Vergleich

SAP 155 Antibody

ArtNr AB-R12-2344-50
Hersteller Assay Biotechnology
Menge 50 ul
Quantity options 100 ul 50 ul
Kategorie
Typ Antibody Polyclonal
Format Liquid
Applikationen WB, IHC
Specific against Human (Homo sapiens), Mouse (Murine, Mus musculus)
Host Rabbit
NCBI SF3B1
ECLASS 10.1 32160702
ECLASS 11.0 32160702
UNSPSC 12352203
Alias SF3B1,SAP155,Splicing factor 3B subunit 1,Pre-mRNA-splicing factor SF3b 155 kDa subunit,SF3b155,Spliceosome-associated protein 155,SAP 155
Lieferbar
Manufacturer - Category
Polyclonal Antibody
Shipping Temperature
4°C
Storage Conditions
Store at -20°C/1 year
Molecular Weight
145 kDa
Clonality
Polyclonal
Dilution
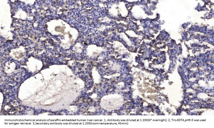
WB 1:500-2000; IHC 1:50-300
Immunogen
The antiserum was produced against synthesized peptide derived from human SAP 155. AA range:75-124
OMIM
605590
Purification
The antibody was affinity-purified from rabbit antiserum by affinity-chromatography using epitope-specific immunogen.
Product Description
SAP 155 Rabbit Polyclonal Antibody
Concentration
1 mg/ml
Immunogen Range
75-124
Modifications
Unmodified/Total
Unigene No.
Hs.632554
Manufacturer - Specificity
SAP 155 antibody detects endogenous levels of SAP 155.
Gene Name
SF3B1
Protein Name
Splicing factor 3B subunit 1
Formulation
Liquid in PBS containing 50% glycerol, 0.5% BSA and 0.02% sodium azide.
Observed Band (KD)
145kD

Hinweis: Die dargestellten Informationen und Dokumente (Bedienungsanleitung, Produktdatenblatt, Sicherheitsdatenblatt und Analysezertifikat) entsprechen unserem letzten Update und sollten lediglich der Orientierung dienen. Wir übernehmen keine Garantie für die Aktualität. Für spezifische Anforderungen bitten wir Sie, uns eine Anfrage zu stellen.

Alle Produkte sind nur für Forschungszwecke bestimmt. Nicht für den menschlichen, tierärztlichen oder therapeutischen Gebrauch.

Menge: 50 ul
Lieferbar: In stock
lieferbar

Vergleichen

Auf den Wunschzettel

Angebot anfordern

Lieferzeit anfragen

Technische Frage stellen

Bulk-Anfrage stellen

Fragen zum Produkt?