Vergleich

CACNA1B Antibody

ArtNr CSB-PA004398LA01HU-100ul
Hersteller Cusabio
Menge 100 ul
Quantity options 100 ul 20 ul 50 ul
Kategorie
Typ Antibody Primary
Format Liquid
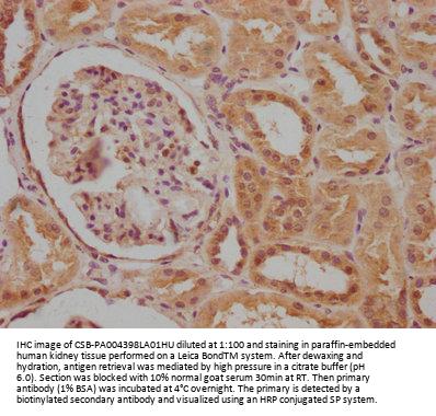
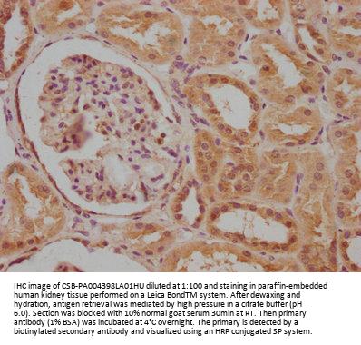
Applikationen IF, IHC, ELISA
Specific against Human (Homo sapiens)
Host Rabbit
Isotype IgG
Konjugat/Tag Unconjugated
ECLASS 10.1 32160702
ECLASS 11.0 32160702
UNSPSC 12352203
Alias CACNA1B antibody,CACH5 antibody,CACNL1A5 antibody,Voltage-dependent N-type calcium channel subunit alpha-1B antibody,Brain calcium channel III antibody,BIII antibody,Calcium channel antibody,L type antibody,alpha-1 polypeptide isoform 5 antibody,Voltage-gated calcium channel subunit alpha Cav2.2 antibody
Lieferbar
Manufacturer - Type
Polyclonal Antibody
Manufacturer - Category
List of Stock Antibodies / 2024 List of Stock Antibodies
Manufacturer - Applications
ELISA, IHC, IF; Recommended dilution: IHC:1:20-1:200, IF:1:50-1:200
Manufacturer - Targets
CACNA1B
Manufacturer - Conjugate / Tag
Non-conjugated
Storage Conditions
Upon receipt, store at -20°C or -80°C. Avoid repeated freeze.
Manufacturer - Alias
CACNA1B antibody, CACH5 antibody, CACNL1A5 antibody, Voltage-dependent N-type calcium channel subunit alpha-1B antibody, Brain calcium channel III antibody, BIII antibody, Calcium channel antibody, L type antibody, alpha-1 polypeptide isoform 5 antibody, Voltage-gated calcium channel subunit alpha Cav2.2 antibody
Buffer
Preservative: 0.03% Proclin 300
Constituents: 50% Glycerol, 0.01M PBS, pH 7.4
Purification Method
Antigen Affinity Purified
General Research Areas
Signal Transduction
Antigen Species
Human
Antigen
Recombinant Human Voltage-dependent N-type calcium channel subunit alpha-1B protein (2132-2339AA)
Clonality
Polyclonal

Hinweis: Die dargestellten Informationen und Dokumente (Bedienungsanleitung, Produktdatenblatt, Sicherheitsdatenblatt und Analysezertifikat) entsprechen unserem letzten Update und sollten lediglich der Orientierung dienen. Wir übernehmen keine Garantie für die Aktualität. Für spezifische Anforderungen bitten wir Sie, uns eine Anfrage zu stellen.

Alle Produkte sind nur für Forschungszwecke bestimmt. Nicht für den menschlichen, tierärztlichen oder therapeutischen Gebrauch.

Menge: 100 ul
Lieferbar: In stock
lieferbar

Vergleichen

Auf den Wunschzettel

Angebot anfordern

Lieferzeit anfragen

Technische Frage stellen

Bulk-Anfrage stellen

Fragen zum Produkt?
 
Schließen