Vergleich

Phospho-Histone H3.3 (T3) Recombinant Monoclonal Antibody

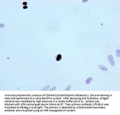
ArtNr CSB-RA010109A03phHU-50ul
Hersteller Cusabio
Menge 50 ul
Quantity options 100 ul 50 ul
Kategorie
Typ Antibody Monoclonal
Format Liquid
Applikationen WB, FC, ICC, ELISA
Clon 28H4
Specific against Human (Homo sapiens), Mouse (Murine, Mus musculus)
Host Rabbit
Isotype IgG
Konjugat/Tag Unconjugated
ECLASS 10.1 42030590
ECLASS 11.0 42030590
UNSPSC 12352203
Alias Histone H3.3,H3F3A,H3.3A,H3F3,PP781,AND,H3F3B,H3.3B
Similar products H3F3A, H3F3B, H3.3A, H3F3, Histone H3.3, H3.3B, AND, PP781
Lieferbar
Manufacturer - Type
Recombinant Antibody
Manufacturer - Applications
ELISA, WB, ICC, FC; Recommended dilution: WB:1:500-1:5000, ICC:1:50-1:500
Manufacturer - Isotype
Rabbit IgG
Manufacturer - Targets
H3F3A
Storage Conditions
Upon receipt, store at -20°C or -80°C. Avoid repeated freeze.
Immunogen
A synthesized peptide
Dilution
WB:1:500-1:5000, ICC:1:50-1:500
Background
Variant histone H3 which replaces conventional H3 in a wide range of nucleosomes in active genes. Constitutes the predominant form of histone H3 in non-dividing cells and is incorporated into chromatin independently of DNA synthesis. Deposited at sites of nucleosomal displacement throughout transcribed genes, suggesting that it represents an epigenetic imprint of transcriptionally active chromatin. Nucleosomes wrap and compact DNA into chromatin, limiting DNA accessibility to the cellular machineries which require DNA as a template. Histones thereby play a central role in transcription regulation, DNA repair, DNA replication and chromosomal stability. DNA accessibility is regulated via a complex set of post-translational modifications of histones, also called histone code, and nucleosome remodeling.
Buffer
Rabbit IgG in 10mM phosphate buffered saline , pH 7.4, 150mM sodium chloride, 0.05% BSA, 0.02% sodium azide and 50% glycerol.
Purification Method
Affinity-chromatography
General Research Areas
Epigenetics and Nuclear Signaling
Modified
Epigenetics and Nuclear Signaling
Antigen Species
Human
Antigen
A synthesized peptide
Clonality
Monoclonal

Hinweis: Die dargestellten Informationen und Dokumente (Bedienungsanleitung, Produktdatenblatt, Sicherheitsdatenblatt und Analysezertifikat) entsprechen unserem letzten Update und sollten lediglich der Orientierung dienen. Wir übernehmen keine Garantie für die Aktualität. Für spezifische Anforderungen bitten wir Sie, uns eine Anfrage zu stellen.

Alle Produkte sind nur für Forschungszwecke bestimmt. Nicht für den menschlichen, tierärztlichen oder therapeutischen Gebrauch.

Menge: 50 ul
Lieferbar: In stock
lieferbar

Vergleichen

Auf den Wunschzettel

Angebot anfordern

Lieferzeit anfragen

Technische Frage stellen

Bulk-Anfrage stellen

Fragen zum Produkt?
 
Schließen