Vergleich

WT1 Recombinant Monoclonal Antibody

ArtNr CSB-RA950156A0HU-50ul
Hersteller Cusabio
Menge 50 ul
Quantity options 100 ul 50 ul
Kategorie
Typ Antibody Monoclonal
Format Liquid
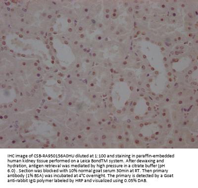
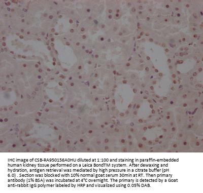
Applikationen WB, IHC, ELISA
Clon 5F2
Specific against Human (Homo sapiens)
Host Rabbit
Isotype IgG
Konjugat/Tag Unconjugated
ECLASS 10.1 42030590
ECLASS 11.0 42030590
UNSPSC 12352203
Alias Wilms tumor protein (WT33),WT1
Similar products WT1, Wilms tumor protein (WT33)
Lieferbar
Manufacturer - Type
Recombinant Antibody
Manufacturer - Applications
ELISA, WB, IHC; Recommended dilution: WB:1:500-1:5000, IHC:1:50-1:200
Manufacturer - Isotype
Rabbit IgG
Manufacturer - Targets
WT1
Storage Conditions
Upon receipt, store at -20°C or -80°C. Avoid repeated freeze.
Immunogen
A synthesized peptide derived from human Wilms Tumor Protein
Dilution
WB:1:500-1:5000, IHC:1:50-1:200
Background
Transcription factor that plays an important role in cellular development and cell survival (PubMed:7862533). Recognizes and binds to the DNA sequence 5'-GCG(T/G)GGGCG-3' (PubMed:7862533, PubMed:17716689, PubMed:25258363). Regulates the expression of numerous target genes, including EPO. Plays an essential role for development of the urogenital system. It has a tumor suppressor as well as an oncogenic role in tumor formation. Function may be isoform-specific: isoforms lacking the KTS motif may act as transcription factors (PubMed:15520190). Isoforms containing the KTS motif may bind mRNA and play a role in mRNA metabolism or splicing (PubMed:16934801). Isoform 1 has lower affinity for DNA, and can bind RNA (PubMed:19123921).
Buffer
Rabbit IgG in 10mM phosphate buffered saline , pH 7.4, 150mM sodium chloride, 0.05% BSA, 0.02% sodium azide and 50% glycerol.
Purification Method
Affinity-chromatography
General Research Areas
Epigenetics and Nuclear Signaling; Cancer; Developmental biology; Tags & Cell Markers
Modified
Epigenetics and Nuclear Signaling; Cancer; Developmental biology; Tags & Cell Markers
Manufacturer - Format
Liquid
Antigen Species
Human
Antigen
A synthesized peptide derived from human Wilms Tumor Protein
Clonality
Monoclonal

Hinweis: Die dargestellten Informationen und Dokumente (Bedienungsanleitung, Produktdatenblatt, Sicherheitsdatenblatt und Analysezertifikat) entsprechen unserem letzten Update und sollten lediglich der Orientierung dienen. Wir übernehmen keine Garantie für die Aktualität. Für spezifische Anforderungen bitten wir Sie, uns eine Anfrage zu stellen.

Alle Produkte sind nur für Forschungszwecke bestimmt. Nicht für den menschlichen, tierärztlichen oder therapeutischen Gebrauch.

Menge: 50 ul
Lieferbar: In stock
lieferbar

Vergleichen

Auf den Wunschzettel

Angebot anfordern

Lieferzeit anfragen

Technische Frage stellen

Bulk-Anfrage stellen

Fragen zum Produkt?
 
Schließen