Vergleich

Anti-Grp75 Antibody Picoband® (monoclonal, 4I9) Europäischer Partner

ArtNr BOS-M02561-2
Hersteller Boster
Menge 100 ug/vial
Quantity options 100 ug/vial 10 ug 100 ug/vial 100 ug/vial 100 ug/vial 100 ug 100 ug 100 ug 100 ug/vial 100 ug/vial 100 ug/vial 100 ug/vial
Kategorie
Typ Antibody Monoclonal
Format Lyophilized
Applikationen WB, FC, IF, IHC, ICC
Clon 4I9
Specific against Human (Homo sapiens), Mouse (Murine, Mus musculus), Rat (Rattus norvegicus)
Host Mouse
Isotype IgG1
Sensitivity >5000 cells
Citations 1. Chen, T. H.-P., Kambal, A., Krysiak, K., Walshauser, M. A., Raju, G., Tibbitts, J. F., Walter, M. J. Knockdown of Hspa9, a del(5q31.2) gene, results in a decrease in hematopoietic progenitors in mice. Blood 117: 1530-1539, 2011.
2. Gross, M. B. Personal Communication. Baltimore, Md. 9/12/2011.
3. Kaul, S. C., Wadhwa, R., Matsuda, Y., Hensler, P. J., Pereira-Smith, O. M., Komatsu, Y., Mitsui, Y. Mouse and human chromosomal assignments of mortalin, a novel member of the murine hsp70 family of proteins. FEBS Lett. 361: 269-272, 1995.
ECLASS 10.1 42030590
ECLASS 11.0 42030590
UNSPSC 12352203
Alias CMT2L,CRYAC,DHMN 2,DHMN2,E2IG1,H11,HMN 2,HMN2,HMN2A,HSB8,HSPB 8,HspB8
Lieferbar
Manufacturer - Category
Primary Antibodies
Storage Conditions
At -20°C for one year from date of receipt. After reconstitution, at 4°C for one month. It can also be aliquotted and stored frozen at -20°C for six months. Avoid repeated freezing and thawing.
Observed Molecular weight
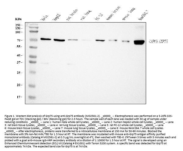
74 kDa
Clonality
Monoclonal
Application Details
Western blot, 0.25-0.5 μg/ml, Human, Mouse, Rat
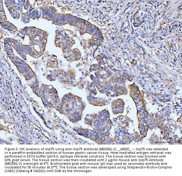
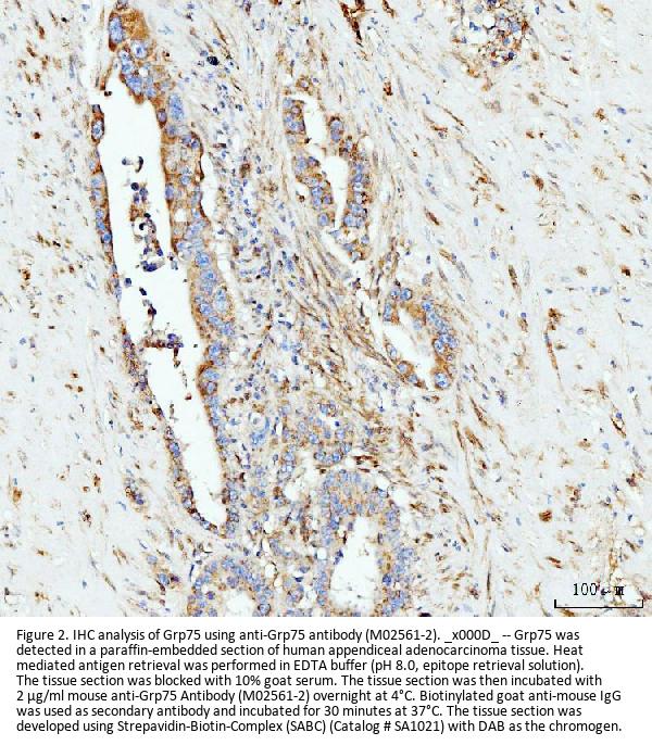
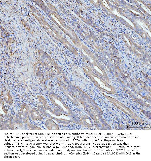
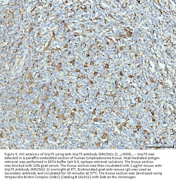
Immunohistochemistry(Paraffin-embedded Section), 2-5 μg/ml, Human
Immunocytochemistry/Immunofluorescence, 5 μg/ml, Human
Flow Cytometry (Fixed), 1-3 μg/1x106 cells, Human
Gene Name
HSPA9
Gene Full Name
heat shock protein family B (small) member 8
Manufacturer - Specificity
No cross-reactivity with other proteins.
Background
HSPA9 (heat shock 70kDa protein 9 (mortalin)), also known as GRP75, mot-2, mthsp75, PBP74, HSPA9B, MORTALIN or MORTALIN, PERINUCLEAR, is a highly conserved member of the HSP70 family of proteins. It functions as a chaperone in the mitochondria, cytoplasm, and centrosome. The HSPA9 gene is mapped to chromosome 5q31.2 based on an alignment of the HSPA9 sequence with the genomic sequence. Knockdown of HSPA9 in erythroid cultures was associated with an increased number of cells in the G0/G1 phase of the cell cycle and accelerated apoptosis. Knockdown of Hspa9 in mouse bone marrow cells, followed by transplantation into wildtype recipients, also resulted in loss of erythroid cell number. Haploinsufficiency for HSPA9 may contribute to abnormal hematopoiesis in myelodysplastic syndromes. This protein plays a role in the control of cell proliferation.
Immunogen
A synthetic peptide corresponding to a sequence at the C-terminus of human Grp75, identical to the related mouse and rat sequences.
Contents
Each vial contains 4 mg Trehalose, 0.9 mg NaCl and 0.2 mg Na2HPO4.
Purification
Immunogen affinity purified.
Reconstitution
Adding 0.2 ml of distilled water will yield a concentration of 500 μg/ml.
Concentration
Adding 0.2 ml of distilled water will yield a concentration of 500 μg/ml.
Manufacturer - Research Category
Immunology
Protein Name
T-complex protein 1 subunit alpha
Protein Function
Displays temperature-dependent chaperone activity.
Subcellular Localization
Nucleus. Cytoplasm.
Description
Boster Bio Anti-Grp75 Antibody Picoband® (monoclonal, 4I9) catalog # M02561-2. Tested in Flow Cytometry, IF, IHC, ICC, WB applications. This antibody reacts with Human, Mouse, Rat. The brand Picoband indicates this is a premium antibody that guarantees superior quality, high affinity, and strong signals with minimal background in Western blot applications. Only our best-performing antibodies are designated as Picoband, ensuring unmatched performance.
Tissue Specificity
Predominantly expressed in skeletal muscle and heart.
Manufacturer - Cross Reactivity
No cross-reactivity with other proteins.

Hinweis: Die dargestellten Informationen und Dokumente (Bedienungsanleitung, Produktdatenblatt, Sicherheitsdatenblatt und Analysezertifikat) entsprechen unserem letzten Update und sollten lediglich der Orientierung dienen. Wir übernehmen keine Garantie für die Aktualität. Für spezifische Anforderungen bitten wir Sie, uns eine Anfrage zu stellen.

Alle Produkte sind nur für Forschungszwecke bestimmt. Nicht für den menschlichen, tierärztlichen oder therapeutischen Gebrauch.

Menge: 100 ug/vial
Lieferbar: In stock
lieferbar

Lieferung vsl. bis 20.01.2026 

Vergleichen

Auf den Wunschzettel

Angebot anfordern

Lieferzeit anfragen

Technische Frage stellen

Bulk-Anfrage stellen

Fragen zum Produkt?