Vergleich

Anti-beta II tubulin TUBB2A Monoclonal Antibody Europäischer Partner

ArtNr BOS-M06868
Hersteller Boster
Menge 100 ul
Quantity options 100 ul 100 ul
Kategorie
Typ Antibody Monoclonal
Format Liquid
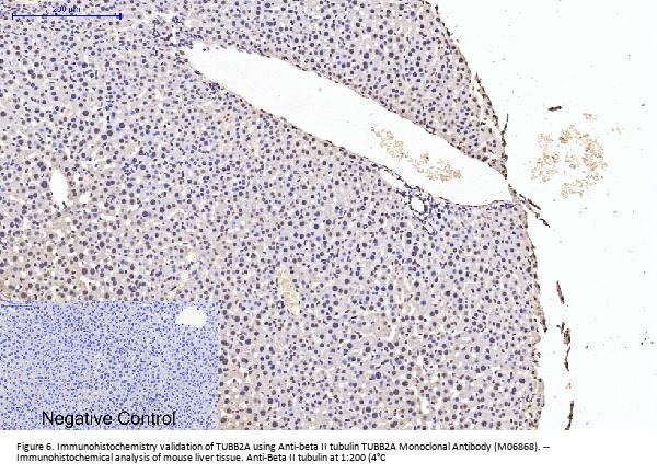
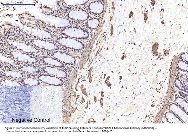
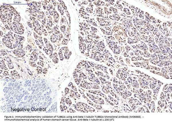
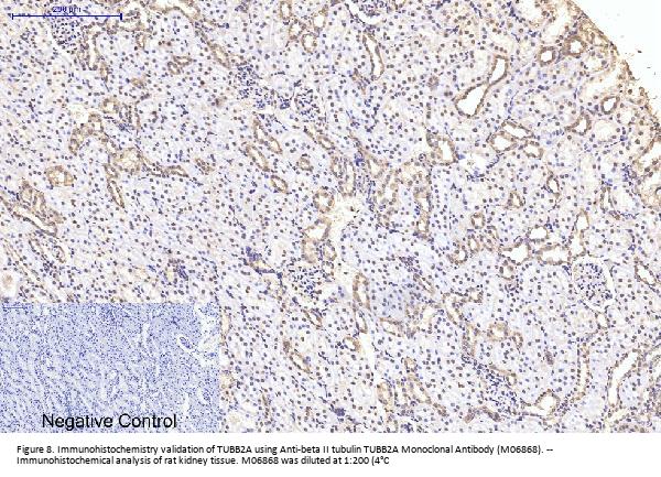
Applikationen WB, IF, IP, IHC
Clon Mix
Specific against Human (Homo sapiens), Mouse (Murine, Mus musculus), Rat (Rattus norvegicus)
Host Mouse
Isotype IgG
ECLASS 10.1 42030590
ECLASS 11.0 42030590
UNSPSC 12352203
Alias Tubulin beta-2A chain,Tubulin beta class IIa,TUBB2A,TUBB2
Lieferbar
Manufacturer - Category
Primary Antibodies
Storage Conditions
Store at -20°C for one year. For short term storage and frequent use, store at 4°C for up to one month. Avoid repeated freeze-thaw cycles.
Molecular Weight
49907 MW
Clonality
Monoclonal
Application Details
WB 1:50000-100000
IP 1:200
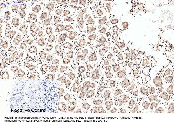
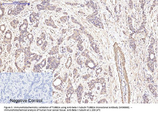
IHC 1:50-300
IF 1:50-200
Gene Name
TUBB2A
Gene Full Name
Tubulin beta-2A chain
Immunogen
Synthetic Peptide of β II tubulin
Contents
Liquid in PBS containing 50% glycerol, 0.5% BSA and 0.02% sodium azide.
Purification
The antibody was affinity-purified from mouse ascites by affinity-chromatography using specific immunogen.
Concentration
1 mg/ml
Protein Name
Tubulin beta-2A chain
Protein Function
Tubulin is the major constituent of microtubules. It
binds two moles of GTP, one at an exchangeable site on the beta
chain and one at a non-exchangeable site on the alpha chain (By
similarity).
Subcellular Localization
Cytoplasm, cytoskeleton.
Description
Boster Bio Anti-beta II tubulin TUBB2A Monoclonal Antibody catalog # M06868. Tested in WB, IHC, IF, IP applications. This antibody reacts with Human, Mouse, Rat.
Tissue Specificity
High expression in brain, where it represents
30% of all beta-tubulins.
Short Description
Boster Bio Anti-beta II tubulin TUBB2A Monoclonal Antibody catalog # M06868. Tested in IP, WB applications. This antibody reacts with Human, Mouse, Rat.

Hinweis: Die dargestellten Informationen und Dokumente (Bedienungsanleitung, Produktdatenblatt, Sicherheitsdatenblatt und Analysezertifikat) entsprechen unserem letzten Update und sollten lediglich der Orientierung dienen. Wir übernehmen keine Garantie für die Aktualität. Für spezifische Anforderungen bitten wir Sie, uns eine Anfrage zu stellen.

Alle Produkte sind nur für Forschungszwecke bestimmt. Nicht für den menschlichen, tierärztlichen oder therapeutischen Gebrauch.

Menge: 100 ul
Lieferbar: In stock
lieferbar

Vergleichen

Auf den Wunschzettel

Angebot anfordern

Lieferzeit anfragen

Technische Frage stellen

Bulk-Anfrage stellen

Fragen zum Produkt?