Vergleich

APP Antibody

ArtNr PRS-5143-0.1mg
Hersteller ProSci
Menge 0.1 mg
Quantity options 0.02 mg 0.1 mg
Kategorie
Typ Antibody Polyclonal
Format Liquid
Applikationen WB, IF, ELISA, IHC-P
Specific against Human (Homo sapiens), Mouse (Murine, Mus musculus), Rat (Rattus norvegicus)
Host Rabbit
Isotype IgG
Konjugat/Tag Unconjugated
Citations Ponte P, Gonzalez-DeWhitt P, Schilling J, et al. A new A4 amyloid mRNA contains a domain homologous to serine proteinase inhibitors. Nature1988; 331:525-77.
Selkoe DJ. Cell biology of the amyloid beta-protein precursor and the mechanism of Alzheimer's disease. Annu Rev Cell Biol1994; 10:373-403.
Nikolaev A, McLaughlin T, O'Leary DD, et al. APP binds DR6 to trigger axon pruning and neuron death via distinct caspases. Nature2009; 457:981-9.
NCBI APP
ECLASS 10.1 32160702
ECLASS 11.0 32160702
UNSPSC 12352203
Alias APP Antibody: AAA,AD1,PN2,ABPP,APPI,CVAP,ABETA,PN-II,CTFgamma,A4,Amyloid beta A4 protein,APP
Versandbedingung Gekühlt
Lieferbar
Manufacturer - Type
Primary Antibodies
Shipping Temperature
Blue Ice
Storage Conditions
APP antibody can be stored at 4˚ C for three months and -20˚ C, stable for up to one year. As with all antibodies care should be taken to avoid repeated freeze thaw cycles. Antibodies should not be exposed to prolonged high temperatures.
Manufacturer - Research Area
Neuroscience
Background
APP Antibody: Accumulation of the amyloid-beta peptide (Abeta) in the cerebral cortex is a critical event in the pathogenesis of Alzheimer's disease. The beta-amyloid protein precursor (APP) is cleaved by one of two beta-secretases (BACE and BACE2), producing a soluble derivative of the protein and a membrane anchored 99-amino acid carboxy-terminal fragment (C99). The C99 fragment serves as substrate for gamma-secretase to generate the 4 kDa amyloid-beta peptide (Abeta), which is deposited in the Alzheimer's disease patient's brains. Recently, Death Receptor 6 (DR6) was found to interact with an amino-terminal fragment of the Beta-amyloid protein (N-APP) in neurons, activating a caspase 6-dependent apoptotic event leading to axonal degeneration and pruning during development, suggesting that these two proteins are involved in neural development and may possibly play a role in Alzheimer's disease.
By Type
Neuroscience
Badges
Trial Size
Modifications
None
Protein Gi #
28721
Purification
APP Antibody is affinity chromatography purified via peptide column.
Positive Control 1
Concentration
1 mg/mL
Buffer
APP Antibody is supplied in PBS containing 0.02% sodium azide.
Application Note
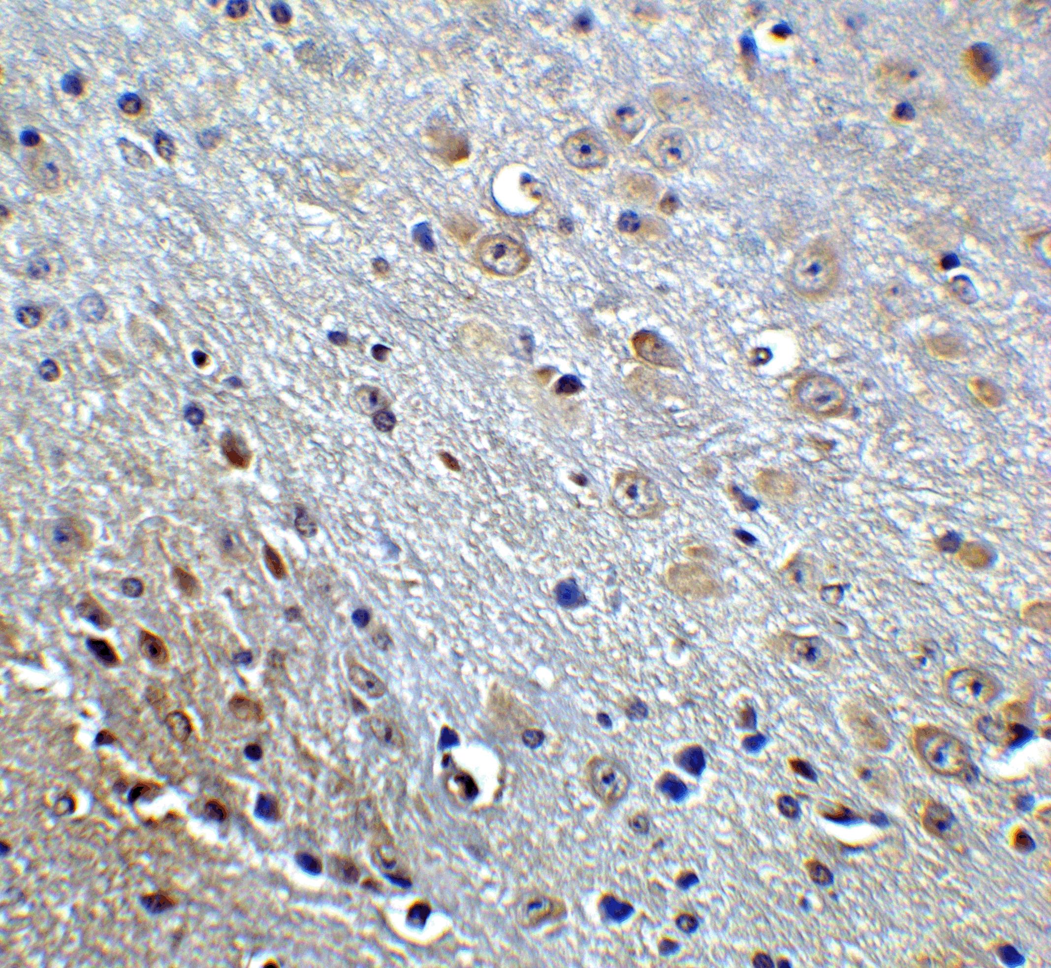
APP antibody can be used for detection of APP by Western blot at 1 - 2 μ g/mL. Antibody can also be used for immunohistochemistry starting at 2.5 μ g/mL. For immunofluorescence start at 20 μ g/mL.
Antibody validated: Western Blot in rat samples; Immunohistochemistry in mouse samples and Immunofluorescence in mouse samples. All other applications and species not yet tested.
Homology
Predicted species reactivity based on immunogen sequence: Pig: (94%), Guinea pig: (94%)
Immunogen
APP antibody was raised against an 18 amino acid synthetic peptide near the amino terminus of human APP.

The immunogen is located within amino acids 180 - 230 of APP.
Clonality
Polyclonal
NCBI Official Name
amyloid beta (A4) precursor protein
NCBI Organism
Homo sapiens
Disclaimer
Optimal dilutions/concentrations should be determined by the end user. The information provided is a guideline for product use. This product is for research use only.
User Note
Optimal dilutions for each application to be determined by the researcher.

Hinweis: Die dargestellten Informationen und Dokumente (Bedienungsanleitung, Produktdatenblatt, Sicherheitsdatenblatt und Analysezertifikat) entsprechen unserem letzten Update und sollten lediglich der Orientierung dienen. Wir übernehmen keine Garantie für die Aktualität. Für spezifische Anforderungen bitten wir Sie, uns eine Anfrage zu stellen.

Alle Produkte sind nur für Forschungszwecke bestimmt. Nicht für den menschlichen, tierärztlichen oder therapeutischen Gebrauch.

Menge: 0.1 mg
Lieferbar: In stock
lieferbar

Vergleichen

Auf den Wunschzettel

Angebot anfordern

Lieferzeit anfragen

Technische Frage stellen

Bulk-Anfrage stellen

Fragen zum Produkt?
 
Schließen