Vergleich

Anti-IRF3 antibody (100-200) (STJ112965) Europäischer Partner

ArtNr STJ112965-100
Hersteller St John's Laboratory
Menge 100 uL
Quantity options 100 uL 20 uL 200 uL (2 x 100 uL)
Kategorie
Typ Antibody Primary
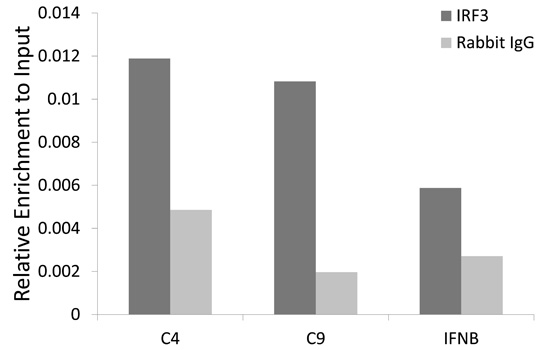
Applikationen WB, IF, IP, ICC, ELISA, IHC-P, CHIP
Specific against Human (Homo sapiens), Mouse (Murine, Mus musculus), Rat (Rattus norvegicus)
Host Rabbit
Isotype IgG
Konjugat/Tag Unconjugated
ECLASS 10.1 32160702
ECLASS 11.0 32160702
UNSPSC 12352203
Lieferbar
Manufacturer - Type
Primary antibodies
Manufacturer - Targets
IRF3
Storage Conditions
Store at-20°C for up to 1 year from the date of receipt, and avoid repeat freeze-thaw cycles.
Formulation
PBS with 0.09% Sodium Azide, 50% Glycerol, pH 7.3.
Concentration
Lot specific
Purification
Affinity purification
Immunogen
Recombinant fusion protein containing a sequence corresponding to amino acids 100-200 of human IRF3 (NP_001184051.1).
Clonality
Polyclonal
Dilution range
WB:1:1000-1:5000
IHC-P:1:50-1:200
IF/ICC:1:50-1:200
IP:0.5 Mu g-4 Mu g antibody for 200 Mu g-400 Mu g extracts of whole cells
ELISA:Recommended starting concentration is 1 Mu g/mL. Please optimize the concentration based on your specific assay requirements.
ChIP:5 Mu g antibody for 10 Mu g-15 Mu g of Chromatin
Note
STRICTLY FOR FURTHER SCIENTIFIC RESEARCH USE ONLY (RUO). MUST NOT TO BE USED IN DIAGNOSTIC OR THERAPEUTIC APPLICATIONS.
Immunogen Region
100-200
Manufacturer - Specificity
Recombinant fusion protein containing a sequence corresponding to amino acids 100-200 of human IRF3 (NP_001184051.1).

Hinweis: Die dargestellten Informationen und Dokumente (Bedienungsanleitung, Produktdatenblatt, Sicherheitsdatenblatt und Analysezertifikat) entsprechen unserem letzten Update und sollten lediglich der Orientierung dienen. Wir übernehmen keine Garantie für die Aktualität. Für spezifische Anforderungen bitten wir Sie, uns eine Anfrage zu stellen.

Alle Produkte sind nur für Forschungszwecke bestimmt. Nicht für den menschlichen, tierärztlichen oder therapeutischen Gebrauch.

Menge: 100 uL
Lieferbar: In stock
lieferbar

Vergleichen

Auf den Wunschzettel

Angebot anfordern

Lieferzeit anfragen

Technische Frage stellen

Bulk-Anfrage stellen

Fragen zum Produkt?
 
Schließen