Vergleich

TRIM5 Antibody

ArtNr CSB-PA874861LA01HU-50ug
Hersteller Cusabio
Menge 50 ug
Quantity options 100 ug 20 ug 50 ug
Kategorie
Typ Antibody Polyclonal
Format Liquid
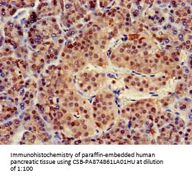
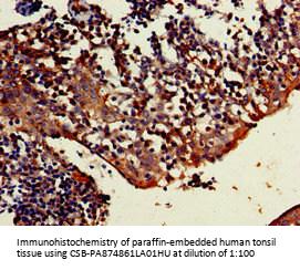
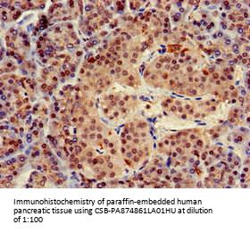
Applikationen WB, IHC, ELISA
Specific against Human (Homo sapiens), Mouse (Murine, Mus musculus)
Host Rabbit
Isotype IgG
Konjugat/Tag Unconjugated
ECLASS 10.1 32160702
ECLASS 11.0 32160702
UNSPSC 12352203
Alias RING finger protein 88 antibody,RNF88 antibody,TRIM5 antibody,TRIM5_HUMAN antibody,TRIM5alpha antibody,Tripartite motif containing 5 antibody,tripartite motif protein TRIM5 antibody,Tripartite motif-containing protein 5 antibody
Similar products TRIM5, RNF88, Tripartite motif-containing protein 5 (EC 2.3.2.27) (RING finger protein 88) (RING-type E3 ubiquitin transferase TRIM5)
Lieferbar
Manufacturer - Type
Polyclonal Antibody
Manufacturer - Applications
ELISA, WB, IHC; Recommended dilution: WB:1:500-1:5000, IHC:1:20-1:200
Manufacturer - Targets
TRIM5
Storage Conditions
Upon receipt, store at -20°C or -80°C. Avoid repeated freeze.
Immunogen Species
Human
Immunogen
Recombinant Human Tripartite motif-containing protein 5 protein (1-493AA)
Dilution
ELISA:1:2000-1:10000
WB:1:500-1:5000
IHC:1:20-1:200
Background
Capsid-specific restriction factor that prevents infection from non-host-adapted retroviruses. Blocks viral replication early in the life cycle, after viral entry but before reverse transcription. In addition to acting as a capsid-specific restriction factor, also acts as a pattern recognition receptor that activates innate immune signaling in response to the retroviral capsid lattice. Binding to the viral capsid triggers its E3 ubiquitin ligase activity, and in concert with the heterodimeric ubiquitin conjugating enzyme complex UBE2V1-UBE2N (also known as UBC13-UEV1A complex) generates 'Lys-63'-linked polyubiquitin chains, which in turn are catalysts in the autophosphorylation of the MAP3K7/TAK1 complex (includes TAK1, TAB2, and TAB3). Activation of the MAP3K7/TAK1 complex by autophosphorylation results in the induction and expression of NF-kappa-B and MAPK-responsive inflammatory genes, thereby leading to an innate immune response in the infected cell. Restricts infection by N-tropic murine leukemia virus (N-MLV), equine infectious anemia virus (EIAV), simian immunodeficiency virus of macaques (SIVmac), feline immunodeficiency virus (FIV), and bovine immunodeficiency virus (BIV) (PubMed:17156811). Plays a role in regulating autophagy through activation of autophagy regulator BECN1 by causing its dissociation from its inhibitors BCL2 and TAB2 (PubMed:25127057). Also plays a role in autophagy by acting as a selective autophagy receptor which recognizes and targets HIV-1 capsid protein p24 for autophagic destruction (PubMed:25127057).
Buffer
Preservative: 0.03% Proclin 300
Constituents: 50% Glycerol, 0.01M PBS, pH 7.4
Purification Method
>95%, Protein G purified
General Research Areas
Epigenetics and Nuclear Signaling
Initial Research Areas
Epigenetics and Nuclear Signaling
Antigen Species
Human
Antigen
Recombinant Human Tripartite motif-containing protein 5 protein (1-493AA)
Clonality
Polyclonal

Hinweis: Die dargestellten Informationen und Dokumente (Bedienungsanleitung, Produktdatenblatt, Sicherheitsdatenblatt und Analysezertifikat) entsprechen unserem letzten Update und sollten lediglich der Orientierung dienen. Wir übernehmen keine Garantie für die Aktualität. Für spezifische Anforderungen bitten wir Sie, uns eine Anfrage zu stellen.

Alle Produkte sind nur für Forschungszwecke bestimmt. Nicht für den menschlichen, tierärztlichen oder therapeutischen Gebrauch.

Menge: 50 ug
Lieferbar: In stock
lieferbar

Vergleichen

Auf den Wunschzettel

Angebot anfordern

Lieferzeit anfragen

Technische Frage stellen

Bulk-Anfrage stellen

Fragen zum Produkt?
 
Schließen