Vergleich

Anti-Calbindin-D Calb1 Antibody (Monoclonal, CB-955) Europäischer Partner

ArtNr BOS-MA1007
Hersteller Boster
Menge 100 ug/vial
Quantity options 100 ug/vial 10 ug
Kategorie
Typ Antibody Monoclonal
Format Lyophilized
Applikationen WB, IF, IHC
Clon CB-955
Specific against Human (Homo sapiens), Mouse (Murine, Mus musculus), Rat (Rattus norvegicus), Cattle (Bovine)
Host Mouse
Isotype IgG1
Sensitivity >5000 cells
Sequence Belongs to the calbindin family.
Citations 1. Parmentier, M.; Passage, E.; Vassart, G.; Mattei, M.-G. : The human calbindin D28k (CALB1) and calretinin (CALB2) genes are located at 8q21.3-q22.1 and 16q22-q23, respectively, suggesting a common duplication with the carbonic anhydrase isozyme loci. Cytogenet. Cell Genet. 57: 41-43, 1991.
ECLASS 10.1 42030590
ECLASS 11.0 42030590
UNSPSC 12352203
Alias Calbindin,Calbindin D28,D-28K,Spot 35 protein,Vitamin D-dependent calcium-binding protein,avian-type,Calb1
Similar products CALB, D-28K, CALBINDIN, 28-KD, Calbindin D28, Vitamin D-dependent calcium-binding protein, avian-type
Lieferbar
Manufacturer - Category
Primary Antibodies
Storage Conditions
Store at -20°C for one year from date of receipt. After reconstitution, at 4°C for one month. It can also be aliquotted and stored frozen at -20°C for six months. Avoid repeated freeze-thaw cycles.
Observed Molecular weight
28 kDa
Calculated Molecular weight
29994 MW
Clonality
Monoclonal
Application Details
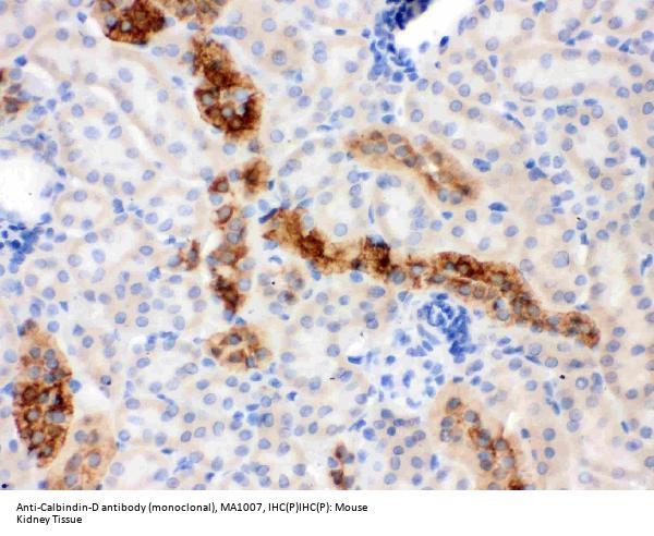
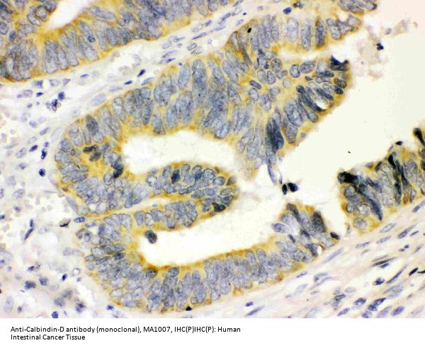
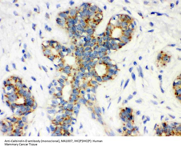
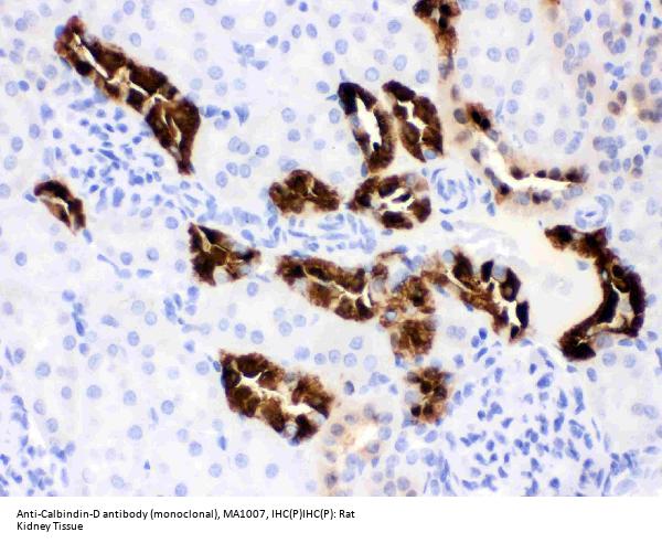
Immunohistochemistry (Paraffin-embedded Section), 1-2μg/ml, Human, bovine, mouse, rat
Western blot, 0.5-1μg/ml, Human, bovine, mouse, rat
Immunofluorescence, 2μg/ml, Mouse
Gene Name
CALB1
Gene Full Name
Calbindin
Manufacturer - Specificity
No cross reactivity with other proteins.
Background
The human calbindin D28k (CALB1) is a calcium-binding protein belonging to the troponin C superfamily. It was originally described as a 27-kD protein induced by vitamin D in the duodenum of the chick. Parmentier et al. (1991) mapped the CALB1 gene to 8q21.3-q22.1 by in situ hybridization.
Immunogen
Bovine kidney calbindin-D
Contents
Mouse ascites fluid, 1.2% sodium acetate, 2mg BSA, with 0.01mg NaN3 as preservative.
Purification
Ascites
Reconstitution
Add 1ml of PBS buffer will yield a concentration of 100ug/ml.
Concentration
Adding 1 ml of PBS buffer will yield a concentration of 100 μg/ml.
Manufacturer - Research Category
Calcium Binding Proteins, Calcium Signaling, Cell Type Marker, Neuron Marker, Neuroscience, Neurotransmission
Protein Name
Calbindin
Protein Function
Buffers cytosolic calcium. May stimulate a membrane Ca (2+)-ATPase and a 3', 5'-cyclic nucleotide phosphodiesterase.
Description
Boster Bio Anti-Calbindin-D Calb1 Antibody (Monoclonal, CB-955) catalog # MA1007. Tested in IF, IHC, WB applications. This antibody reacts with Bovine, Human, Mouse, Rat.
Sequence Similarities
Belongs to the calbindin family.
Manufacturer - Cross Reactivity
No cross-reactivity with other proteins

Hinweis: Die dargestellten Informationen und Dokumente (Bedienungsanleitung, Produktdatenblatt, Sicherheitsdatenblatt und Analysezertifikat) entsprechen unserem letzten Update und sollten lediglich der Orientierung dienen. Wir übernehmen keine Garantie für die Aktualität. Für spezifische Anforderungen bitten wir Sie, uns eine Anfrage zu stellen.

Alle Produkte sind nur für Forschungszwecke bestimmt. Nicht für den menschlichen, tierärztlichen oder therapeutischen Gebrauch.

Menge: 100 ug/vial
Lieferbar: In stock
lieferbar

Vergleichen

Auf den Wunschzettel

Angebot anfordern

Lieferzeit anfragen

Technische Frage stellen

Bulk-Anfrage stellen

Fragen zum Produkt?