Vergleich

HACD3 Antibody

ArtNr CSB-PA878945LA01HU-50ug
Hersteller Cusabio
Menge 50 ug
Quantity options 100 ug 20 ug 50 ug
Kategorie
Typ Antibody Primary
Format Liquid
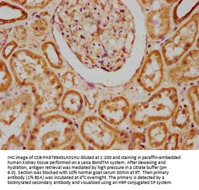
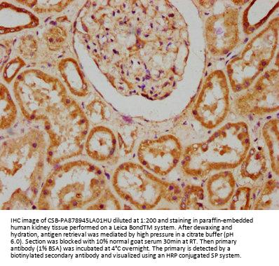
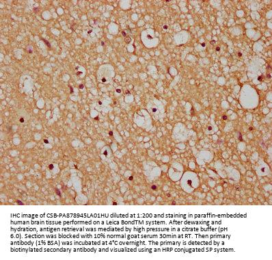
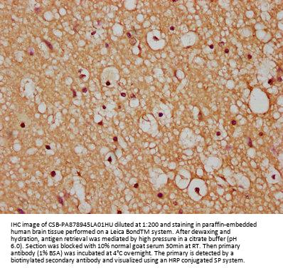
Applikationen IHC, ELISA
Specific against Human (Homo sapiens)
Host Rabbit
Isotype IgG
Konjugat/Tag Unconjugated
ECLASS 10.1 32160702
ECLASS 11.0 32160702
UNSPSC 12352203
Alias HACD3 antibody,BIND1 antibody,PTPLAD1 antibody,Very-long-chain antibody,3R)-3-hydroxyacyl-CoA dehydratase 3 antibody,EC 4.2.1.134 antibody,3-hydroxyacyl-CoA dehydratase 3 antibody,HACD3 antibody,Butyrate-induced protein 1 antibody,B-ind1 antibody,hB-ind1 antibody,Protein-tyrosine phosphatase-like A domain-containing protein 1 antibody
Lieferbar
Manufacturer - Type
Polyclonal Antibody
Manufacturer - Category
List of Stock Antibodies / 2024 List of Stock Antibodies
Manufacturer - Applications
ELISA, IHC; Recommended dilution: IHC:1:200-1:500
Manufacturer - Targets
HACD3
Manufacturer - Conjugate / Tag
Non-conjugated
Storage Conditions
Upon receipt, store at -20°C or -80°C. Avoid repeated freeze.
Manufacturer - Alias
HACD3 antibody, BIND1 antibody, PTPLAD1 antibody, Very-long-chain antibody, 3R)-3-hydroxyacyl-CoA dehydratase 3 antibody, EC 4.2.1.134 antibody, 3-hydroxyacyl-CoA dehydratase 3 antibody, HACD3 antibody, Butyrate-induced protein 1 antibody, B-ind1 antibody, hB-ind1 antibody, Protein-tyrosine phosphatase-like A domain-containing protein 1 antibody
Buffer
Preservative: 0.03% Proclin 300
Constituents: 50% Glycerol, 0.01M PBS, pH 7.4
Purification Method
>95%, Protein G purified
General Research Areas
Signal Transduction
Antigen Species
Human
Antigen
Recombinant Human Very-long-chain (3R)-3-hydroxyacyl-CoA dehydratase 3 protein (1-145AA)
Clonality
Polyclonal

Hinweis: Die dargestellten Informationen und Dokumente (Bedienungsanleitung, Produktdatenblatt, Sicherheitsdatenblatt und Analysezertifikat) entsprechen unserem letzten Update und sollten lediglich der Orientierung dienen. Wir übernehmen keine Garantie für die Aktualität. Für spezifische Anforderungen bitten wir Sie, uns eine Anfrage zu stellen.

Alle Produkte sind nur für Forschungszwecke bestimmt. Nicht für den menschlichen, tierärztlichen oder therapeutischen Gebrauch.

Menge: 50 ug
Lieferbar: In stock
lieferbar

Lieferung vsl. bis 06.11.2025 

Vergleichen

Auf den Wunschzettel

Angebot anfordern

Lieferzeit anfragen

Technische Frage stellen

Bulk-Anfrage stellen

Fragen zum Produkt?
 
Schließen