence, 5μg/ml, Human
Gene Name
FLNA
Gene Full Name
CD5 molecule
Manufacturer - Specificity
No cross-reactivity with other proteins.
Background
Filamin A, alpha (FLNA) is a protein that in humans is encoded by the FLNA gene. It is mapped to Xq28. The protein encoded by this gene is an actin-binding protein that crosslinks actin filaments and links actin filaments to membrane glycoproteins. The encoded protein is involved in remodeling the cytoskeleton to effect changes in cell shape and migration. This protein interacts with integrins, transmembrane receptor complexes, and second messengers. Defects in this gene are a cause of several syndromes, including periventricular nodular heterotopias (PVNH1, PVNH4), otopalatodigital syndromes (OPD1, OPD2), frontometaphyseal dysplasia (FMD), Melnick-Needles syndrome (MNS), and X-linked congenital idiopathic intestinal pseudoobstruction (CIIPX). Two transcript variants encoding different isoforms have been found for this gene.
Immunogen
E.coli-derived human Filamin A/FLNA recombinant protein (Position: E451-Q638).
Contents
Each vial contains 4mg Trehalose, 0.9mg NaCl and 0.2mg Na2HPO4.
Purification
Immunogen affinity purified.
Reconstitution
Add 0.2ml of distilled water will yield a concentration of 500ug/ml.
Concentration
Adding 0.2 ml of distilled water will yield a concentration of 500 μg/ml.
Manufacturer - Research Category
Cell Adhesion, Cell Type Markers, Cytoskeleton/ECM, Hematopoietic Progenitors, Immunology, Integrins, Myeloid, Signal Transduction, Stem Cells
Protein Name
Integrin beta-2
Protein Function
May act as a receptor in regulating T-cell proliferation.
Subcellular Localization
Cell membrane; Single-pass type I membrane protein
Description
Boster Bio Anti-Filamin A/FLNA Antibody Picoband® (monoclonal, 3F8) catalog # M00502-2. Tested in IF, IHC, WB applications. This antibody reacts with Human. The brand Picoband indicates this is a premium antibody that guarantees superior quality, high affinity, and strong signals with minimal background in Western blot applications. Only our best-performing antibodies are designated as Picoband, ensuring unmatched performance.
Tissue Specificity
Brain, liver, placenta, lymphocytes and erythrocytes.
Manufacturer - Cross Reactivity
No cross-reactivity with other proteins.

Hinweis: Die dargestellten Informationen und Dokumente (Bedienungsanleitung, Produktdatenblatt, Sicherheitsdatenblatt und Analysezertifikat) entsprechen unserem letzten Update und sollten lediglich der Orientierung dienen. Wir übernehmen keine Garantie für die Aktualität. Für spezifische Anforderungen bitten wir Sie, uns eine Anfrage zu stellen.

Alle Produkte sind nur für Forschungszwecke bestimmt. Nicht für den menschlichen, tierärztlichen oder therapeutischen Gebrauch.

Menge: 100 ug/vial
Lieferbar: In stock
lieferbar

Vergleichen

Auf den Wunschzettel

Angebot anfordern

Lieferzeit anfragen

Technische Frage stellen

Bulk-Anfrage stellen

Fragen zum Produkt?