Vergleich

Anti-FACL4/ACSL4 Antibody Picoband® Europäischer Partner

ArtNr BOS-A04372-3-Dylight594
Hersteller Boster
Menge 100 ug
Quantity options 100 ug/vial 10 ug 100 ug 100 ug 100 ug 100 ug 100 ug 100 ug 100 ug 100 ug 100 ug 100 ug
Kategorie
Typ Antibody
Format Lyophilized
Applikationen WB, ELISA
Specific against Human (Homo sapiens), Mouse (Murine, Mus musculus), Rat (Rattus norvegicus)
Host Rabbit
Isotype IgG
Konjugat/Tag DyLight 594
Sensitivity >5000 cells
Citations 1. Piccini M, Vitelli F, Bruttini M, Pober BR, Jonsson JJ, Villanova M, Zollo M, Borsani G, Ballabio A, Renieri A (Apr 1998). FACL4, a new gene encoding long-chain acyl-CoA synthetase 4, is deleted in a family with Alport syndrome, elliptocytosis, and mental retardation. Genomics. 47 (3): 350–8.
2. Verot L, Alloisio N, Morle L, Bozon M, Touraine R, Plauchu H, Edery P (Sep 2003). Localization of a non-syndromic X-linked mental retardation gene (MRX80) to Xq22-q24. Am J Med Genet A. 122A (1): 37–41.
3. Zong NC, Li H, Li H, Lam MP, Jimenez RC, Kim CS, Deng N, Kim AK, Choi JH, Zelaya I, Liem D, Meyer D, Odeberg J, Fang C, Lu HJ, Xu T, Weiss J, Duan H, Uhlen M, Yates JR, Apweiler R, Ge J, Hermjakob H, Ping P (Oct 2013). Integration of cardiac proteome biology and medicine by a specialized knowledgebase. Circulation Research. 113 (9): 1043–53.
ECLASS 10.1 32160702
ECLASS 11.0 32160702
UNSPSC 12352203
Alias Long-chain-fatty-acid--CoA ligase 4,Long-chain acyl-CoA synthetase 4,LACS 4,ACSL4,ACS4,FACL4,LACS4
Lieferbar
Manufacturer - Category
Primary Antibodies
Storage Conditions
At -20°C for one year from date of receipt. After reconstitution, at 4°C for one month. It can also be aliquotted and stored frozen at -20°C for six months. Avoid repeated freezing and thawing.
Observed Molecular weight
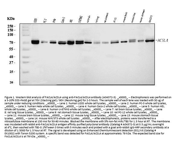
79 kDa
Clonality
Polyclonal
Application Details
Western blot, 0.25-0.5 μg/ml, Human, Mouse, Rat
ELISA, 0.1-0.5 μg/ml
Gene Name
ACSL4
Gene Full Name
acyl-CoA synthetase long chain family member 4
Background
Long-chain-fatty-acid—CoA ligase 4 is an enzyme that in humans is encoded by the ACSL4 gene. It is mapped to Xq23. The protein encoded by this gene is an isozyme of the long-chain fatty-acid-coenzyme A ligase family. Although differing in substrate specificity, subcellular localization, and tissue distribution, all isozymes of this family convert free long-chain fatty acids into fatty acyl-CoA esters, and thereby play a key role in lipid biosynthesis and fatty acid degradation. This isozyme preferentially utilizes arachidonate as substrate. The absence of this enzyme may contribute to the cognitive disability or Alport syndrome. Alternative splicing of this gene generates multiple transcript variants.
Immunogen
E.coli-derived human FACL4/ACSL4 recombinant protein (Position: A36-E237).
Contents
Each vial contains 4 mg Trehalose, 0.9 mg NaCl, 0.2 mg Na2HPO4.
Purification
Immunogen affinity purified.
Reconstitution
Adding 0.2 ml of distilled water will yield a concentration of 500 μg/ml.
Concentration
Adding 0.2 ml of distilled water will yield a concentration of 500 μg/ml.
Manufacturer - Research Category
Adaptive Immunity, B Cells, Hematopoietic Progenitors, Immunoglobulins, Immunology, Lymphoid, Receptors, Stem Cells
Protein Function
Catalyzes the conversion of long-chain fatty acids to their active form acyl-CoA for both synthesis of cellular lipids, and degradation via beta-oxidation (PubMed:24269233, PubMed:22633490, PubMed:21242590). Preferentially activates arachidonate and eicosapentaenoate as substrates (PubMed:21242590). Preferentially activates 8, 9-EET > 14, 15-EET > 5, 6-EET > 11, 12-EET. Modulates glucose-stimulated insulin secretion by regulating the levels of unesterified EETs (By similarity). Modulates prostaglandin E2 secretion (PubMed:21242590).
Subcellular Localization
Secreted.
Description
Boster Bio Anti-FACL4/ACSL4 Antibody Picoband® catalog # A04372-3. Tested in ELISA, WB applications. This antibody reacts with Human, Mouse, Rat. The brand Picoband indicates this is a premium antibody that guarantees superior quality, high affinity, and strong signals with minimal background in Western blot applications. Only our best-performing antibodies are designated as Picoband, ensuring unmatched performance.
Tissue Specificity
Expressed in the prostate gland and prostate cancers.
Manufacturer - Cross Reactivity
No cross-reactivity with other proteins.

Hinweis: Die dargestellten Informationen und Dokumente (Bedienungsanleitung, Produktdatenblatt, Sicherheitsdatenblatt und Analysezertifikat) entsprechen unserem letzten Update und sollten lediglich der Orientierung dienen. Wir übernehmen keine Garantie für die Aktualität. Für spezifische Anforderungen bitten wir Sie, uns eine Anfrage zu stellen.

Alle Produkte sind nur für Forschungszwecke bestimmt. Nicht für den menschlichen, tierärztlichen oder therapeutischen Gebrauch.

Menge: 100 ug
Lieferbar: In stock
lieferbar

Vergleichen

Auf den Wunschzettel

Angebot anfordern

Lieferzeit anfragen

Technische Frage stellen

Bulk-Anfrage stellen

Fragen zum Produkt?