Vergleich

PDE8A Antibody

ArtNr CSB-PA525315LA01HU-50ul
Hersteller Cusabio
Menge 50 ul
Quantity options 100 ul 20 ul 50 ul
Kategorie
Typ Antibody Primary
Format Liquid
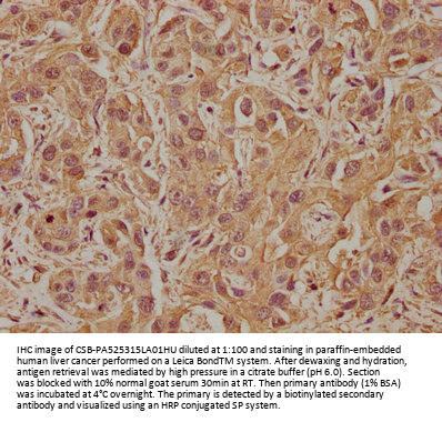
Applikationen IF, IHC, ELISA
Specific against Human (Homo sapiens)
Host Rabbit
Isotype IgG
Konjugat/Tag Unconjugated
ECLASS 10.1 32160702
ECLASS 11.0 32160702
UNSPSC 12352203
Alias 5''-cyclic phosphodiesterase 8A antibody,cAMP specific cyclic nucleotide phosphodiesterase 8A antibody,FLJ16150 antibody,High affinity cAMP specific and IBMX insensitive 3'5' cyclic phosphodiesterase 8A antibody,High affinity cAMP-specific and IBMX-insensitive 3'' antibody,HsT19550 antibody,PDE 8A antibody,PDE8A antibody,PDE8A_HUMAN antibody,Phosphodiesterase 8A antibody,Phosphodiesterase8A antibody,Weakly similar to 3'5' cyclic nucleotide phosphodiesterase antibody
Lieferbar
Manufacturer - Type
Polyclonal Antibody
Manufacturer - Category
List of Stock Antibodies / 2024 List of Stock Antibodies
Manufacturer - Applications
ELISA, IHC, IF; Recommended dilution: IHC:1:20-1:200, IF:1:50-1:200
Manufacturer - Targets
PDE8A
Manufacturer - Conjugate / Tag
Non-conjugated
Storage Conditions
Upon receipt, store at -20°C or -80°C. Avoid repeated freeze.
Manufacturer - Alias
5''-cyclic phosphodiesterase 8A antibody, cAMP specific cyclic nucleotide phosphodiesterase 8A antibody, FLJ16150 antibody, High affinity cAMP specific and IBMX insensitive 3'5' cyclic phosphodiesterase 8A antibody, High affinity cAMP-specific and IBMX-insensitive 3'' antibody, HsT19550 antibody, PDE 8A antibody, PDE8A antibody, PDE8A_HUMAN antibody, Phosphodiesterase 8A antibody, Phosphodiesterase8A antibody, Weakly similar to 3'5' cyclic nucleotide phosphodiesterase antibody
Buffer
Preservative: 0.03% Proclin 300
Constituents: 50% Glycerol, 0.01M PBS, pH 7.4
Purification Method
Antigen Affinity Purified
General Research Areas
Signal Transduction
Antigen Species
Human
Antigen
Recombinant Human High affinity cAMP-specific and IBMX-insensitive 3\', 5\'-cyclic phosphodiesterase 8A protein (596-829AA)
Clonality
Polyclonal

Hinweis: Die dargestellten Informationen und Dokumente (Bedienungsanleitung, Produktdatenblatt, Sicherheitsdatenblatt und Analysezertifikat) entsprechen unserem letzten Update und sollten lediglich der Orientierung dienen. Wir übernehmen keine Garantie für die Aktualität. Für spezifische Anforderungen bitten wir Sie, uns eine Anfrage zu stellen.

Alle Produkte sind nur für Forschungszwecke bestimmt. Nicht für den menschlichen, tierärztlichen oder therapeutischen Gebrauch.

Menge: 50 ul
Lieferbar: In stock
lieferbar

Lieferung vsl. bis 05.02.2026 

Vergleichen

Auf den Wunschzettel

Angebot anfordern

Lieferzeit anfragen

Technische Frage stellen

Bulk-Anfrage stellen

Fragen zum Produkt?
 
Schließen