Vergleich

Anti-MECP2 Antibody Picoband® Europäischer Partner

ArtNr BOS-A00047-Biotin
Hersteller Boster
Menge 100 ug
Quantity options 100 ug/vial 10 ug 100 ug 100 ug 100 ug 100 ug 100 ug 100 ug 100 ug 100 ug 100 ug 100 ug 100 ug
Kategorie
Typ Antibody Polyclonal
Format Lyophilized
Applikationen WB, IF, IHC, ICC, ELISA
Specific against Human (Homo sapiens), Mouse (Murine, Mus musculus), Rat (Rattus norvegicus)
Host Rabbit
Isotype IgG
Konjugat/Tag Biotin
Citations 1. Amir RE, Van den Veyver IB, Wan M, Tran CQ, Francke U, Zoghbi HY(October 1999). Rett syndrome is caused by mutations in X-linked MECP2, encoding methyl-CpG-binding protein 2. Nat. Genet. 23 (2): 185–8.
2. Chahrour M, et al. (2008). MECP2, a key contributor to neurological disease, activates and represses transcription. Science. 320 (5880): 1224–9.
ECLASS 10.1 32160702
ECLASS 11.0 32160702
UNSPSC 12352203
Alias Methyl-CpG-binding protein 2,MeCp-2 protein,MeCp2,MECP2
Lieferbar
Manufacturer - Category
Primary Antibodies
Storage Conditions
Store at -20°C for one year from date of receipt. After reconstitution, at 4°C for one month. It can also be aliquotted and stored frozen at -20°C for six months. Avoid repeated freeze-thaw cycles.
Observed Molecular weight
75 kDa
Calculated Molecular weight
25283 MW
Clonality
Polyclonal
Application Details
Western blot, 0.1-0.5μg/ml
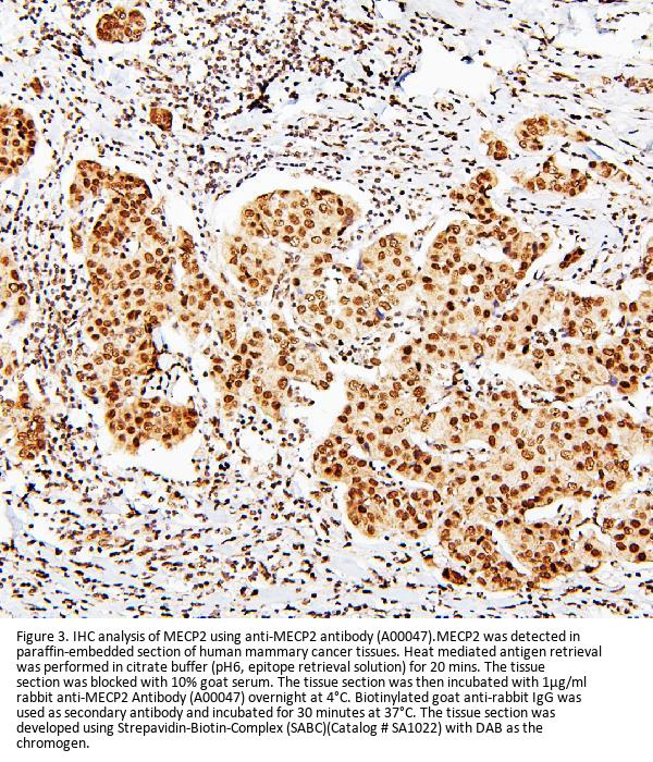
Immunohistochemistry (Paraffin-embedded Section), 0.5-1μg/ml
Immunocytochemistry/Immunofluorescence, 2μg/ml
ELISA, 0.1-0.5μg/ml
Gene Name
MECP2
Gene Full Name
methyl-CpG binding protein 2
Manufacturer - Specificity
No cross reactivity with other proteins.
Background
MECP2 (methyl CpG binding protein 2) is a gene that encodes the protein MECP2. It is mapped to Xq28. DNA methylation is the major modification of eukaryotic genomes and plays an essential role in mammalian development. Human proteins MECP2, MBD1, MBD2, MBD3, and MBD4 comprise a family of nuclear proteins related by the presence in each of a methyl-CpG binding domain (MBD). Each of these proteins, with the exception of MBD3, is capable of binding specifically to methylated DNA. MECP2, MBD1 and MBD2 can also repress transcription from methylated gene promoters. In contrast to other MBD family members, MECP2 is X-linked and subject to X inactivation. MECP2 is dispensible in stem cells, but is essential for embryonic development. MECP2 gene mutations are the cause of most cases of Rett syndrome, a progressive neurologic developmental disorder and one of the most common causes of cognitive disability in females. Alternative splicing results in multiple transcript variants encoding different isoforms.
Immunogen
E.coli-derived human MECP2 recombinant protein (Position: K119-R453).
Contents
Each vial contains 4mg Trehalose, 0.9mg NaCl, 0.2mg Na2HPO4, 0.05mg NaN3.
Purification
Immunogen affinity purified.
Reconstitution
Add 0.2ml of distilled water will yield a concentration of 500ug/ml.
Concentration
Adding 0.2 ml of distilled water will yield a concentration of 500 μg/ml.
Manufacturer - Research Category
Angiogenesis, Cancer, Cancer Metabolism, Cardiovascular, Growth Factors, Growth Factors/Hormones, Metabolism, Metabolism Processes, Pathways and Processes, Response To Hypoxia, Signal Transduction
Protein Name
Vascular endothelial growth factor A
Protein Function
Chromosomal protein that binds to methylated DNA. It can bind specifically to a single methyl-CpG pair. It is not influenced by sequences flanking the methyl-CpGs. Mediates transcriptional repression through interaction with histone deacetylase and the corepressor SIN3A. Binds both 5-methylcytosine (5mC) and 5-hydroxymethylcytosine (5hmC)-containing DNA, with a preference for 5-methylcytosine (5mC).
Subcellular Localization
Nucleus.
Description
Boster Bio Anti-MECP2 Antibody Picoband® catalog # A00047. Tested in ELISA, IF, IHC, ICC, WB applications. This antibody reacts with Human, Mouse, Rat. The brand Picoband indicates this is a premium antibody that guarantees superior quality, high affinity, and strong signals with minimal background in Western blot applications. Only our best-performing antibodies are designated as Picoband, ensuring unmatched performance.
Tissue Specificity
Present in all adult somatic tissues tested.
Manufacturer - Cross Reactivity
No cross-reactivity with other proteins.

Hinweis: Die dargestellten Informationen und Dokumente (Bedienungsanleitung, Produktdatenblatt, Sicherheitsdatenblatt und Analysezertifikat) entsprechen unserem letzten Update und sollten lediglich der Orientierung dienen. Wir übernehmen keine Garantie für die Aktualität. Für spezifische Anforderungen bitten wir Sie, uns eine Anfrage zu stellen.

Alle Produkte sind nur für Forschungszwecke bestimmt. Nicht für den menschlichen, tierärztlichen oder therapeutischen Gebrauch.

Menge: 100 ug
Lieferbar: In stock
lieferbar

Vergleichen

Auf den Wunschzettel

Angebot anfordern

Lieferzeit anfragen

Technische Frage stellen

Bulk-Anfrage stellen

Fragen zum Produkt?