Vergleich

Anti-EpCAM Antibody Picoband® Europäischer Partner

ArtNr BOS-PB10059
Hersteller Boster
Menge 100 ug/vial
Quantity options 100 ug/vial 10 ug 100 ug 100 ug 100 ug 100 ug 100 ug 100 ug 100 ug 100 ug 100 ug 100 ug 100 ug
Kategorie
Typ Antibody Polyclonal
Format Lyophilized
Applikationen WB, FC, IF, IHC, ELISA
Specific against Human (Homo sapiens)
Host Rabbit
Isotype IgG
Sensitivity >5000 cells
Citations 1. Litvinov, Sergey; et al. (1994). Ep-CAM: a human epithelial antigen is a homophilic cell–cell adhesion molecule. The Journal of Cell Biology 125 (2): 437–46.
2. Maetzel, Dorothea; et al. (2009). Nuclear signalling by tumour-associated antigen EpCAM. Nature Cell Biology 11 (2): 162–71.
ECLASS 10.1 32160702
ECLASS 11.0 32160702
UNSPSC 12352203
Alias Epithelial cell adhesion molecule,Ep-CAM,Adenocarcinoma-associated antigen,Cell surface glycoprotein Trop-1,Epithelial cell surface antigen,Epithelial glycoprotein,EGP,Epithelial glycoprotein 314,EGP314,hEGP314,KS 1/4 antigen,KSA,Major gastrointestinal tumor-associated protein GA733-2,Tumor-associated calcium signal transducer 1,CD326,EPCAM,GA733-2,M1S2,M4S1,MIC18,TACSTD1,TROP1
Lieferbar
Manufacturer - Category
Primary Antibodies
Storage Conditions
Store at -20°C for one year from date of receipt. After reconstitution, at 4°C for one month. It can also be aliquotted and stored frozen at -20°C for six months. Avoid repeated freeze-thaw cycles.
Observed Molecular weight
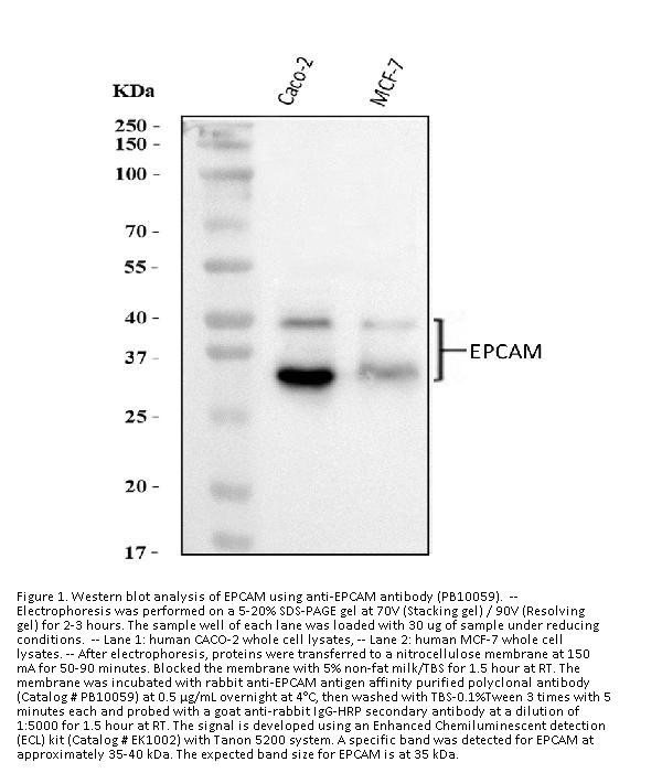
35-40 kDa
Calculated Molecular weight
34932 MW
Clonality
Polyclonal
Application Details
Western blot, 0.1-0.5μg/ml
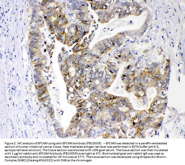
Immunohistochemistry (Paraffin-embedded Section), 2-5μg/ml
Immunofluorescence, 5μg/ml
Flow Cytometry (Fixed), 1-3μg/1x106cells
ELISA, 0.1-0.5μg/ml
Gene Name
EPCAM
Gene Full Name
Epithelial cell adhesion molecule
Manufacturer - Specificity
No cross reactivity with other proteins.
Background
Epithelial cell adhesion molecule (EpCAM) is a transmembrane glycoprotein mediating Ca2+-independent homotypic cell–cell adhesion in epithelia. This gene encodes a carcinoma-associated antigen and is a member of a family that includes at least two type I membrane proteins. This antigen is expressed on most normal epithelial cells and gastrointestinal carcinomas and functions as a homotypic calcium-independent cell adhesion molecule. The antigen is being used as a target for immunotherapy treatment of human carcinomas. Mutations in this gene result in congenital tufting enteropathy.
Immunogen
A synthetic peptide corresponding to a sequence in the middle region of human EPCAM, different from the related mouse sequence by fifteen amino acids, and from the related rat sequence by sixteen amino acids.
Contents
Each vial contains 4 mg Trehalose, 0.9 mg NaCl and 0.2 mg Na2HPO4.
Purification
Immunogen affinity purified.
Reconstitution
Add 0.2ml of distilled water will yield a concentration of 500ug/ml.
Concentration
Adding 0.2 ml of distilled water will yield a concentration of 500 μg/ml.
Manufacturer - Research Category
Cell Type Markers, Tags & Cell Markers, Tumor Associated
Protein Name
Epithelial cell adhesion molecule
Protein Function
May act as a physical homophilic interaction molecule between intestinal epithelial cells (IECs) and intraepithelial lymphocytes (IELs) at the mucosal epithelium for providing immunological barrier as a first line of defense against mucosal infection. Plays a role in embryonic stem cells proliferation and differentiation. Up-regulates the expression of FABP5, MYC and cyclins A and E.
Subcellular Localization
Lateral cell membrane; Single-pass type I membrane protein. Cell junction, tight junction. Colocalizes with CLDN7 at the lateral cell membrane and tight junction.
Description
Boster Bio Anti-EpCAM Antibody Picoband® catalog # PB10059. Tested in ELISA, Flow Cytometry, IF, IHC, WB applications. This antibody reacts with Human. The brand Picoband indicates this is a premium antibody that guarantees superior quality, high affinity, and strong signals with minimal background in Western blot applications. Only our best-performing antibodies are designated as Picoband, ensuring unmatched performance.
Tissue Specificity
Highly and selectively expressed by undifferentiated rather than differentiated embryonic stem cells (ESC). Levels rapidly diminish as soon as ESC's differentiate (at protein levels). Expressed in almost all epithelial cell membranes but not on mesodermal or neural cell membranes. Found on the surface of adenocarcinoma.
Manufacturer - Alias
Epithelial cell adhesion molecule, Ep-CAM, Adenocarcinoma-associated antigen, Cell surface glycoprotein Trop-1, Epithelial cell surface antigen, Epithelial glycoprotein, EGP, Epithelial glycoprotein 314, EGP314, hEGP314, KS 1/4 antigen, KSA, Major gastrointestinal tumor-associated protein GA733-2, Tumor-associated calcium signal transducer 1, CD326, EPCAM, GA733-2, M1S2, M4S1, MIC18, TACSTD1, TROP1
Manufacturer - Cross Reactivity
No cross-reactivity with other proteins

Hinweis: Die dargestellten Informationen und Dokumente (Bedienungsanleitung, Produktdatenblatt, Sicherheitsdatenblatt und Analysezertifikat) entsprechen unserem letzten Update und sollten lediglich der Orientierung dienen. Wir übernehmen keine Garantie für die Aktualität. Für spezifische Anforderungen bitten wir Sie, uns eine Anfrage zu stellen.

Alle Produkte sind nur für Forschungszwecke bestimmt. Nicht für den menschlichen, tierärztlichen oder therapeutischen Gebrauch.

Menge: 100 ug/vial
Lieferbar: In stock
lieferbar

Vergleichen

Auf den Wunschzettel

Angebot anfordern

Lieferzeit anfragen

Technische Frage stellen

Bulk-Anfrage stellen

Fragen zum Produkt?