Vergleich

DDX58 Recombinant Monoclonal Antibody

ArtNr CSB-RA207378A0HU-50ul
Hersteller Cusabio
Menge 50 ul
Quantity options 100 ul 50 ul
Kategorie
Typ Antibody Monoclonal
Format Liquid
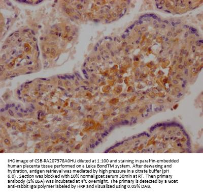
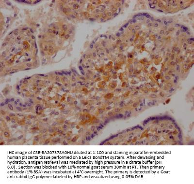
Applikationen IHC, ELISA
Clon 7F6
Specific against Human (Homo sapiens)
Host Rabbit
Isotype IgG
Konjugat/Tag Unconjugated
ECLASS 10.1 42030590
ECLASS 11.0 42030590
UNSPSC 12352203
Alias Probable ATP-dependent RNA helicase DDX58 (EC 3.6.4.13) (DEAD box protein 58) (RIG-I-like receptor 1) (RLR-1) (Retinoic acid-inducible gene 1 protein) (RIG-1) (Retinoic acid-inducible gene I protein) (RIG-I),DDX58
Similar products DDX58, Probable ATP-dependent RNA helicase DDX58 (EC 3.6.4.13) (DEAD box protein 58) (RIG-I-like receptor 1) (RLR-1) (Retinoic acid-inducible gene 1 protein) (RIG-1) (Retinoic acid-inducible gene I protein) (RIG-I)
Lieferbar
Manufacturer - Type
Recombinant Antibody
Manufacturer - Applications
ELISA, IHC; Recommended dilution: IHC:1:50-1:200
Manufacturer - Isotype
Rabbit IgG
Manufacturer - Targets
DDX58
Storage Conditions
Upon receipt, store at -20°C or -80°C. Avoid repeated freeze.
Immunogen
A synthesized peptide derived from human DDX58
Dilution
IHC:1:50-1:200
Background
Innate immune receptor which acts as a cytoplasmic sensor of viral nucleic acids and plays a major role in sensing viral infection and in the activation of a cascade of antiviral responses including the induction of type I interferons and proinflammatory cytokines. Its ligands include: 5'-triphosphorylated ssRNA and dsRNA and short dsRNA (<1 kb in length). In addition to the 5'-triphosphate moiety, blunt-end base pairing at the 5'-end of the RNA is very essential. Overhangs at the non-triphosphorylated end of the dsRNA RNA have no major impact on its activity. A 3'overhang at the 5'triphosphate end decreases and any 5'overhang at the 5' triphosphate end abolishes its activity. Upon ligand binding it associates with mitochondria antiviral signaling protein (MAVS/IPS1) which activates the IKK-related kinases: TBK1 and IKBKE which phosphorylate interferon regulatory factors: IRF3 and IRF7 which in turn activate transcription of antiviral immunological genes, including interferons (IFNs); IFN-alpha and IFN-beta. Detects both positive and negative strand RNA viruses including members of the families Paramyxoviridae: Human respiratory syncytial virus and measles virus (MeV), Rhabdoviridae: vesicular stomatitis virus (VSV), Orthomyxoviridae: influenza A and B virus, Flaviviridae: Japanese encephalitis virus (JEV), hepatitis C virus (HCV), dengue virus (DENV) and west Nile virus (WNV). It also detects rotavirus and reovirus. Also involved in antiviral signaling in response to viruses containing a dsDNA genome such as Epstein-Barr virus (EBV). Detects dsRNA produced from non-self dsDNA by RNA polymerase III, such as Epstein-Barr virus-encoded RNAs (EBERs). May play important roles in granulocyte production and differentiation, bacterial phagocytosis and in the regulation of cell migration.
Buffer
Rabbit IgG in 10mM phosphate buffered saline , pH 7.4, 150mM sodium chloride, 0.05% BSA, 0.02% sodium azide and 50% glycerol.
Purification Method
Affinity-chromatography
General Research Areas
Epigenetics and Nuclear Signaling; Immunology
Modified
Epigenetics and Nuclear Signaling; Immunology
Antigen Species
Human
Antigen
A synthesized peptide derived from human DDX58
Clonality
Monoclonal

Hinweis: Die dargestellten Informationen und Dokumente (Bedienungsanleitung, Produktdatenblatt, Sicherheitsdatenblatt und Analysezertifikat) entsprechen unserem letzten Update und sollten lediglich der Orientierung dienen. Wir übernehmen keine Garantie für die Aktualität. Für spezifische Anforderungen bitten wir Sie, uns eine Anfrage zu stellen.

Alle Produkte sind nur für Forschungszwecke bestimmt. Nicht für den menschlichen, tierärztlichen oder therapeutischen Gebrauch.

Menge: 50 ul
Lieferbar: In stock
lieferbar

Vergleichen

Auf den Wunschzettel

Angebot anfordern

Lieferzeit anfragen

Technische Frage stellen

Bulk-Anfrage stellen

Fragen zum Produkt?
 
Schließen