Vergleich

CSE1L Antibody

ArtNr CSB-PA006042LA01HU-50ul
Hersteller Cusabio
Menge 50 ul
Quantity options 100 ul 20 ul 50 ul
Kategorie
Typ Antibody Primary
Format Liquid
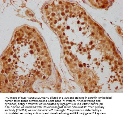
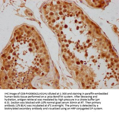
Applikationen WB, IF, IHC, ELISA
Specific against Human (Homo sapiens)
Host Rabbit
Isotype IgG
Konjugat/Tag Unconjugated
ECLASS 10.1 32160702
ECLASS 11.0 32160702
UNSPSC 12352203
Alias CAS antibody,Cellular apoptosis susceptibility protein antibody,Chromosome segregation 1 (yeast homolog) like antibody,Chromosome segregation 1 Like antibody,Chromosome segregation 1 like protein antibody,Chromosome segregation 1-like protein antibody,Chromosome segregation gene CSE1 antibody,CSE 1 antibody,CSE 1 chromosome segregation 1 like antibody,CSE 1 chromosome segregation 1 like protein antibody,CSE 1L antibody,CSE1 antibody,CSE1 chromosome segregation 1 like (yeast) antibody,CSE1 chromosome segregation 1 like antibody,CSE1 chromosome segregation 1 like protein antibody,CSE1L antibody,Exp 2 antibody,Exp2 antibody,Exportin 2 antibody,Exportin-2 antibody,Exportin2 antibody,Importin alpha re exporter antibody,Importin-alpha re-exporter antibody,MGC117283 antibody,MGC130036 antibody,MGC130037 antibody,XPO 2 antibody,XPO2 antibody,XPO2_HUMAN antibody
Lieferbar
Manufacturer - Type
Polyclonal Antibody
Manufacturer - Category
List of Stock Antibodies / 2024 List of Stock Antibodies
Manufacturer - Applications
ELISA, WB, IHC, IF; Recommended dilution: WB:1:1000-1:5000, IHC:1:200-1:500, IF:1:50-1:200
Manufacturer - Targets
CSE1L
Manufacturer - Conjugate / Tag
Non-conjugated
Storage Conditions
Upon receipt, store at -20°C or -80°C. Avoid repeated freeze.
Manufacturer - Alias
CAS antibody, Cellular apoptosis susceptibility protein antibody, Chromosome segregation 1 (yeast homolog) like antibody, Chromosome segregation 1 Like antibody, Chromosome segregation 1 like protein antibody, Chromosome segregation 1-like protein antibody, Chromosome segregation gene CSE1 antibody, CSE 1 antibody, CSE 1 chromosome segregation 1 like antibody, CSE 1 chromosome segregation 1 like protein antibody, CSE 1L antibody, CSE1 antibody, CSE1 chromosome segregation 1 like (yeast) antibody, CSE1 chromosome segregation 1 like antibody, CSE1 chromosome segregation 1 like protein antibody, CSE1L antibody, Exp 2 antibody, Exp2 antibody, Exportin 2 antibody, Exportin-2 antibody, Exportin2 antibody, Importin alpha re exporter antibody, Importin-alpha re-exporter antibody, MGC117283 antibody, MGC130036 antibody, MGC130037 antibody, XPO 2 antibody, XPO2 antibody, XPO2_HUMAN antibody
Buffer
Preservative: 0.03% Proclin 300
Constituents: 50% Glycerol, 0.01M PBS, pH 7.4
Purification Method
>95%, Protein G purified
General Research Areas
Cell Biology
Antigen Species
Human
Antigen
Recombinant Human Exportin-2 protein (713-971AA)
Clonality
Polyclonal

Hinweis: Die dargestellten Informationen und Dokumente (Bedienungsanleitung, Produktdatenblatt, Sicherheitsdatenblatt und Analysezertifikat) entsprechen unserem letzten Update und sollten lediglich der Orientierung dienen. Wir übernehmen keine Garantie für die Aktualität. Für spezifische Anforderungen bitten wir Sie, uns eine Anfrage zu stellen.

Alle Produkte sind nur für Forschungszwecke bestimmt. Nicht für den menschlichen, tierärztlichen oder therapeutischen Gebrauch.

Menge: 50 ul
Lieferbar: In stock
lieferbar

Lieferung vsl. bis 08.01.2026 

Vergleichen

Auf den Wunschzettel

Angebot anfordern

Lieferzeit anfragen

Technische Frage stellen

Bulk-Anfrage stellen

Fragen zum Produkt?
 
Schließen