Vergleich

Anti-Type-1 angiotensin II receptor AGTR1 Antibody Europäischer Partner

ArtNr BOS-A01213
Hersteller Boster
Menge 0.1 mg
Kategorie
Format Liquid
Applikationen WB, IF, ELISA, IHC-P
Specific against Human (Homo sapiens), Mouse (Murine, Mus musculus), Rat (Rattus norvegicus)
Host Rabbit
Isotype IgG
Alias AT1,AG2S,AT1B,AT1R,AT1AR,AT1BR,AT2R1,HAT1R,AGTR1B,AGTR1A,AT2R1B,Type-1 angiotensin II receptor,AT1
Lieferbar
Manufacturer - Category
Primary Antibodies
Storage Conditions
AGTR1 antibody can be stored at 4°C for three months and -20°C, stable for up to one year. Avoid repeated freeze-thaw cycles. Antibodies should not be exposed to prolonged high temperatures.
Molecular Weight
41061 MW
Clonality
Polyclonal
Application Details
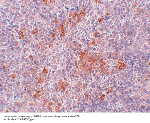
AGTR1 antibody can be used for detection of AGTR1 by Western blot at 1 - 2 μg/mL. Antibody can also be used for immunohistochemistry starting at 2.5 μg/mL. For immunofluorescence start at 20 μg/mL.
Antibody validated: Western Blot in mouse samples; Immunohistochemistry in mouse samples and Immunofluorescence in mouse samples. All other applications and species not yet tested. Optimal dilutions for each application should be determined by the researcher.
Gene Name
AGTR1
Gene Full Name
Angiotensin II receptor, type 1
Background
Angiotensin II is a potent vasopressor hormone and a primary regulator of aldosterone secretion that acts through at least two types of receptors, AGTR1 and AGTR2. It is an important effector controlling blood pressure and volume in the cardiovascular system and plays a major role in the development of the mammalian kidney and urinary tract. AGTR1, the type 1 receptor, is thought to mediate the major cardiovascular effects of angiotensin II and may play a role in the generation of reperfusion arrhythmias following restoration of blood flow to ischemic or infarcted myocardium. AGTR1 has recently been found to regulate the differentiation of bone marrow-derived monocyte lineage progenitors from hematopoietic stem cells, indicating the diversity of the roles of AGTR1.
Immunogen
AGTR1 antibody was raised against a 16 amino acid synthetic peptide from near the center of human AGTR1. The immunogen is located within amino acids 210 - 260 of AGTR1.
Contents
AGTR1 Antibody is supplied in PBS containing 0.02% sodium azide.
Purification
AGTR1 Antibody is affinity chromatography purified via peptide column.
Concentration
1 mg/mL
Manufacturer - Research Category
Signal Transduction
Protein Name
Angiotensin II receptor, type 1
Protein Function
Receptor for angiotensin II. Mediates its action by
association with G proteins that activate a phosphatidylinositol-
calcium second messenger system.
Subcellular Localization
Cell membrane; Multi-pass membrane protein.
Description
Boster Bio Anti-Type-1 angiotensin II receptor AGTR1 Antibody (Catalog # A01213). Tested in ELISA, WB, IHC-P, IF applications. This antibody reacts with Human, Mouse, Rat.
Tissue Specificity
Liver, lung, adrenal and adrenocortical
adenomas.
Predicted Reactivity
Pig, Guinea Pig, Rabbit, Sheep, Bovine, Chicken

Hinweis: Die dargestellten Informationen und Dokumente (Bedienungsanleitung, Produktdatenblatt, Sicherheitsdatenblatt und Analysezertifikat) entsprechen unserem letzten Update und sollten lediglich der Orientierung dienen. Wir übernehmen keine Garantie für die Aktualität. Für spezifische Anforderungen bitten wir Sie, uns eine Anfrage zu stellen.

Alle Produkte sind nur für Forschungszwecke bestimmt. Nicht für den menschlichen, tierärztlichen oder therapeutischen Gebrauch.

Menge: 0.1 mg
Lieferbar: In stock
lieferbar

Vergleichen

Auf den Wunschzettel

Angebot anfordern

Lieferzeit anfragen

Technische Frage stellen

Bulk-Anfrage stellen

Fragen zum Produkt?