Vergleich

GPR27 Antibody

ArtNr CSB-PA885717LA01HU-100ug
Hersteller Cusabio
Menge 100 ug
Quantity options 100 ug 20 ug 50 ug
Kategorie
Typ Antibody Primary
Format Liquid
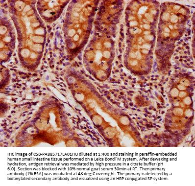
Applikationen IF, IHC, ELISA
Specific against Human (Homo sapiens)
Host Rabbit
Isotype IgG
Konjugat/Tag Unconjugated
ECLASS 10.1 32160702
ECLASS 11.0 32160702
UNSPSC 12352203
Alias G protein coupled receptor 27 antibody,GPR 27 antibody,GPR27 antibody,GPR27_HUMAN antibody,Probable G protein coupled receptor GPR27 antibody,Probable G-protein coupled receptor 27 antibody,SREB 1 antibody,SREB1 antibody,Super conserved receptor expressed in brain 1 antibody
Lieferbar
Manufacturer - Type
Polyclonal Antibody
Manufacturer - Category
List of Stock Antibodies / 2024 List of Stock Antibodies
Manufacturer - Applications
ELISA, IHC, IF; Recommended dilution: IHC:1:200-1:500, IF:1:50-1:200
Manufacturer - Targets
GPR27
Manufacturer - Conjugate / Tag
Non-conjugated
Storage Conditions
Upon receipt, store at -20°C or -80°C. Avoid repeated freeze.
Manufacturer - Alias
G protein coupled receptor 27 antibody, GPR 27 antibody, GPR27 antibody, GPR27_HUMAN antibody, Probable G protein coupled receptor GPR27 antibody, Probable G-protein coupled receptor 27 antibody, SREB 1 antibody, SREB1 antibody, Super conserved receptor expressed in brain 1 antibody
Buffer
Preservative: 0.03% Proclin 300
Constituents: 50% Glycerol, 0.01M PBS, pH 7.4
Purification Method
>95%, Protein G purified
General Research Areas
Signal Transduction
Antigen Species
Human
Antigen
Recombinant Human Probable G-protein coupled receptor 27 protein (203-285AA)
Clonality
Polyclonal

Hinweis: Die dargestellten Informationen und Dokumente (Bedienungsanleitung, Produktdatenblatt, Sicherheitsdatenblatt und Analysezertifikat) entsprechen unserem letzten Update und sollten lediglich der Orientierung dienen. Wir übernehmen keine Garantie für die Aktualität. Für spezifische Anforderungen bitten wir Sie, uns eine Anfrage zu stellen.

Alle Produkte sind nur für Forschungszwecke bestimmt. Nicht für den menschlichen, tierärztlichen oder therapeutischen Gebrauch.

Menge: 100 ug
Lieferbar: In stock
lieferbar

Lieferung vsl. bis 06.11.2025 

Vergleichen

Auf den Wunschzettel

Angebot anfordern

Lieferzeit anfragen

Technische Frage stellen

Bulk-Anfrage stellen

Fragen zum Produkt?
 
Schließen