Vergleich

MRAP2 Antibody

ArtNr CSB-PA853421LA01HU-50ug
Hersteller Cusabio
Menge 50 ug
Quantity options 100 ug 20 ug 50 ug
Kategorie
Typ Antibody Polyclonal
Format Liquid
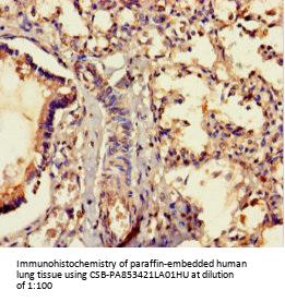
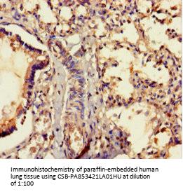
Applikationen WB, IF, IHC, ELISA
Specific against Human (Homo sapiens), Mouse (Murine, Mus musculus)
Host Rabbit
Isotype IgG
Konjugat/Tag Unconjugated
ECLASS 10.1 32160702
ECLASS 11.0 32160702
UNSPSC 12352203
Alias MRAP2 antibody,C6orf117 antibody,Melanocortin-2 receptor accessory protein 2 antibody,MC2R accessory protein 2 antibody
Similar products MRAP2, C6orf117, Melanocortin-2 receptor accessory protein 2 (MC2R accessory protein 2)
Lieferbar
Manufacturer - Type
Polyclonal Antibody
Manufacturer - Applications
ELISA, WB, IHC, IF; Recommended dilution: WB:1:1000-1:5000, IHC:1:20-1:200, IF:1:50-1:200
Manufacturer - Targets
MRAP2
Storage Conditions
Upon receipt, store at -20°C or -80°C. Avoid repeated freeze.
Immunogen Species
Human
Immunogen
Recombinant Human Melanocortin-2 receptor accessory protein 2 protein (66-205AA)
Dilution
ELISA:1:2000-1:10000
WB:1:1000-1:5000
IHC:1:20-1:200
IF:1:50-1:200
Background
Modulator of melanocortin receptor 4 (MC4R), a receptor involved in energy homeostasis. Plays a central role in the control of energy homeostasis and body weight regulation by increasing ligand-sensitivity of MC4R and MC4R-mediated generation of cAMP. May also act as a negative regulator of MC2R: competes with MRAP for binding to MC2R and impairs the binding of corticotropin (ACTH) to MC2R. May also regulate activity of other melanocortin receptors (MC1R, MC3R and MC5R), however, additional evidences are required in vivo.
Buffer
Preservative: 0.03% Proclin 300
Constituents: 50% Glycerol, 0.01M PBS, PH 7.4
Purification Method
>95%, Protein G purified
General Research Areas
Neuroscience
Initial Research Areas
Neuroscience
Antigen Species
Human
Antigen
Recombinant Human Melanocortin-2 receptor accessory protein 2 protein (66-205AA)
Clonality
Polyclonal

Hinweis: Die dargestellten Informationen und Dokumente (Bedienungsanleitung, Produktdatenblatt, Sicherheitsdatenblatt und Analysezertifikat) entsprechen unserem letzten Update und sollten lediglich der Orientierung dienen. Wir übernehmen keine Garantie für die Aktualität. Für spezifische Anforderungen bitten wir Sie, uns eine Anfrage zu stellen.

Alle Produkte sind nur für Forschungszwecke bestimmt. Nicht für den menschlichen, tierärztlichen oder therapeutischen Gebrauch.

Menge: 50 ug
Lieferbar: In stock
lieferbar

Vergleichen

Auf den Wunschzettel

Angebot anfordern

Lieferzeit anfragen

Technische Frage stellen

Bulk-Anfrage stellen

Fragen zum Produkt?
 
Schließen