Vergleich

Anti-NEFH Antibody (Monoclonal, N52) Europäischer Partner

ArtNr BOS-MA1071-10ug
Hersteller Boster
Menge 10 ug
Quantity options 100 ug/vial 10 ug
Kategorie
Typ Antibody Monoclonal
Format Lyophilized
Applikationen WB, IHC
Clon N52
Specific against Human (Homo sapiens), Mouse (Murine, Mus musculus), Rat (Rattus norvegicus)
Host Mouse
Isotype IgG1
Sensitivity <10 pg/ml
Citations 1. Lees, J. F.; Shneidman, P. S.; Skuntz, S. F.; Carden, M. J.; Lazzarini, R. A. : The structure and organization of the human heavy neurofilament subunit (NF-H) and the gene encoding it. EMBO J. 7: 1947-1955, 1988.
2. Brownlees, J.; Ackerley, S.; Grierson, A. J.; Jacobsen, N. J. O.; Shea, K.; Anderton, B. H.; Leigh, P. N.; Shaw, C. E.; Miller, C. C. J. : Charcot-Marie-Tooth disease neurofilament mutations disrupt neurofilament assembly and axonal transport. Hum. Molec. Genet. 11: 2837-2844, 2002.
ECLASS 10.1 42030590
ECLASS 11.0 42030590
UNSPSC 12352203
Alias Neurofilament heavy polypeptide,NF-H,200 kDa neurofilament protein,Neurofilament triplet H protein,Nefh,Nfh
Lieferbar
Manufacturer - Category
Primary Antibodies, Mouse Monoclonal Antibodies
Manufacturer - Isotype
Mouse IgG1
Storage Conditions
Store at -20°C for one year from date of receipt. After reconstitution, at 4°C for one month. It can also be aliquotted and stored frozen at -20°C for six months. Avoid repeated freeze-thaw cycles.
Molecular Weight
200 kDa
Calculated Molecular weight
115378 MW
Clonality
Monoclonal
Application Details
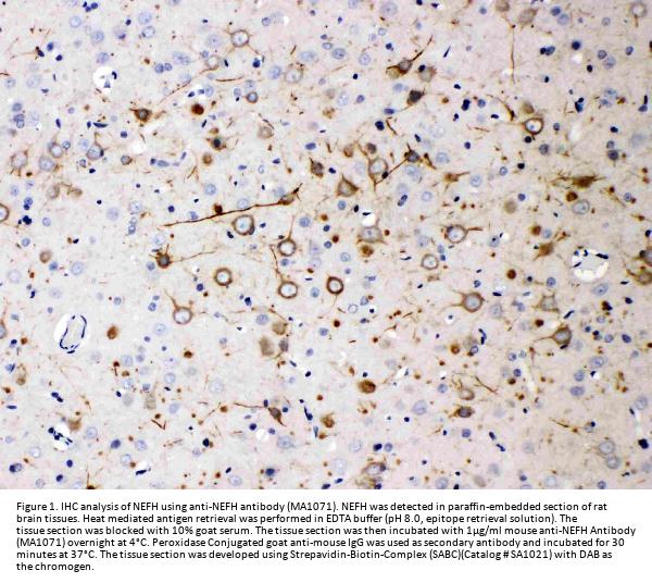
Immunohistochemistry (Paraffin-embedded Section), 1-2μg/ml, Human, mouse, rat
Immunohistochemistry (Frozen Section), 1-2μg/ml, Human, mouse, rat, -
Western blot, 0.5ml, Human, mouse, rat
Gene Name
NEFH
Gene Full Name
Neurofilament heavy polypeptide
Manufacturer - Specificity
No cross reactivity with other proteins.
Background
Neurofilaments are composed of 3 neuron-specific proteins with apparent molecular masses of 68 kD (NFL), 125 kD (NFM), and 200 kD (NFH) on SDS-gel electrophoresis. Genomic clones for the largest human neurofilament protein (NF-H) were isolated, the intron/exon boundaries mapped and the entire protein-coding regions (exons) sequenced. mutations in neurofilaments have been linked to some forms of Charcot-Marie-Tooth disease (CMT).
Immunogen
C-terminal segment of enzymatically dephosphorylated pig Neurofilament 200.
Contents
Mouse ascites fluid, 1.2% sodium acetate, 2mg BSA, with 0.01mg NaN3 as preservative.
Purification
Ascites
Reconstitution
Add 1 ml of PBS buffer will yield a concentration of 100ug/ml.
Concentration
Adding 1 ml of PBS buffer will yield a concentration of 100 μg/ml.
Manufacturer - Research Category
Alzheimer's Disease, Cell Adhesion Proteins, Cell Type Marker, Cytoskeleton, Cytoskeleton/ECM, Intermediate Filaments, Neurodegenerative Disease, Neurology Process, Neuron Marker, Neuroscience, Signal Transduction
Protein Name
Neurofilament heavy polypeptide
Protein Function
Neurofilaments usually contain three intermediate filament proteins: L, M, and H which are involved in the maintenance of neuronal caliber. NF-H has an important function in mature axons that is not subserved by the two smaller NF proteins.
Subcellular Localization
Cytoplasm, myofibril, sarcomere. Cytoplasm, cytoskeleton.
Description
Boster Bio Anti-NEFH Antibody (Monoclonal, N52) catalog # MA1071. Tested in IHC, WB applications. This antibody reacts with Human, Mouse, Rat.
Tissue Specificity
Muscle specific. Located in the thin filament of striated muscle.
Sequence Similarities
Belongs to the intermediate filament family.

Hinweis: Die dargestellten Informationen und Dokumente (Bedienungsanleitung, Produktdatenblatt, Sicherheitsdatenblatt und Analysezertifikat) entsprechen unserem letzten Update und sollten lediglich der Orientierung dienen. Wir übernehmen keine Garantie für die Aktualität. Für spezifische Anforderungen bitten wir Sie, uns eine Anfrage zu stellen.

Alle Produkte sind nur für Forschungszwecke bestimmt. Nicht für den menschlichen, tierärztlichen oder therapeutischen Gebrauch.

Menge: 10 ug
Lieferbar: In stock
lieferbar

Vergleichen

Auf den Wunschzettel

Angebot anfordern

Lieferzeit anfragen

Technische Frage stellen

Bulk-Anfrage stellen

Fragen zum Produkt?