Vergleich

Anti-beta Tubulin Rabbit Monoclonal Antibody Europäischer Partner

ArtNr BOS-M05613-6
Hersteller Boster
Menge 100 ul/vial
Quantity options 100 ul/vial 30 ul
Kategorie
Typ Antibody Monoclonal
Format Liquid
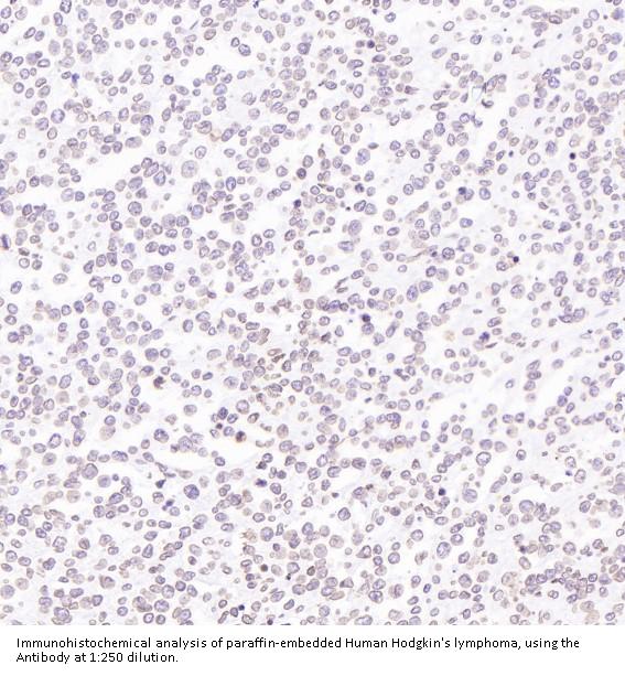
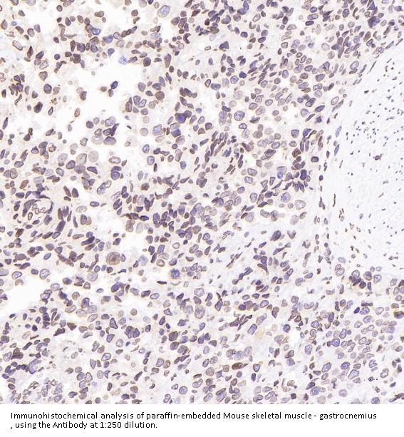
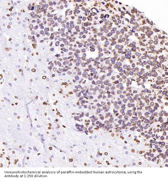
Applikationen WB, FC, IF, IHC, ICC
Clon 17T15
Specific against Human (Homo sapiens), Mouse (Murine, Mus musculus), Rat (Rattus norvegicus)
Host Rabbit
Isotype IgG
Sensitivity >5000 cells
ECLASS 10.1 42030590
ECLASS 11.0 42030590
UNSPSC 12352203
Alias Tubulin beta chain,Tubulin beta-5 chain,TUBB,TUBB5,OK/SW-cl.56
Lieferbar
Manufacturer - Category
Primary Antibodies, Rabbit Monoclonal Antibodies
Storage Conditions
Store at -20°C for one year. For short term storage and frequent use, store at 4°C for up to one month. Avoid repeated freeze-thaw cycles.
Observed Molecular weight
50 kDa
Calculated Molecular weight
49671 MW
Clonality
Monoclonal
Application Details
WB 1:1000-2000
IHC 1:50-200
ICC/IF 1:50-200
FC 1:50
Gene Name
TUBB
Gene Full Name
Tubulin beta chain
Immunogen
A synthesized peptide derived from human beta Tubulin
Contents
Rabbit IgG in phosphate buffered saline, pH 7.4, 150mM NaCl, 0.02% sodium azide and 50% glycerol, 0.4-0.5mg/ml BSA.
Purification
Affinity-chromatography
Reconstitution
Restore with deionized water (or equivalent) for reconstitution volume of 1.0 mL
Concentration
0.5mg/ml
Manufacturer - Research Category
Cytoskeleton, Cytoskeleton/ECM, Microtubules, Signal Transduction, Subcellular Markers, Tags & Cell Markers, Tubulin
Protein Name
T-cell surface glycoprotein CD3 zeta chain
Protein Function
Tubulin is the major constituent of microtubules. It binds two moles of GTP, one at an exchangeable site on the beta chain and one at a non-exchangeable site on the alpha chain.
Subcellular Localization
Cytoplasm, cytoskeleton.
Description
Boster Bio Anti-beta Tubulin Rabbit Monoclonal Antibody catalog # M05613-6. Tested in WB, IHC, ICC/IF, Flow Cytometry applications. This antibody reacts with Human, Mouse, Rat.
Tissue Specificity
Ubiquitously expressed with highest levels in spleen, thymus and immature brain.

Hinweis: Die dargestellten Informationen und Dokumente (Bedienungsanleitung, Produktdatenblatt, Sicherheitsdatenblatt und Analysezertifikat) entsprechen unserem letzten Update und sollten lediglich der Orientierung dienen. Wir übernehmen keine Garantie für die Aktualität. Für spezifische Anforderungen bitten wir Sie, uns eine Anfrage zu stellen.

Alle Produkte sind nur für Forschungszwecke bestimmt. Nicht für den menschlichen, tierärztlichen oder therapeutischen Gebrauch.

Menge: 100 ul/vial
Lieferbar: In stock
lieferbar

Vergleichen

Auf den Wunschzettel

Angebot anfordern

Lieferzeit anfragen

Technische Frage stellen

Bulk-Anfrage stellen

Fragen zum Produkt?