Vergleich

KNG1 Antibody, Biotin conjugated

ArtNr CSB-PA14647D0Rb-100ug
Hersteller Cusabio
Menge 100 ug
Quantity options 100 ug 50 ug
Kategorie
Typ Antibody Polyclonal
Format Liquid
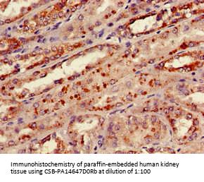
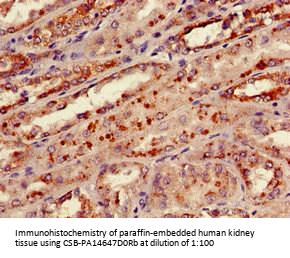
Applikationen IHC, ELISA
Specific against Human (Homo sapiens)
Host Rabbit
Isotype IgG
Konjugat/Tag Biotin
ECLASS 10.1 32160702
ECLASS 11.0 32160702
UNSPSC 12352203
Alias Alpha-2-thiol proteinase inhibitor antibody,BDK antibody,BK antibody,Bradykinin antibody,Bradykinin included antibody,Fitzgerald factor antibody,FLAUJEAC FACTOR antibody,High molecular weight kininogen antibody,HMWK antibody,Ile-Ser-Bradykinin antibody,Kallidin I antibody,Kallidin II antibody,KNG antibody,KNG1 antibody,KNG1_HUMAN antibody,Low molecular weight growth-promoting factor antibody,WILLIAMS FACTOR antibody,Williams-Fitzgerald-Flaujeac factor antibody
Lieferbar
Manufacturer - Type
Polyclonal Antibody
Manufacturer - Category
List of Stock Antibodies / 2024 List of Stock Antibodies
Manufacturer - Applications
ELISA, IHC; Recommended dilution: IHC:1:20-1:200
Manufacturer - Targets
KNG1
Storage Conditions
Upon receipt, store at -20°C or -80°C. Avoid repeated freeze.
Manufacturer - Alias
Alpha-2-thiol proteinase inhibitor antibody, BDK antibody, BK antibody, Bradykinin antibody, Bradykinin included antibody, Fitzgerald factor antibody, FLAUJEAC FACTOR antibody, High molecular weight kininogen antibody, HMWK antibody, Ile-Ser-Bradykinin antibody, Kallidin I antibody, Kallidin II antibody, KNG antibody, KNG1 antibody, KNG1_HUMAN antibody, Low molecular weight growth-promoting factor antibody, WILLIAMS FACTOR antibody, Williams-Fitzgerald-Flaujeac factor antibody
Buffer
Preservative: 0.03% Proclin 300
Constituents: 50% Glycerol, 0.01M PBS, PH 7.4
Purification Method
>95%, Protein G purified
General Research Areas
Cardiovascular
Antigen Species
Human
Antigen
Recombinant Human Kininogen-1 protein (390-644AA)
Clonality
Polyclonal

Hinweis: Die dargestellten Informationen und Dokumente (Bedienungsanleitung, Produktdatenblatt, Sicherheitsdatenblatt und Analysezertifikat) entsprechen unserem letzten Update und sollten lediglich der Orientierung dienen. Wir übernehmen keine Garantie für die Aktualität. Für spezifische Anforderungen bitten wir Sie, uns eine Anfrage zu stellen.

Alle Produkte sind nur für Forschungszwecke bestimmt. Nicht für den menschlichen, tierärztlichen oder therapeutischen Gebrauch.

Menge: 100 ug
Lieferbar: In stock
lieferbar

Vergleichen

Auf den Wunschzettel

Angebot anfordern

Lieferzeit anfragen

Technische Frage stellen

Bulk-Anfrage stellen

Fragen zum Produkt?
 
Schließen