Vergleich

Anti-HSD17B10 Antibody (Center) Europäischer Partner

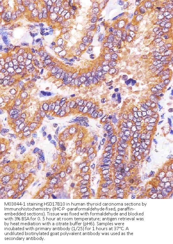
ArtNr BOS-M03844-1-200ul
Hersteller Boster
Menge 200 ul
Quantity options 200 ul 50 ul
Kategorie
Applikationen WB, FC, IF, IHC-P
Specific against Human (Homo sapiens), Mouse (Murine, Mus musculus), Rat (Rattus norvegicus)
Host Rabbit
Isotype IgG
Alias 3-hydroxyacyl-CoA dehydrogenase type-2,1.1.1.35,17-beta-hydroxysteroid dehydrogenase 10,17-beta-HSD 10,1.1.1.51,3-hydroxy-2-methylbutyryl-CoA dehydrogenase,1.1.1.178,3-hydroxyacyl-CoA dehydrogenase type II,Endoplasmic reticulum-associated amyloid beta-peptide-binding protein,Mitochondrial ribonuclease P protein 2,Mitochondrial RNase P protein 2,Short-chain type dehydrogenase/reductase XH98G2,Type II HADH,HSD17B10,ERAB,HADH2,MRPP2,SCHAD,XH98G2
Lieferbar
Manufacturer - Category
Primary Antibodies
Storage Conditions
Maintain refrigerated at 2-8°C for up to 2 weeks. For long-term storage, store at -20°C in small aliquots to prevent freeze-thaw cycles.
Molecular Weight
26923 Da
Clonality
Polyclonal
Application Details
IF: 1:25
WB: 1:2000
IHC-P: 1:25
FC: 1:25
Gene Name
HSD17B10
Background
Functions in mitochondrial tRNA maturation. Part of mitochondrial ribonuclease P, an enzyme composed of MRPP1/TRMT10C, MRPP2/HSD17B10 and MRPP3/KIAA0391, which cleaves tRNA molecules in their 5'-ends. Catalyzes the beta-oxidation at position 17 of androgens and estrogens and has 3-alpha-hydroxysteroid dehydrogenase activity with androsterone. Catalyzes the third step in the beta-oxidation of fatty acids. Carries out oxidative conversions of 7-alpha-OH and 7-beta-OH bile acids. Also exhibits 20-beta-OH and 21-OH dehydrogenase activities with C21 steroids. By interacting with intracellular amyloid-beta, it may contribute to the neuronal dysfunction associated with Alzheimer disease (AD).
Immunogen
This HSD17B10 antibody is generated from a rabbit immunized with a KLH conjugated synthetic peptide between 140-172 amino acids from the Central region of human HSD17B10.
Contents
Purified polyclonal antibody supplied in PBS with 0.09% (W/V) sodium azide.
Purification
This antibody is purified through a protein A column, followed by peptide affinity purification.
Manufacturer - Research Category
Metabolism, Neuroscience, Mitochondria
Protein Function
Mitochondrial dehydrogenase involved in pathways of fatty acid, branched-chain amino acid and steroid metabolism (PubMed:9553139, PubMed:10600649, PubMed:12917011, PubMed:20077426, PubMed:18996107, PubMed:19706438, PubMed:25925575, PubMed:26950678, PubMed:28888424). Acts as (S)-3-hydroxyacyl-CoA dehydrogenase in mitochondrial fatty acid beta-oxidation, a major degradation pathway of fatty acids. Catalyzes the third step in the beta-oxidation cycle, namely the reversible conversion of (S)-3-hydroxyacyl-CoA to 3-ketoacyl-CoA. Preferentially accepts straight medium- and short-chain acyl-CoA substrates with highest efficiency for (3S)-hydroxybutanoyl-CoA (PubMed:9553139, PubMed:10600649, PubMed:12917011, PubMed:25925575, PubMed:26950678). Acts as 3-hydroxy-2-methylbutyryl-CoA dehydrogenase in branched-chain amino acid catabolic pathway. Catalyzes the oxidation of 3-hydroxy-2- methylbutanoyl-CoA into 2-methyl-3-oxobutanoyl-CoA, a step in isoleucine degradation pathway (PubMed:20077426, PubMed:18996107, PubMed:19706438). Has hydroxysteroid dehydrogenase activity toward steroid hormones and bile acids. Catalyzes the oxidation of 3alpha-, 17beta-, 20beta- and 21-hydroxysteroids and 7alpha- and 7beta-hydroxy bile acids (PubMed:10600649, PubMed:12917011). Oxidizes allopregnanolone/brexanolone at the 3alpha-hydroxyl group, which is known to be critical for the activation of gamma-aminobutyric acid receptors (GABAARs) chloride channel (PubMed:19706438, PubMed:28888424). Has phospholipase C-like activity toward cardiolipin and its oxidized species. Likely oxidizes the 2'-hydroxyl in the head group of cardiolipin to form a ketone intermediate that undergoes nucleophilic attack by water and fragments into diacylglycerol, dihydroxyacetone and orthophosphate. Has higher affinity for cardiolipin with oxidized fatty acids and may degrade these species during the oxidative stress response to protect cells from apoptosis (PubMed:26338420). By interacting with intracellular amyloid-beta, it may contribute to the neuronal dysfunction associated with Alzheimer disease (AD) (PubMed:9338779). Essential for structural and functional integrity of mitochondria (PubMed:20077426).
Subcellular Localization
Mitochondrion. Mitochondrion matrix, mitochondrion nucleoid
Description
Boster Bio Anti-HSD17B10 Antibody (Center) (Catalog # M03844-1). Tested in WB, Flow Cytometry, IHC-P, IF application(s). This antibody reacts with Human, Mouse, Rat.
Tissue Specificity
Ubiquitously expressed in normal tissues but is overexpressed in neurons affected in AD.
Predicted Reactivity
Bovine
Manufacturer - Alias
3-hydroxyacyl-CoA dehydrogenase type-2, 1.1.1.35, 17-beta-hydroxysteroid dehydrogenase 10, 17-beta-HSD 10, 1.1.1.51, 3-hydroxy-2-methylbutyryl-CoA dehydrogenase, 1.1.1.178, 3-hydroxyacyl-CoA dehydrogenase type II, Endoplasmic reticulum-associated amyloid beta-peptide-binding protein, Mitochondrial ribonuclease P protein 2, Mitochondrial RNase P protein 2, Short-chain type dehydrogenase/reductase XH98G2, Type II HADH, HSD17B10, ERAB, HADH2, MRPP2, SCHAD, XH98G2

Hinweis: Die dargestellten Informationen und Dokumente (Bedienungsanleitung, Produktdatenblatt, Sicherheitsdatenblatt und Analysezertifikat) entsprechen unserem letzten Update und sollten lediglich der Orientierung dienen. Wir übernehmen keine Garantie für die Aktualität. Für spezifische Anforderungen bitten wir Sie, uns eine Anfrage zu stellen.

Alle Produkte sind nur für Forschungszwecke bestimmt. Nicht für den menschlichen, tierärztlichen oder therapeutischen Gebrauch.

Menge: 200 ul
Lieferbar: In stock
lieferbar

Lieferung vsl. bis 20.01.2026 

Vergleichen

Auf den Wunschzettel

Angebot anfordern

Lieferzeit anfragen

Technische Frage stellen

Bulk-Anfrage stellen

Fragen zum Produkt?