Vergleich

Anti-Hsc70/HSPA8 Antibody Picoband® Europäischer Partner

ArtNr BOS-PB9641-FITC
Hersteller Boster
Menge 100 ug
Quantity options 100 ug/vial 10 ug 100 ug 100 ug 100 ug 100 ug 100 ug 100 ug 100 ug 100 ug 100 ug 100 ug 100 ug
Kategorie
Typ Antibody Polyclonal
Format Lyophilized
Applikationen WB, FC, IF, IP, IHC, ICC
Specific against Human (Homo sapiens), Mouse (Murine, Mus musculus), Rat (Rattus norvegicus)
Host Rabbit
Isotype IgG
Konjugat/Tag FITC
Sensitivity >5000 cells
Sequence Contains 1 HMG box DNA-binding domain.
Citations 1. Chappell, T. G., Welch, W. J., Schlossman, D. M., Palter, K. B., Schlesinger, M. J., Rothman, J. E. Uncoating ATPase is a member of the 70 kilodalton family of stress proteins. Cell 45: 3-13, 1986.
2. Hohfeld, J., Minami, Y., Hartl, F.-U. Hip, a novel cochaperone involved in the eukaryotic Hsc70/Hsp40 reaction cycle. Cell 83: 589-598, 1995.
3. Matsui, H., Asou, H., Inaba, T. Cytokines the regulation of Bim mRNA stability by heat-shock cognate protein 70. Molec. Cell 25: 99-112, 2007.
ECLASS 10.1 32160702
ECLASS 11.0 32160702
UNSPSC 12352203
Alias Heat shock cognate 71 kDa protein,Heat shock 70 kDa protein 8,Lipopolysaccharide-associated protein 1,LAP-1,LPS-associated protein 1,HSPA8,HSC70,HSP73,HSPA10
Lieferbar
Manufacturer - Category
Primary Antibodies
Storage Conditions
Store at -20°C for one year from date of receipt. After reconstitution, at 4°C for one month. It can also be aliquotted and stored frozen at -20°C for six months. Avoid repeated freeze-thaw cycles.
Observed Molecular weight
71 kDa
Calculated Molecular weight
70898 MW
Clonality
Polyclonal
Application Details
Western blot, 0.1-0.5μg/ml, Human, Mouse, Rat
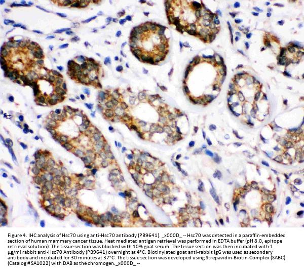
Immunohistochemistry (Paraffin-embedded Section), 0.5-1μg/ml, Human, Mouse, Rat
Immunocytochemistry/Immunofluorescence, 2μg/ml, Human
Immunoprecipitation, 0.5-2 μg/ml, Human
Flow Cytometry (Fixed), 1-3μg/1x106 cells, Human
Gene Name
HSPA8
Gene Full Name
Heat shock cognate 71 kDa protein
Manufacturer - Specificity
No cross reactivity with other proteins.
Background
HSPA8 (heat shock 70kDa protein 8) also known as HSC70, HSC71, HSP73, HSPA10, FORMERLY, LAP1 or LPS-ASSOCIATED PROTEIN 1, is a heat shock protein that in humans is encoded by the HSPA8 gene. The HSPA8 gene contains 9 exons and spans 5 kb. The deduced HSPA8 protein has 646 amino acids and a predicted molecular mass of 70, 899 Da. And the HSPA8 gene is mapped on 11q24.1. HSPA8 plays an important role in cells by transiently associating with nascent polypeptides to facilitate correct folding. HSP73 also functions as an ATPase in the disassembly of clathrin-coated vesicles during transport of membrane components through the cell. Rapid decay involves AU-rich binding protein AUF1, which complexes with heat-shock proteins HSC70 and HSP70, translation initiation factor EIF4G, and poly (A)-binding protein. In the absence of Il3, Hsc70 formed a complex with Hsp40 and Hip, and this complex, in association with Eif4g and Pabp, formed a high-stability complex with Bim mRNA that protected it from ribonucleases.
Immunogen
E.coli-derived human Hsc70 recombinant protein (Position: Q520-A614). Human Hsc70 shares 98.9% amino acid (aa) sequence identity with both mouse and rat Hsc70.
Contents
Each vial contains 5mg BSA, 0.9mg NaCl, 0.2mg Na2HPO4, 0.05mg NaN3.
Purification
Immunogen affinity purified.
Reconstitution
Add 0.2ml of distilled water will yield a concentration of 500ug/ml.
Concentration
Adding 0.2 ml of distilled water will yield a concentration of 500 μg/ml.
Manufacturer - Research Category
Heat Shock Proteins, Protein Trafficking, Signal Transduction
Protein Name
Heat shock cognate 71 kDa protein
Protein Function
Acts as a repressor of transcriptional activation. Inhibits the transcriptional coactivator activity of CITED1 on Smad-mediated transcription. Chaperone. Component of the PRP19- CDC5L complex that forms an integral part of the spliceosome and is required for activating pre-mRNA splicing. May have a scaffolding role in the spliceosome assembly as it contacts all other components of the core complex. Binds bacterial lipopolysaccharide (LPS) et mediates LPS-induced inflammatory response, including TNF secretion by monocytes. Participates in the ER-associated degradation (ERAD) quality control pathway in conjunction with J domain-containing co-chaperones and the E3 ligase CHIP.
Subcellular Localization
Cytoplasm. Melanosome. Nucleus, nucleolus. Cell membrane. Localized in cytoplasmic mRNP granules containing untranslated mRNAs. Translocates rapidly from the cytoplasm to the nuclei, and especially to the nucleoli, upon heat shock.
Description
Boster Bio Anti-Hsc70/HSPA8 Antibody Picoband® catalog # PB9641. Tested in Flow Cytometry, IP, IF, IHC, ICC, WB applications. This antibody reacts with Human, Mouse, Rat. The brand Picoband indicates this is a premium antibody that guarantees superior quality, high affinity, and strong signals with minimal background in Western blot applications. Only our best-performing antibodies are designated as Picoband, ensuring unmatched performance.
Tissue Specificity
Ubiquitous.
Sequence Similarities
Contains 1 HMG box DNA-binding domain.
Manufacturer - Cross Reactivity
No cross-reactivity with other proteins

Hinweis: Die dargestellten Informationen und Dokumente (Bedienungsanleitung, Produktdatenblatt, Sicherheitsdatenblatt und Analysezertifikat) entsprechen unserem letzten Update und sollten lediglich der Orientierung dienen. Wir übernehmen keine Garantie für die Aktualität. Für spezifische Anforderungen bitten wir Sie, uns eine Anfrage zu stellen.

Alle Produkte sind nur für Forschungszwecke bestimmt. Nicht für den menschlichen, tierärztlichen oder therapeutischen Gebrauch.

Menge: 100 ug
Lieferbar: In stock
lieferbar

Vergleichen

Auf den Wunschzettel

Angebot anfordern

Lieferzeit anfragen

Technische Frage stellen

Bulk-Anfrage stellen

Fragen zum Produkt?