Vergleich

ACE2 Antibody

ArtNr PRS-3227-0.02mg
Hersteller ProSci
Menge 0.02 mg
Quantity options 0.02 mg 0.1 mg
Kategorie
Typ Antibody Polyclonal
Format Liquid
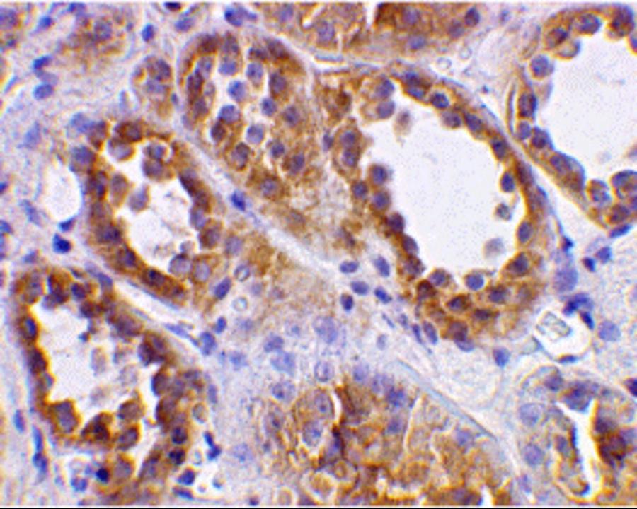
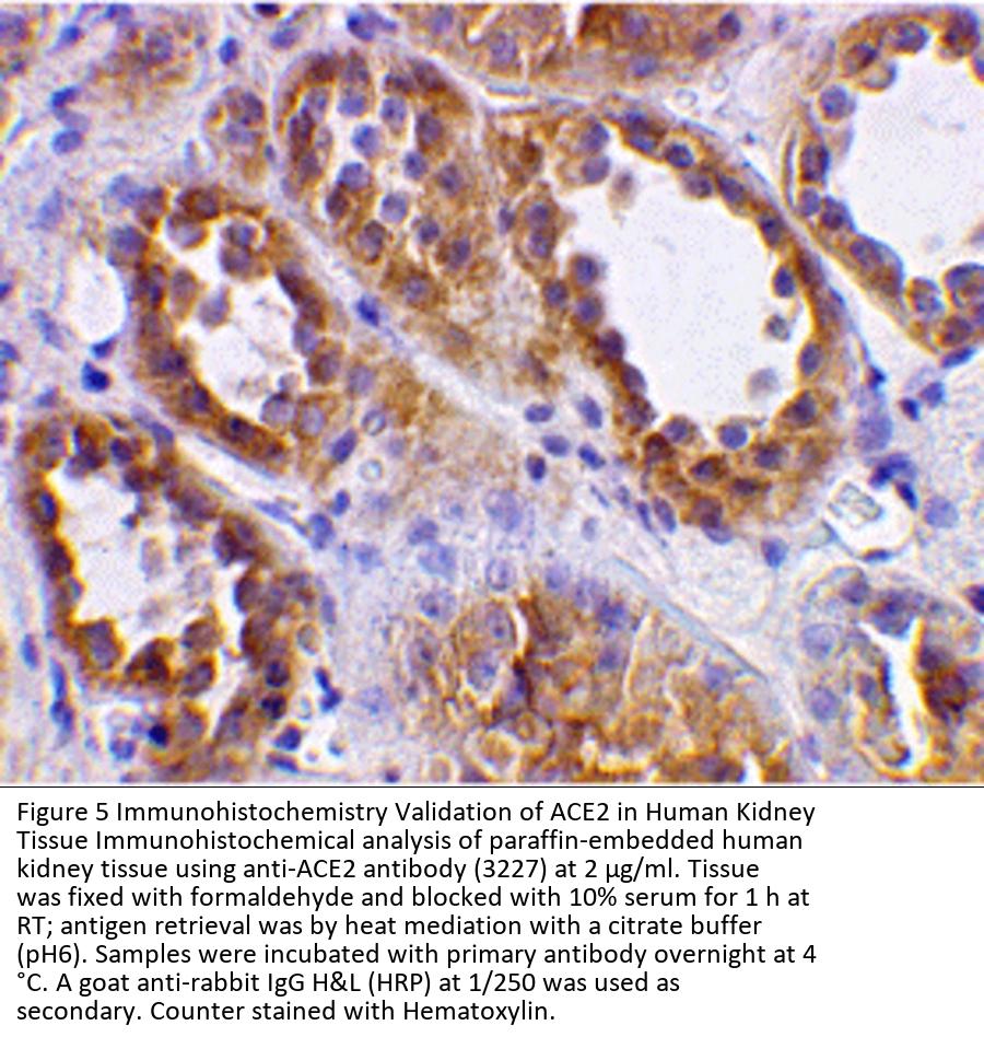
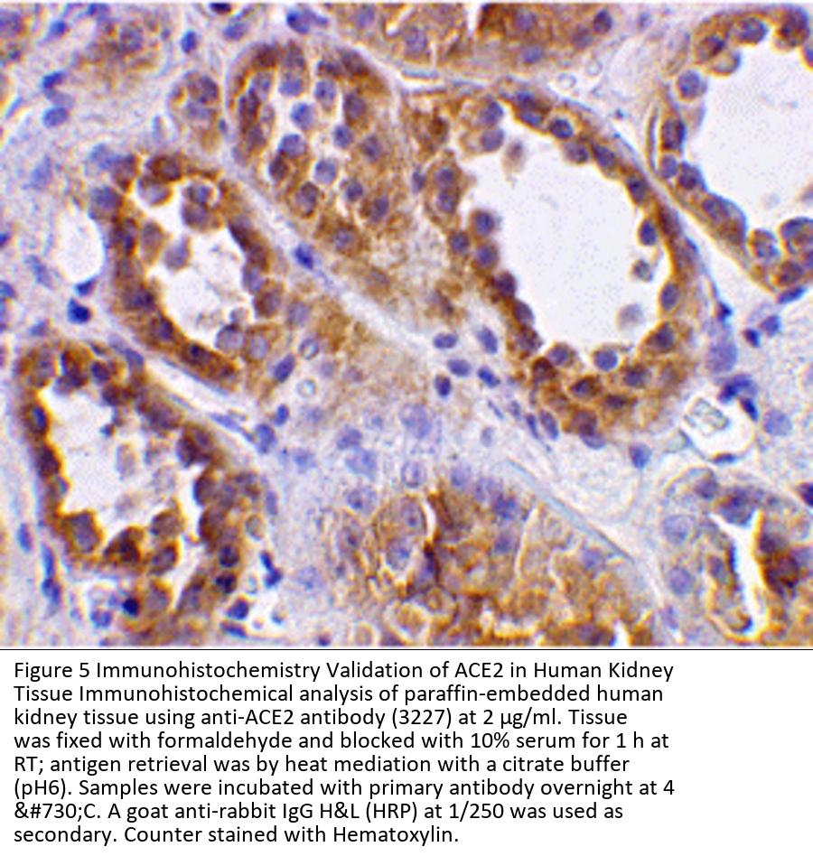
Applikationen WB, IF, ELISA, IHC-P
Specific against Human (Homo sapiens), Mouse (Murine, Mus musculus), Rat (Rattus norvegicus)
Host Rabbit
Isotype IgG
Konjugat/Tag Unconjugated
Citations Donoghue et al. Circ. Res. 2000;87:1-9.
Tipnis et al. J Biol. Chem. 2000;275:33238-43.
Li et al. Nature 2003;426:450-4.
Lu et al. The Lancet 2020 (published online).
Crackower et al. Nature 2002;417:822-8.
NCBI ACE2
ECLASS 10.1 32160702
ECLASS 11.0 32160702
UNSPSC 12352203
Alias ACE2 Antibody: ACEH,Angiotensin-converting enzyme 2,ACE-related carboxypeptidase,ACEH,SARS-CoV receptor,SARS-CoV-2 receptor
Versandbedingung Gekühlt
Lieferbar
Manufacturer - Type
Primary Antibodies
Shipping Temperature
Blue Ice
Storage Conditions
ACE2 antibody can be stored at 4˚ C up to one year. Antibodies should not be exposed to prolonged high temperatures.
Molecular Weight
Predicted: 93kD
Observed: 130 kD (7 N-linked glycosylation)
Manufacturer - Research Area
Infectious Disease
Background
ACE2 Antibody: Angiotensin-converting enzyme 2 (ACE2) plays a central role in vascular, renal, and myocardial physiology. In contrast to its homolog ACE, ACE2 expression is restricted to heart, kidney, and testis. Recently. ACE2 has also been shown to be a functional receptor of the SARS coronavirus. Homology modeling shows 2019-nCoV has a similar receptor-binding domain structure as SARS-CoV, which suggests COVID-19  (2019-nCoV) may use ACE2 as a receptor in humans for infection.  The normal function of ACE2 is to convert the inactive vasoconstrictor angiotensin I (AngI) to Ang1-9 and the active form AngII to Ang1-7, unlike ACE, which converts AngI to AngII. While the role of these vasoactive peptides is not well understood, lack of ACE2 expression in ace2-/ace2- mice leads to severely reduced cardiac contractility, indicating its importance in regulating heart function.
By Type
Infectious Disease
Badges
Trial Size, Most Images
Modifications
None
Protein Gi #
11225609
Purification
ACE2 Antibody is affinity chromatography purified via peptide column.
Positive Control 1
Positive Control 2
Positive Control 3
Positive Control 4
Concentration
1 mg/mL
Buffer
ACE2 Antibody is supplied in PBS containing 0.02% sodium azide.
Application Note
WB: 1-2 μ g/mL; IHC: 2 μ g/mL; IF: 10 μ g/mL.
Antibody validated: Western Blot in human, mouse and rat samples; Immunohistochemistry in human samples; Immunofluorescence in human samples. All other applications and species not yet tested.
Homology
Predicted species reactivity based on immunogen sequence: Bovine: (86%)
Manufacturer - Specificity
Anti-ACE2 has no cross response to ACE1.
Immunogen
Anti-ACE2 antibody (3227) was raised against a peptide corresponding to 14 amino acids near the amino terminus of human ACE2.

The immunogen is located within the first 50 amino acids of ACE2.
Clonality
Polyclonal
NCBI Official Name
angiotensin I converting enzyme (peptidyl-dipeptidase A) 2
NCBI Organism
Homo sapiens
Disclaimer
Optimal dilutions/concentrations should be determined by the end user. The information provided is a guideline for product use. This product is for research use only.
User Note
Optimal dilutions for each application to be determined by the researcher.

Hinweis: Die dargestellten Informationen und Dokumente (Bedienungsanleitung, Produktdatenblatt, Sicherheitsdatenblatt und Analysezertifikat) entsprechen unserem letzten Update und sollten lediglich der Orientierung dienen. Wir übernehmen keine Garantie für die Aktualität. Für spezifische Anforderungen bitten wir Sie, uns eine Anfrage zu stellen.

Alle Produkte sind nur für Forschungszwecke bestimmt. Nicht für den menschlichen, tierärztlichen oder therapeutischen Gebrauch.

Menge: 0.02 mg
Lieferbar: In stock
lieferbar

Vergleichen

Auf den Wunschzettel

Angebot anfordern

Lieferzeit anfragen

Technische Frage stellen

Bulk-Anfrage stellen

Fragen zum Produkt?
 
Schließen