Vergleich

DAXX Antibody

ArtNr CSB-PA871395LA01HU-50ul
Hersteller Cusabio
Menge 50 ul
Quantity options 100 ul 20 ul 50 ul
Kategorie
Typ Antibody Primary
Format Liquid
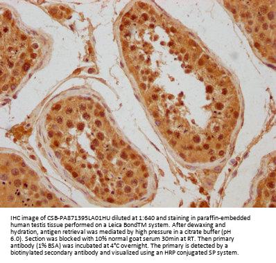
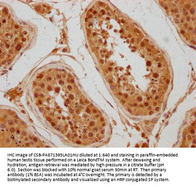
Applikationen IHC, ELISA
Specific against Human (Homo sapiens)
Host Rabbit
Isotype IgG
Konjugat/Tag Unconjugated
ECLASS 10.1 32160702
ECLASS 11.0 32160702
UNSPSC 12352203
Alias BING 2 antibody,BING2 antibody,CENP-C binding protein antibody,DAP 6 antibody,DAP6 antibody,Daxx antibody,DAXX_HUMAN antibody,Death associated protein 6 antibody,Death domain associated protein 6 antibody,Death domain associated protein antibody,Death domain-associated protein 6 antibody,EAP 1 antibody,EAP1 antibody,ETS1 associated protein 1 antibody,ETS1-associated protein 1 antibody,Fas binding protein antibody,Fas death domain associated protein antibody,Fas death domain-associated protein antibody,hDaxx antibody,MGC126245 antibody,MGC126246 antibody
Lieferbar
Manufacturer - Type
Polyclonal Antibody
Manufacturer - Category
List of Stock Antibodies / 2024 List of Stock Antibodies
Manufacturer - Applications
ELISA, IHC; Recommended dilution: IHC:1:500-1:1000
Manufacturer - Targets
DAXX
Manufacturer - Conjugate / Tag
Non-conjugated
Storage Conditions
Upon receipt, store at -20°C or -80°C. Avoid repeated freeze.
Manufacturer - Alias
BING 2 antibody, BING2 antibody, CENP-C binding protein antibody, DAP 6 antibody, DAP6 antibody, Daxx antibody, DAXX_HUMAN antibody, Death associated protein 6 antibody, Death domain associated protein 6 antibody, Death domain associated protein antibody, Death domain-associated protein 6 antibody, EAP 1 antibody, EAP1 antibody, ETS1 associated protein 1 antibody, ETS1-associated protein 1 antibody, Fas binding protein antibody, Fas death domain associated protein antibody, Fas death domain-associated protein antibody, hDaxx antibody, MGC126245 antibody, MGC126246 antibody
Buffer
Preservative: 0.03% Proclin 300
Constituents: 50% Glycerol, 0.01M PBS, pH 7.4
Purification Method
>95%, Protein G purified
General Research Areas
Cell Biology
Antigen Species
Human
Antigen
Recombinant Human Death domain-associated protein 6 protein (77-289AA)
Clonality
Polyclonal

Hinweis: Die dargestellten Informationen und Dokumente (Bedienungsanleitung, Produktdatenblatt, Sicherheitsdatenblatt und Analysezertifikat) entsprechen unserem letzten Update und sollten lediglich der Orientierung dienen. Wir übernehmen keine Garantie für die Aktualität. Für spezifische Anforderungen bitten wir Sie, uns eine Anfrage zu stellen.

Alle Produkte sind nur für Forschungszwecke bestimmt. Nicht für den menschlichen, tierärztlichen oder therapeutischen Gebrauch.

Menge: 50 ul
Lieferbar: In stock
lieferbar

Lieferung vsl. bis 04.12.2025 

Vergleichen

Auf den Wunschzettel

Angebot anfordern

Lieferzeit anfragen

Technische Frage stellen

Bulk-Anfrage stellen

Fragen zum Produkt?
 
Schließen