Vergleich

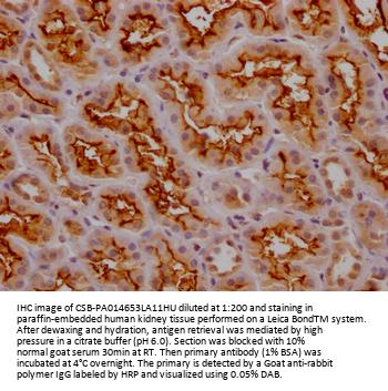
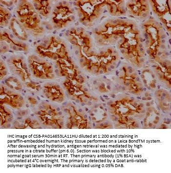
MME Antibody

ArtNr CSB-PA014653LA11HU-50ul
Hersteller Cusabio
Menge 50 ul
Quantity options 100 ul 20 ul 50 ul
Kategorie
Typ Antibody Primary
Format Liquid
Applikationen IF, IHC, ELISA
Specific against Human (Homo sapiens)
Host Rabbit
Isotype IgG
Konjugat/Tag Unconjugated
ECLASS 10.1 32160702
ECLASS 11.0 32160702
UNSPSC 12352203
Alias Atriopeptidase antibody,CALLA antibody,CD10 antibody,CD10 antigen antibody,Common acute lymphocytic leukemia antigen antibody,DKFZp686O16152 antibody,EC 3.4.24.11 antibody,Enkephalinase antibody,EPN antibody,Membrane metallo endopeptidase (neutral endopeptidase,enkephalinase) antibody,Membrane metallo endopeptidase (neutral endopeptidase,enkephalinase,CALLA,CD10) antibody,Membrane metallo endopeptidase antibody,Membrane metallo endopeptidase variant 1 antibody,Membrane metallo endopeptidase variant 2 antibody,Membrane metalloendopeptidase antibody,Membrane metalloendopeptidase neutral endopeptidase enkephalinase antibody,Membrane metalloendopeptidase neutral endopeptidase enkephalinase CALLA CD10 antibody,Membrane metalloendopeptidase variant 1 antibody,Membrane metalloendopeptidase variant 2 antibody,MGC126681 antibody,MGC126707 antibody,MME antibody,NEP antibody,NEP_HUMAN antibody,Neprilysin antibody,neprilysin-390 antibody,neprilysin-411 antibody,Neutral endopeptidase 24.11 antibody,Neutral endopeptidase antibody,Neutral endopeptidase,membrane-associated antibody,SFE antibody,Skin fibroblast elastase antibody
Lieferbar
Manufacturer - Type
Polyclonal Antibody
Manufacturer - Category
List of Stock Antibodies / 2024 List of Stock Antibodies
Manufacturer - Applications
ELISA, IHC, IF; Recommended dilution: IHC:1:200-1:500, IF:1:100-1:500
Manufacturer - Targets
MME
Manufacturer - Conjugate / Tag
Non-conjugated
Storage Conditions
Upon receipt, store at -20°C or -80°C. Avoid repeated freeze.
Manufacturer - Alias
Atriopeptidase antibody, CALLA antibody, CD10 antibody, CD10 antigen antibody, Common acute lymphocytic leukemia antigen antibody, DKFZp686O16152 antibody, EC 3.4.24.11 antibody, Enkephalinase antibody, EPN antibody, Membrane metallo endopeptidase (neutral endopeptidase, enkephalinase) antibody, Membrane metallo endopeptidase (neutral endopeptidase, enkephalinase, CALLA, CD10) antibody, Membrane metallo endopeptidase antibody, Membrane metallo endopeptidase variant 1 antibody, Membrane metallo endopeptidase variant 2 antibody, Membrane metalloendopeptidase antibody, Membrane metalloendopeptidase neutral endopeptidase enkephalinase antibody, Membrane metalloendopeptidase neutral endopeptidase enkephalinase CALLA CD10 antibody, Membrane metalloendopeptidase variant 1 antibody, Membrane metalloendopeptidase variant 2 antibody, MGC126681 antibody, MGC126707 antibody, MME antibody, NEP antibody, NEP_HUMAN antibody, Neprilysin antibody, neprilysin-390 antibody, neprilysin-411 antibody, Neutral endopeptidase 24.11 antibody, Neutral endopeptidase antibody, Neutral endopeptidase, membrane-associated antibody, SFE antibody, Skin fibroblast elastase antibody
Buffer
Preservative: 0.03% Proclin 300
Constituents: 50% Glycerol, 0.01M PBS, PH 7.4
Purification Method
>95%, Protein G purified
General Research Areas
Signal Transduction
Antigen Species
Human
Antigen
Recombinant Human Neprilysin protein (386-617AA)
Clonality
Polyclonal

Hinweis: Die dargestellten Informationen und Dokumente (Bedienungsanleitung, Produktdatenblatt, Sicherheitsdatenblatt und Analysezertifikat) entsprechen unserem letzten Update und sollten lediglich der Orientierung dienen. Wir übernehmen keine Garantie für die Aktualität. Für spezifische Anforderungen bitten wir Sie, uns eine Anfrage zu stellen.

Alle Produkte sind nur für Forschungszwecke bestimmt. Nicht für den menschlichen, tierärztlichen oder therapeutischen Gebrauch.

Menge: 50 ul
Lieferbar: In stock
lieferbar

Vergleichen

Auf den Wunschzettel

Angebot anfordern

Lieferzeit anfragen

Technische Frage stellen

Bulk-Anfrage stellen

Fragen zum Produkt?
 
Schließen