Vergleich

RALYL Antibody

ArtNr CSB-PA771422LA01HU-50ug
Hersteller Cusabio
Menge 50 ug
Quantity options 100 ug 20 ug 50 ug
Kategorie
Typ Antibody Polyclonal
Format Liquid
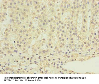
Applikationen IHC, ELISA
Specific against Human (Homo sapiens)
Host Rabbit
Isotype IgG
Konjugat/Tag Unconjugated
ECLASS 10.1 32160702
ECLASS 11.0 32160702
UNSPSC 12352203
Alias RALYL antibody,HNRPCL3 antibody,RNA-binding Raly-like protein antibody,hRALYL antibody,Heterogeneous nuclear ribonucleoprotein C-like 3 antibody,hnRNP core protein C-like 3 antibody
Similar products RALYL, HNRPCL3, RNA-binding Raly-like protein (hRALYL) (Heterogeneous nuclear ribonucleoprotein C-like 3) (hnRNP core protein C-like 3)
Lieferbar
Manufacturer - Type
Polyclonal Antibody
Manufacturer - Applications
ELISA, IHC; Recommended dilution: IHC:1:20-1:200
Manufacturer - Targets
RALYL
Storage Conditions
Upon receipt, store at -20°C or -80°C. Avoid repeated freeze.
Immunogen Species
Human
Immunogen
Recombinant Human RNA-binding Raly-like protein (1-291AA)
Dilution
ELISA:1:2000-1:10000
IHC:1:20-1:200
Background
nucleus, identical protein binding, poly(A) RNA binding
Buffer
Preservative: 0.03% Proclin 300
Constituents: 50% Glycerol, 0.01M PBS, PH 7.4
Purification Method
>95%, Protein G purified
General Research Areas
Epigenetics and Nuclear Signaling
Initial Research Areas
Epigenetics and Nuclear Signaling
Manufacturer - Format
Liquid
Antigen Species
Human
Antigen
Recombinant Human RNA-binding Raly-like protein (1-291AA)
Clonality
Polyclonal

Hinweis: Die dargestellten Informationen und Dokumente (Bedienungsanleitung, Produktdatenblatt, Sicherheitsdatenblatt und Analysezertifikat) entsprechen unserem letzten Update und sollten lediglich der Orientierung dienen. Wir übernehmen keine Garantie für die Aktualität. Für spezifische Anforderungen bitten wir Sie, uns eine Anfrage zu stellen.

Alle Produkte sind nur für Forschungszwecke bestimmt. Nicht für den menschlichen, tierärztlichen oder therapeutischen Gebrauch.

Menge: 50 ug
Lieferbar: In stock
lieferbar

Vergleichen

Auf den Wunschzettel

Angebot anfordern

Lieferzeit anfragen

Technische Frage stellen

Bulk-Anfrage stellen

Fragen zum Produkt?
 
Schließen