Vergleich

ACE Recombinant Monoclonal Antibody

ArtNr CSB-RA268157A0HU-50ul
Hersteller Cusabio
Menge 50 ul
Quantity options 100 ul 50 ul
Kategorie
Typ Antibody Monoclonal
Format Liquid
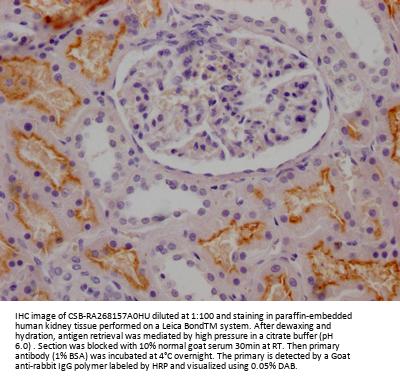
Applikationen IHC, ELISA
Clon 2H8
Specific against Human (Homo sapiens)
Host Rabbit
Isotype IgG
Konjugat/Tag Unconjugated
ECLASS 10.1 42030590
ECLASS 11.0 42030590
UNSPSC 12352203
Alias Angiotensin-converting enzyme (ACE) (EC 3.2.1.-) (EC 3.4.15.1) (Dipeptidyl carboxypeptidase I) (Kininase II) (CD antigen CD143) [Cleaved into: Angiotensin-converting enzyme,soluble form],ACE,DCP DCP1
Similar products ACE, Angiotensin-converting enzyme (ACE) (EC 3.2.1.-) (EC 3.4.15.1) (Dipeptidyl carboxypeptidase I) (Kininase II) (CD antigen CD143) [Cleaved into: Angiotensin-converting enzyme, soluble form], DCP DCP1
Lieferbar
Manufacturer - Type
Recombinant Antibody
Manufacturer - Applications
ELISA, IHC; Recommended dilution: IHC:1:50-1:200
Manufacturer - Isotype
Rabbit IgG
Manufacturer - Targets
ACE
Storage Conditions
Upon receipt, store at -20°C or -80°C. Avoid repeated freeze.
Immunogen
A synthesized peptide derived from human ACE1
Dilution
IHC:1:50-1:200
Background
Converts angiotensin I to angiotensin II by release of the terminal His-Leu, this results in an increase of the vasoconstrictor activity of angiotensin. Also able to inactivate bradykinin, a potent vasodilator. Has also a glycosidase activity which releases GPI-anchored proteins from the membrane by cleaving the mannose linkage in the GPI moiety.
Buffer
Rabbit IgG in 10mM phosphate buffered saline , pH 7.4, 150mM sodium chloride, 0.05% BSA, 0.02% sodium azide and 50% glycerol.
Purification Method
Affinity-chromatography
General Research Areas
Cancer; Cardiovascular; Cell biology; Metabolism; Signal transduction; Stem cells
Modified
Cancer; Cardiovascular; Cell biology; Metabolism; Signal transduction; Stem cells
Antigen Species
Human
Antigen
A synthesized peptide derived from human ACE1
Clonality
Monoclonal

Hinweis: Die dargestellten Informationen und Dokumente (Bedienungsanleitung, Produktdatenblatt, Sicherheitsdatenblatt und Analysezertifikat) entsprechen unserem letzten Update und sollten lediglich der Orientierung dienen. Wir übernehmen keine Garantie für die Aktualität. Für spezifische Anforderungen bitten wir Sie, uns eine Anfrage zu stellen.

Alle Produkte sind nur für Forschungszwecke bestimmt. Nicht für den menschlichen, tierärztlichen oder therapeutischen Gebrauch.

Menge: 50 ul
Lieferbar: In stock
lieferbar

Lieferung vsl. bis 27.11.2025 

Vergleichen

Auf den Wunschzettel

Angebot anfordern

Lieferzeit anfragen

Technische Frage stellen

Bulk-Anfrage stellen

Fragen zum Produkt?
 
Schließen