Vergleich

IL31RA Antibody

ArtNr CSB-PA107902-100ul
Hersteller Cusabio
Menge 100 ul
Quantity options 100 ul 50 ul
Kategorie
Typ Antibody Polyclonal
Format Liquid
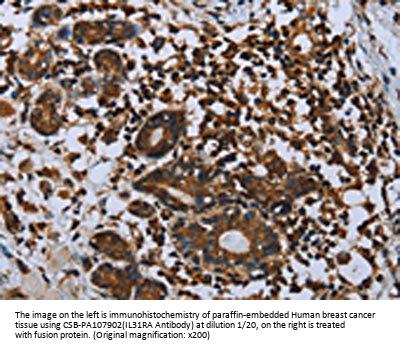
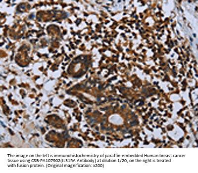
Applikationen IHC, ELISA
Specific against Human (Homo sapiens)
Host Rabbit
Isotype IgG
Konjugat/Tag Unconjugated
ECLASS 10.1 32160702
ECLASS 11.0 32160702
UNSPSC 12352203
Alias Class I cytokine receptor antibody,CRL 3 antibody,CRL antibody,CRL3 antibody,Cytokine receptor like 3 antibody,Cytokine receptor-like 3 antibody,GLM R antibody,GLM-R antibody,GLMR antibody,Gp130 like monocyte receptor antibody,GP130 like receptor antibody,Gp130-like monocyte receptor antibody,Gp130-like receptor antibody,GPL antibody,HGLM R antibody,HGLM-R antibody,HGLMR antibody,IL 31 receptor subunit alpha antibody,IL 31R subunit alpha antibody,IL 31RA antibody,IL-31 receptor subunit alpha antibody,IL-31R subunit alpha antibody,IL-31R-alpha antibody,IL-31RA antibody,IL31 receptor subunit alpha antibody,IL31R subunit alpha antibody,IL31R_HUMAN antibody,IL31RA antibody,Interleukin 31 receptor A antibody,interleukin 31 receptor subunit alpha antibody,Interleukin-31 receptor subunit alpha antibody,MGC125346 antibody,PLCA 2 antibody,PLCA2 antibody,PRO21384 antibody,Soluble type I cytokine receptor CRL3 antibody,ZcytoR17 antibody
Lieferbar
Manufacturer - Type
Polyclonal Antibody
Manufacturer - Category
List of Stock Antibodies / 2024 List of Stock Antibodies
Manufacturer - Applications
ELISA, IHC; ELISA:1:1000-1:2000, IHC:1:25-1:100
Manufacturer - Targets
IL31RA
Manufacturer - Conjugate / Tag
Non-conjugated
Storage Conditions
Upon receipt, store at -20°C or -80°C. Avoid repeated freeze.
Manufacturer - Alias
Class I cytokine receptor antibody, CRL 3 antibody, CRL antibody, CRL3 antibody, Cytokine receptor like 3 antibody, Cytokine receptor-like 3 antibody, GLM R antibody, GLM-R antibody, GLMR antibody, Gp130 like monocyte receptor antibody, GP130 like receptor antibody, Gp130-like monocyte receptor antibody, Gp130-like receptor antibody, GPL antibody, HGLM R antibody, HGLM-R antibody, HGLMR antibody, IL 31 receptor subunit alpha antibody, IL 31R subunit alpha antibody, IL 31RA antibody, IL-31 receptor subunit alpha antibody, IL-31R subunit alpha antibody, IL-31R-alpha antibody, IL-31RA antibody, IL31 receptor subunit alpha antibody, IL31R subunit alpha antibody, IL31R_HUMAN antibody, IL31RA antibody, Interleukin 31 receptor A antibody, interleukin 31 receptor subunit alpha antibody, Interleukin-31 receptor subunit alpha antibody, MGC125346 antibody, PLCA 2 antibody, PLCA2 antibody, PRO21384 antibody, Soluble type I cytokine receptor CRL3 antibody, ZcytoR17 antibody
Buffer
pH7.4 of PBS, 0.05% NaN3, 40% Glycerol.
Purification Method
Antigen Affinity Purified
General Research Areas
Immunology
Manufacturer - Format
Liquid
Antigen Species
Human
Antigen
Fusion protein of Human IL31RA
Clonality
Polyclonal

Hinweis: Die dargestellten Informationen und Dokumente (Bedienungsanleitung, Produktdatenblatt, Sicherheitsdatenblatt und Analysezertifikat) entsprechen unserem letzten Update und sollten lediglich der Orientierung dienen. Wir übernehmen keine Garantie für die Aktualität. Für spezifische Anforderungen bitten wir Sie, uns eine Anfrage zu stellen.

Alle Produkte sind nur für Forschungszwecke bestimmt. Nicht für den menschlichen, tierärztlichen oder therapeutischen Gebrauch.

Menge: 100 ul
Lieferbar: In stock
lieferbar

Vergleichen

Auf den Wunschzettel

Angebot anfordern

Lieferzeit anfragen

Technische Frage stellen

Bulk-Anfrage stellen

Fragen zum Produkt?
 
Schließen