Vergleich

KLF4 Antibody

ArtNr PRS-5603-0.02mg
Hersteller ProSci
Menge 0.02 mg
Quantity options 0.02 mg 0.1 mg
Kategorie
Typ Antibody Polyclonal
Format Liquid
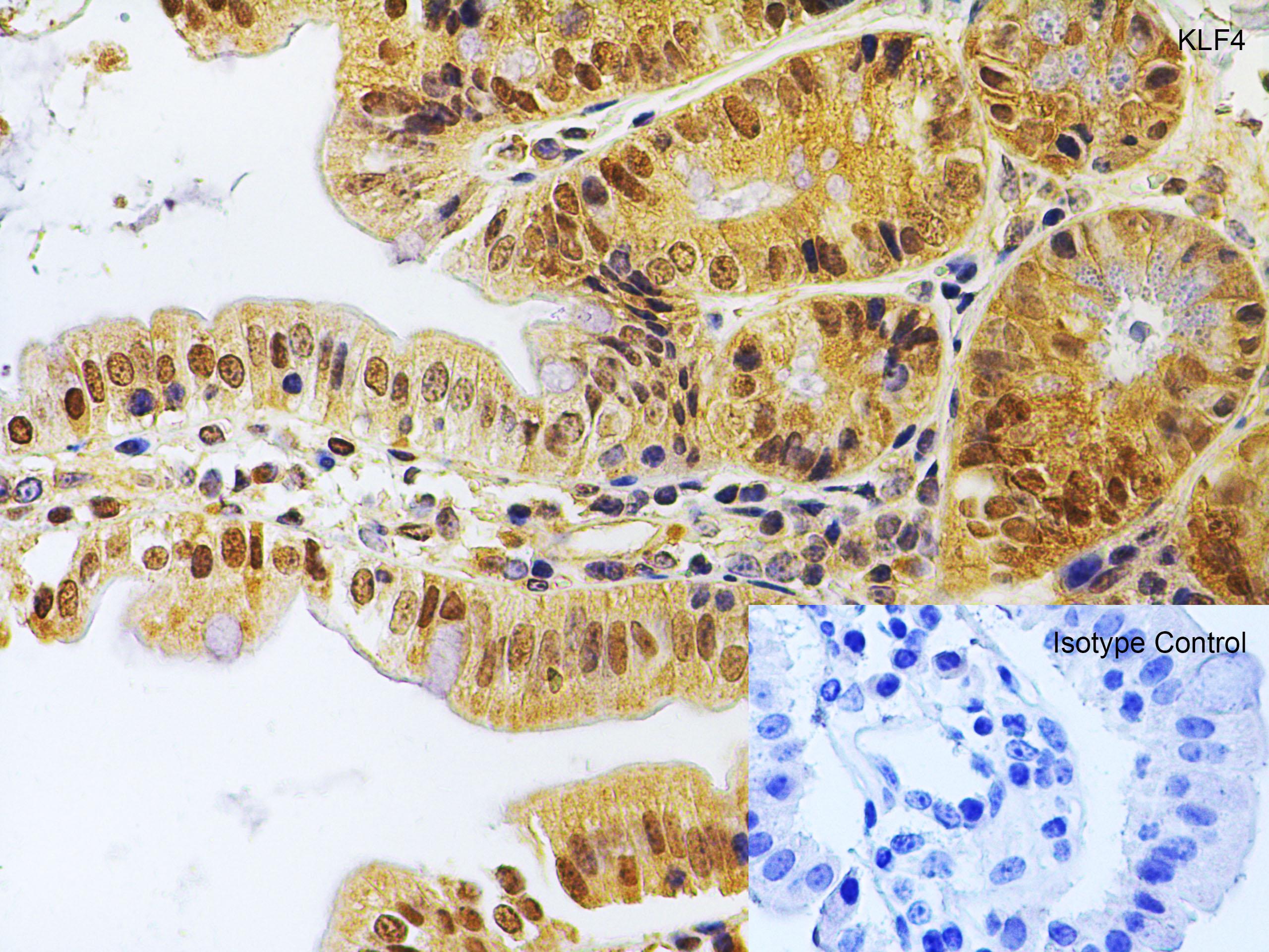
Applikationen WB, ELISA, IHC-P
Specific against Human (Homo sapiens), Mouse (Murine, Mus musculus), Rat (Rattus norvegicus)
Host Rabbit
Isotype IgG
Konjugat/Tag Unconjugated
Citations Evans PM, Zhang W, Chen X, et al. Kruppel-like factor 4 is acetylated by p300 and regulates gene transcription via modulation of histone acetylation. J. Bio. Chem.2007; 282:33994-4002.
Carpenter MK, Rosler E, and Rao MS. Characterization and differentiation of human embryonic stem cells. Cloning Stem Cells2003; 5:79-88.
Takahashi K and Yamanaka S. Induction of pluripotent stem cells from mouse embryonic and adult fibroblast cultures by defined factors. Cell2006; 1263:663-76.
Okita K, Nakagawa M, Hyenjong H, et al. Generation of mouse induced pluripotent stem cells without viral vectors. Science2008; 322:949-53.
NCBI KLF4
ECLASS 10.1 32160702
ECLASS 11.0 32160702
UNSPSC 12352203
Alias KLF4 Antibody: EZF,GKLF,EZF,Krueppel-like factor 4,Epithelial zinc finger protein EZF
Versandbedingung Gekühlt
Lieferbar
Manufacturer - Type
Primary Antibodies
Shipping Temperature
Blue Ice
Storage Conditions
KLF4 antibody can be stored at 4˚ C for three months and -20˚ C, stable for up to one year. As with all antibodies care should be taken to avoid repeated freeze thaw cycles. Antibodies should not be exposed to prolonged high temperatures.
Manufacturer - Research Area
Stem Cell
Background
KLF4 Antibody: KLF4 is a transcription factor that functions as both a transcriptional activator and repressor to regulate proliferation and differentiation of multiple cell types. The role of KLF4 in embryonic development suggested that it might be useful in the creation of stem cells that might be useful in cell replacement therapies in the treatment of several degenerative diseases. Artificial stem cells, termed induced pluripotent stem (iPS) cells, can be created by expressing KLF4 and the transcription factors POU5F1, Sox2, and Lin28 along with c-Myc in mouse fibroblasts. More recently, experiments have demonstrated that iPS cells could be generated using expression plasmids expressing KLF4, Sox2, POU5F1 and c-Myc, eliminating the need for virus introduction, thereby addressing a safety concern for potential use of iPS cells in regenerative medicine. KLF4 interacts directly with POU5F1 and Sox2 in iPS and ES cells and activates the target gene NANOG.
By Type
Stem Cell
Badges
Trial Size
Modifications
None
Protein Gi #
21410813
Purification
KLF4 Antibody is affinity chromatography purified via peptide column.
Isoforms
Human KLF4 has 5 isoforms including isoform 1 (513aa, 55kD), isoform 2 (479aa, 51kDa), isoform 3 (429aa, 46kDa), isoform 4 (118aa, 12kDa), and isoform 5 (63aa, 6.5kDa); Mouse KLF4 has one isoform (483aa, 52kD and rat KLF4 has one isoform (482aa, 52kD).
Validation

Relative Expression Validation (Figure 1): Anti-KLF4 antibodies (5603) specificity was further verified by KLF4 relative expression. KLF4 protein was detected in MCF-7 cells, but not in Jurkat cells, which matches the RNA expression pattern in these two cell lines based on Human Protein Atlas data (https://www.proteinatlas.org/ENSG00000136826-KLF4/subcellular ).

Positive Control 1
Concentration
1 mg/mL
Buffer
KLF4 Antibody is supplied in PBS containing 0.02% sodium azide.
Application Note
KLF4 antibody can be used for the detection of KLF4 by Western blot at 0.5 - 2 μ g/mL. Antibody can also be used for immunohistochemistry starting at 2 μ g/mL.

Antibody validated: Western Blot in human and mouse samples; Immunohistochemistry in human, mouse and rat samples. All other applications and species not yet tested.
Homology
Predicted species reactivity based on immunogen sequence: Pig: (80%), Bovine: (74%), Chicken: (75%)
Immunogen
KLF4 antibody was raised against a 20 amino acid synthetic peptide near the carboxy terminus of human KLF4.

The immunogen is located within the last 50 amino acids of KLF4.
Clonality
Polyclonal
NCBI Official Name
Kruppel-like factor 4 (gut)
NCBI Organism
Homo sapiens
Disclaimer
Optimal dilutions/concentrations should be determined by the end user. The information provided is a guideline for product use. This product is for research use only.
User Note
Optimal dilutions for each application to be determined by the researcher.
Validation

Relative Expression Validation (Figure 1): Anti-KLF4 antibodies (5603) specificity was further verified by KLF4 relative expression. KLF4 protein was detected in MCF-7 cells, but not in Jurkat cells, which matches the RNA expression pattern in these two cell lines based on Human Protein Atlas data (https://www.proteinatlas.org/ENSG00000136826-KLF4/subcellular ).

Hinweis: Die dargestellten Informationen und Dokumente (Bedienungsanleitung, Produktdatenblatt, Sicherheitsdatenblatt und Analysezertifikat) entsprechen unserem letzten Update und sollten lediglich der Orientierung dienen. Wir übernehmen keine Garantie für die Aktualität. Für spezifische Anforderungen bitten wir Sie, uns eine Anfrage zu stellen.

Alle Produkte sind nur für Forschungszwecke bestimmt. Nicht für den menschlichen, tierärztlichen oder therapeutischen Gebrauch.

Menge: 0.02 mg
Lieferbar: In stock
lieferbar

Vergleichen

Auf den Wunschzettel

Angebot anfordern

Lieferzeit anfragen

Technische Frage stellen

Bulk-Anfrage stellen

Fragen zum Produkt?
 
Schließen