Vergleich

GPR55 Antibody

ArtNr CSB-PA009820OA01HU-50ul
Hersteller Cusabio
Menge 50 ul
Quantity options 100 ul 20 ul 50 ul
Kategorie
Typ Antibody Primary
Format Liquid
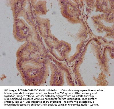
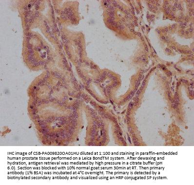
Applikationen IHC, ELISA
Specific against Human (Homo sapiens)
Host Rabbit
Isotype IgG
Konjugat/Tag Unconjugated
ECLASS 10.1 32160702
ECLASS 11.0 32160702
UNSPSC 12352203
Alias G protein coupled receptor 55 antibody,G-protein coupled receptor 55 antibody,GPCR GPR55 antibody,GPR 55 antibody,Gpr55 antibody,GPR55_HUMAN antibody,LPIR1 antibody,Probable G protein coupled receptor 55 antibody
Lieferbar
Manufacturer - Type
Polyclonal Antibody
Manufacturer - Category
List of Stock Antibodies / 2024 List of Stock Antibodies
Manufacturer - Applications
ELISA, IHC; Recommended dilution: IHC:1:20-1:200
Manufacturer - Targets
GPR55
Manufacturer - Conjugate / Tag
Non-conjugated
Storage Conditions
Upon receipt, store at -20°C or -80°C. Avoid repeated freeze.
Buffer
Preservative: 0.03% Proclin 300
Constituents: 50% Glycerol, 0.01M PBS, pH 7.4
Purification Method
Antigen Affinity Purified
General Research Areas
Signal Transduction
Antigen Species
Human
Antigen
Peptide sequence from Human G-protein coupled receptor 55 protein (203-222AA)
Clonality
Polyclonal

Hinweis: Die dargestellten Informationen und Dokumente (Bedienungsanleitung, Produktdatenblatt, Sicherheitsdatenblatt und Analysezertifikat) entsprechen unserem letzten Update und sollten lediglich der Orientierung dienen. Wir übernehmen keine Garantie für die Aktualität. Für spezifische Anforderungen bitten wir Sie, uns eine Anfrage zu stellen.

Alle Produkte sind nur für Forschungszwecke bestimmt. Nicht für den menschlichen, tierärztlichen oder therapeutischen Gebrauch.

Menge: 50 ul
Lieferbar: In stock
lieferbar

Vergleichen

Auf den Wunschzettel

Angebot anfordern

Lieferzeit anfragen

Technische Frage stellen

Bulk-Anfrage stellen

Fragen zum Produkt?
 
Schließen