Vergleich

Anti-FOXM1 Antibody Picoband® Europäischer Partner

ArtNr BOS-A00659-3
Hersteller Boster
Menge 100 ug/vial
Quantity options 100 ug/vial 10 ug 100 ug/vial 100 ug/vial 100 ug/vial 100 ug 100 ug 100 ug 100 ug/vial 100 ug/vial 100 ug/vial 100 ug/vial
Kategorie
Typ Antibody Polyclonal
Format Lyophilized
Applikationen WB, FC, IF, ICC, ELISA
Specific against Human (Homo sapiens), Mouse (Murine, Mus musculus), Rat (Rattus norvegicus)
Host Rabbit
Isotype IgG
Citations 1. Ye H, Kelly TF, Samadani U, Lim L, Rubio S, Overdier DG, Roebuck KA, Costa RH (March 1997). Hepatocyte nuclear factor 3/fork head homolog 11 is expressed in proliferating epithelial and mesenchymal cells of embryonic and adult tissues. Mol Cell Biol 17 (3): 1626–41.
2. Korver W, Roose J, Heinen K, Weghuis DO, de Bruijn D, van Kessel AG, Clevers H (March 1998). The human TRIDENT/HFH-11/FKHL16 gene: structure, localization, and promoter characterization. Genomics 46 (3): 435–42.
3. Wierstra I, Alves J (December 2007). FOXM1, a typical proliferation-associated transcription factor. Biol. Chem. 388 (12): 1257–74.
ECLASS 10.1 32160702
ECLASS 11.0 32160702
UNSPSC 12352203
Lieferbar
Manufacturer - Category
Primary Antibodies
Storage Conditions
At -20°C for one year from date of receipt.
After reconstitution, at 4°C for one month. It can also be aliquotted and stored frozen at -20°C for six months.
Avoid repeated freezing and thawing.
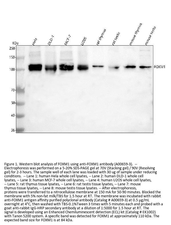
Observed Molecular weight
110 kDa
Clonality
Polyclonal
Application Details
Western blot, 0.25-0.5 μg/ml, Human, Mouse, Rat
Immunocytochemistry/Immunofluorescence, 5 μg/ml, Human
Flow Cytometry (Fixed), 1-3 μg/1x106 cells, Human
ELISA, 0.1-0.5 μg/ml
Gene Name
FOXM1
Background
Forkhead box protein M1, also called FOXM1, is a protein that in humans is encoded by the FOXM1 gene. It is mapped to 12p13.33. The protein encoded by this gene is a member of the FOX family of transcription factors. FOXM1 is known to play a key role in cell cycle progression where endogenous FOXM1 expression peaks at S and G2/M phases and also in the control of cell proliferation. FOXM1 gene is now known as a human proto-oncogene. Abnormal upregulation of FOXM1 is involved in the oncogenesis of basal cell carcinoma, the most common human cancer worldwide. It was hypothesized that FOXM1 induces cancer initiation through stem/progenitor cell expansion. What's more, FOXM1 has been shown to modulate the epigenome. It was found that overexpression of FOXM1 brain washes normal cells to adopt cancer-like epigenome.
Immunogen
E.coli-derived human FOXM1 recombinant protein (Position: K48-Q763). Human FOXM1 shares 78.9% and 81.1% amino acid (aa) sequence identity with mouse and rat FOXM1, respectively.
Contents
Each vial contains 4 mg Trehalose, 0.9 mg NaCl, 0.2 mg Na2HPO4.
Purification
Immunogen affinity purified.
Reconstitution
Adding 0.2 ml of distilled water will yield a concentration of 500 μg/ml.
Concentration
Adding 0.2 ml of distilled water will yield a concentration of 500 μg/ml.
Description
Boster Bio Anti-FOXM1 Antibody Picoband® catalog # A00659-3. Tested in WB, ICC/IF, Flow Cytometry, ELISA applications. This antibody reacts with Human, Mouse, Rat. The brand Picoband indicates this is a premium antibody that guarantees superior quality, high affinity, and strong signals with minimal background in Western blot applications. Only our best-performing antibodies are designated as Picoband, ensuring unmatched performance.

Hinweis: Die dargestellten Informationen und Dokumente (Bedienungsanleitung, Produktdatenblatt, Sicherheitsdatenblatt und Analysezertifikat) entsprechen unserem letzten Update und sollten lediglich der Orientierung dienen. Wir übernehmen keine Garantie für die Aktualität. Für spezifische Anforderungen bitten wir Sie, uns eine Anfrage zu stellen.

Alle Produkte sind nur für Forschungszwecke bestimmt. Nicht für den menschlichen, tierärztlichen oder therapeutischen Gebrauch.

Menge: 100 ug/vial
Lieferbar: In stock
lieferbar

Vergleichen

Auf den Wunschzettel

Angebot anfordern

Lieferzeit anfragen

Technische Frage stellen

Bulk-Anfrage stellen

Fragen zum Produkt?