Vergleich

Anti-Macrosialin CD68 Monoclonal Antibody Europäischer Partner

ArtNr BOS-M00602-2
Hersteller Boster
Menge 100 ul
Kategorie
Typ Antibody Monoclonal
Format Liquid
Applikationen IF, IHC
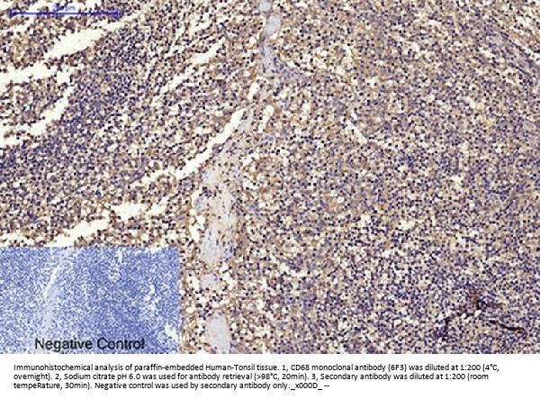
Clon 6F3
Specific against Human (Homo sapiens), Mouse (Murine, Mus musculus), Rat (Rattus norvegicus)
Host Mouse
Isotype IgG
ECLASS 10.1 42030590
ECLASS 11.0 42030590
UNSPSC 12352203
Alias Macrosialin,Gp110,CD68,CD68
Lieferbar
Manufacturer - Category
Primary Antibodies
Storage Conditions
Store at -20°C for one year. For short term storage and frequent use, store at 4°C for up to one month. Avoid repeated freeze-thaw cycles.
Molecular Weight
37408 MW
Clonality
Monoclonal
Application Details
IHC 1:200-400
IF 1:50-200
Gene Name
CD68
Gene Full Name
Macrosialin
Background
CD68, cluster of differentiation, is a 110-kD transmembrane glycoprotein that is highly expressed by human monocytes and tissue macrophages. CD68 is a member of a family of hematopoietic mucin-like molecules that includes leukosialin/CD43 and stem cell antigen CD34. The CD68 gene is mapped to 17p13.1. Immunohistochemistry can be used to identify the presence of CD68, which is found in the cytoplasmic granules of a range of different blood cells. It is particularly useful as a marker for the various cells of the macrophage lineage, including monocytes, histiocytes, giant cells, Kupffer cells, and osteoclasts. This allows it to be used to distinguish diseases of otherwise similar appearance, such as the monocyte/macrophage and lymphoid forms of leukaemia (the latter being CD68 negative). Its presence in macrophages also makes it useful in diagnosing conditions related to proliferation or abnormality of these cells, such as malignant histiocytosis, histiocytic lymphoma, and Gaucher's disease.
Immunogen
Synthetic Peptide of CD68
Contents
PBS, pH 7.4, containing 0.5% BSA, 0.02% sodium azide and 50% Glycerol.
Purification
The antibody was affinity-purified from mouse ascites by affinity-chromatography using a specific immunogen.
Concentration
1 mg/ml
Protein Name
Macrosialin
Protein Function
Could play a role in phagocytic activities of tissue
macrophages, both in intracellular lysosomal metabolism and
extracellular cell-cell and cell-pathogen interactions. Binds to
tissue- and organ-specific lectins or selectins, allowing homing
of macrophage subsets to particular sites. Rapid recirculation of
CD68 from endosomes and lysosomes to the plasma membrane may allow
macrophages to crawl over selectin-bearing substrates or other
cells.
Subcellular Localization
Isoform Short: Cell membrane; Single-pass
type I membrane protein.
Description
Boster Bio Anti-Macrosialin CD68 Monoclonal Antibody catalog # M00602-2. Tested in IHC, IF applications. This antibody reacts with Human, Mouse, Rat.
Tissue Specificity
Highly expressed by blood monocytes and tissue
macrophages. Also expressed in lymphocytes, fibroblasts and
endothelial cells. Expressed in many tumor cell lines which could
allow them to attach to selectins on vascular endothelium,
facilitating their dissemination to secondary sites.
Short Description
Boster Bio Anti-Macrosialin CD68 Monoclonal Antibody catalog # M00602-2. Tested in IF, IHC-P applications. This antibody reacts with Human, Mouse, Rat.

Hinweis: Die dargestellten Informationen und Dokumente (Bedienungsanleitung, Produktdatenblatt, Sicherheitsdatenblatt und Analysezertifikat) entsprechen unserem letzten Update und sollten lediglich der Orientierung dienen. Wir übernehmen keine Garantie für die Aktualität. Für spezifische Anforderungen bitten wir Sie, uns eine Anfrage zu stellen.

Alle Produkte sind nur für Forschungszwecke bestimmt. Nicht für den menschlichen, tierärztlichen oder therapeutischen Gebrauch.

Menge: 100 ul
Lieferbar: In stock
lieferbar

Vergleichen

Auf den Wunschzettel

Angebot anfordern

Lieferzeit anfragen

Technische Frage stellen

Bulk-Anfrage stellen

Fragen zum Produkt?