Vergleich

SRPX2 Antibody

ArtNr PRS-5475-0.02mg
Hersteller ProSci
Menge 0.02 mg
Quantity options 0.02 mg 0.1 mg
Kategorie
Typ Antibody Polyclonal
Format Liquid
Applikationen WB, IF, ELISA, IHC-P
Specific against Human (Homo sapiens), Mouse (Murine, Mus musculus), Rat (Rattus norvegicus)
Host Rabbit
Isotype IgG
Konjugat/Tag Unconjugated
Citations Roll P, Rudolf G, Pereira S, et al. SRPX2 mutations in disorders of language cortex and cognition. Hum. Mol. Genet.2006; 15:1195-207.
Miljkovic-Licina M, Hammel P, Garrido-Urbani S, et al. Sushi repeat protein X-linked 2, a novel mediator of angiogenesis. FASEB J.2009; 23:4105-16.
Blasi F and Carmeliet P. uPAR: a versatile signalling orchestrator. Nat. Rev. Mol. Cell. Biol.2002; 3:932-43.
Tanaka K, Arao T, Maegawa M, et al. SRPX2 is overexpressed in gastric cancer and promotes cellular migration and adhesion. Int. J. Cancer2009; 124:1072-80.
NCBI SRPX2
ECLASS 10.1 32160702
ECLASS 11.0 32160702
UNSPSC 12352203
Alias SRPX2 Antibody: BPP,CBPS,PMGX,RESDX,SRPUL,Sushi repeat-containing protein SRPX2,Sushi-repeat protein upregulated in leukemia
Versandbedingung Gekühlt
Lieferbar
Manufacturer - Type
Primary Antibodies
Shipping Temperature
Blue Ice
Storage Conditions
+4C storage
Manufacturer - Research Area
Cancer
Background
SRPX2 Antibody: Sushi-repeat-containing protein X-linked 2 (SRPX2) is a neural gene functioning in the speech and language center of the human brain; mutations in this gene lead to epilepsy, speech dyspraxia, mental retardation and cognitive disorders. Recently, SRPX2 was found to be a novel mediator of angiogenesis and can act as a ligand for the urokinase-type plasminogen activator, a protein that can facilitate invasive migration of sprouting endothelial cells. SRPX2 is also overexpressed in gastric cancer, leading to increased phosphorylation levels of focal adhesion kinase and enhanced cellular migration and adhesion, suggesting that SRPX2 may be a potential target in the treatment of metastatic cancers.
By Type
Cancer
Badges
Trial Size
Modifications
None
Protein Gi #
7657619
Purification
SRPX2 Antibody is affinity chromatography purified via peptide column.
Positive Control 1
Positive Control 2
Concentration
1 mg/mL
Buffer
SRPX2 Antibody is supplied in PBS containing 0.02% sodium azide.
Application Note
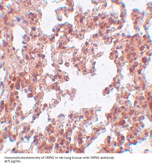
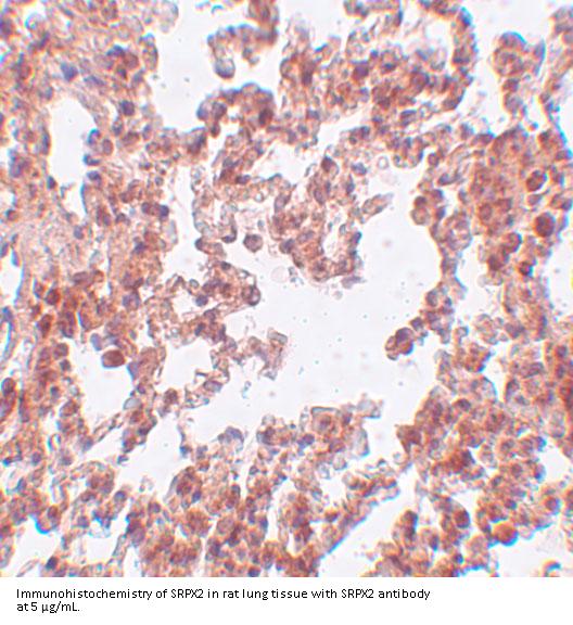
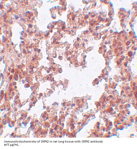
SRPX2 antibody can be used for detection of SRPX2 by Western blot at 1 - 2 μ g/mL. Antibody can also be used for immunohistochemistry starting at 5 μ g/mL. For immunofluorescence start at 20 μ g/mL.
Antibody validated: Western Blot in human samples; Immunohistochemistry in rat samples and Immunofluorescence in human samples. All other applications and species not yet tested.
Homology
Predicted species reactivity based on immunogen sequence: Bovine: (100%)
Immunogen
SRPX2 antibody was raised against a 16 amino acid synthetic peptide from near the amino terminus of human SRPX2.

The immunogen is located within the first 50 amino acids of SRPX2.
Clonality
Polyclonal
NCBI Official Name
sushi-repeat-containing protein, X-linked 2
NCBI Organism
Homo sapiens
Disclaimer
Optimal dilutions/concentrations should be determined by the end user. The information provided is a guideline for product use. This product is for research use only.
User Note
Optimal dilutions for each application to be determined by the researcher.

Hinweis: Die dargestellten Informationen und Dokumente (Bedienungsanleitung, Produktdatenblatt, Sicherheitsdatenblatt und Analysezertifikat) entsprechen unserem letzten Update und sollten lediglich der Orientierung dienen. Wir übernehmen keine Garantie für die Aktualität. Für spezifische Anforderungen bitten wir Sie, uns eine Anfrage zu stellen.

Alle Produkte sind nur für Forschungszwecke bestimmt. Nicht für den menschlichen, tierärztlichen oder therapeutischen Gebrauch.

Menge: 0.02 mg
Lieferbar: In stock
lieferbar

Vergleichen

Auf den Wunschzettel

Angebot anfordern

Lieferzeit anfragen

Technische Frage stellen

Bulk-Anfrage stellen

Fragen zum Produkt?
 
Schließen