Vergleich

Anti-Kv1.4/KCNA4 Antibody Picoband® Europäischer Partner

ArtNr BOS-PB9807
Hersteller Boster
Menge 100 ug/vial
Quantity options 100 ug/vial 10 ug 100 ug/vial 100 ug/vial 100 ug/vial 100 ug 100 ug 100 ug 100 ug/vial 100 ug/vial 100 ug/vial 100 ug/vial 100 ug
Kategorie
Typ Antibody Polyclonal
Format Lyophilized
Applikationen WB, IHC
Specific against Human (Homo sapiens)
Host Rabbit
Isotype IgG
Sensitivity >5000 cells
Citations 1. Entrez Gene: KCNA4 potassium voltage-gated channel, shaker-related subfamily, member 4.
2. Gutman GA, Chandy KG, Grissmer S, Lazdunski M, McKinnon D, Pardo LA, Robertson GA, Rudy B, Sanguinetti MC, Stuhmer W, Wang X (Dec 2005). International Union of Pharmacology. LIII. Nomenclature and molecular relationships of voltage-gated potassium channels. Pharmacol Rev 57 (4): 473–508.
3. Philipson LH, Schaefer K, LaMendola J, Bell GI, Steiner DF (Feb 1991).Sequence of a human fetal skeletal muscle potassium channel cDNA related to RCK4. Nucleic Acids Res 18 (23): 7160.
ECLASS 10.1 32160702
ECLASS 11.0 32160702
UNSPSC 12352203
Alias Potassium voltage-gated channel subfamily A member 4,HPCN2,Voltage-gated K (+) channel HuKII,Voltage-gated potassium channel HBK4,Voltage-gated potassium channel HK1,Voltage-gated potassium channel subunit Kv1.4,KCNA4,KCNA4L
Lieferbar
Manufacturer - Category
Primary Antibodies
Storage Conditions
Store at -20°C for one year from date of receipt. After reconstitution, at 4°C for one month. It can also be aliquotted and stored frozen at -20°C for six months. Avoid repeated freeze-thaw cycles.
Observed Molecular weight
73 kDa
Calculated Molecular weight
73257 MW
Clonality
Polyclonal
Application Details
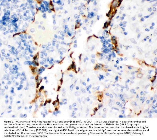
Immunohistochemistry (Paraffin-embedded Section), 0.5-1μg/ml, Human
Western blot, 0.1-0.5μg/ml, Human
Gene Name
KCNA4
Gene Full Name
Potassium voltage-gated channel subfamily A member 4
Manufacturer - Specificity
No cross reactivity with other proteins.
Background
Potassium voltage-gated channel subfamily A member 4, also known as Kv1.4 or PCN2, is a protein that in humans is encoded by the KCNA4 gene. This gene encodes a member of the potassium channel, voltage-gated, shaker-related subfamily. It is mapped to 11p14.1. KCNA4 belongs to the A-type potassium current class, the members of which may be important in the regulation of the fast repolarizing phase of action potentials in heart and thus may influence the duration of cardiac action potential. KCNA4 also contributes to the cardiac transient outward potassium current (Ito1), the main contributing current to the repolarizing phase 1 of the cardiac action potential. This gene has been shown to interact with DLG4, KCNA2 and DLG1.
Immunogen
A synthetic peptide corresponding to a sequence at the C-terminus of human Kv1.4, different from the related mouse sequence by two amino acids, and from the related rat sequence by one amino acid.
Contents
Each vial contains 5mg BSA, 0.9mg NaCl, 0.2mg Na2HPO4, 0.05mg NaN3.
Purification
Immunogen affinity purified.
Reconstitution
Add 0.2ml of distilled water will yield a concentration of 500ug/ml.
Concentration
Adding 0.2 ml of distilled water will yield a concentration of 500 μg/ml.
Manufacturer - Research Category
Domain Families, Epigenetics and Nuclear Signaling, Forkhead Box, Transcription
Protein Name
Potassium voltage-gated channel subfamily A member 4
Protein Function
Voltage-gated potassium channel that mediates transmembrane potassium transport in excitable membranes. Forms tetrameric potassium-selective channels through which potassium ions pass in accordance with their electrochemical gradient. The channel alternates between opened and closed conformations in response to the voltage difference across the membrane (PubMed:19912772, PubMed:8495559). Can form functional homotetrameric channels and heterotetrameric channels that contain variable proportions of KCNA1, KCNA2, KCNA4, KCNA5, and possibly other family members as well; channel properties depend on the type of alpha subunits that are part of the channel (PubMed:8495559). Channel properties are modulated by cytoplasmic beta subunits that regulate the subcellular location of the alpha subunits and promote rapid inactivation. In vivo, membranes probably contain a mixture of heteromeric potassium channel complexes, making it difficult to assign currents observed in intact tissues to any particular potassium channel family member. Homotetrameric KCNA4 forms a potassium channel that opens in response to membrane depolarization, followed by rapid spontaneous channel closure (PubMed:19912772, PubMed:8495559). Likewise, a heterotetrameric channel formed by KCNA1 and KCNA4 shows rapid inactivation (PubMed:17156368).
Subcellular Localization
Cell membrane; Multi-pass membrane protein. Cell projection, axon.
Description
Boster Bio Anti-Kv1.4/KCNA4 Antibody Picoband® catalog # PB9807. Tested in IHC, WB applications. This antibody reacts with Human. The brand Picoband indicates this is a premium antibody that guarantees superior quality, high affinity, and strong signals with minimal background in Western blot applications. Only our best-performing antibodies are designated as Picoband, ensuring unmatched performance.
Tissue Specificity
Detected in heart ventricle.
Manufacturer - Cross Reactivity
No cross-reactivity with other proteins.

Hinweis: Die dargestellten Informationen und Dokumente (Bedienungsanleitung, Produktdatenblatt, Sicherheitsdatenblatt und Analysezertifikat) entsprechen unserem letzten Update und sollten lediglich der Orientierung dienen. Wir übernehmen keine Garantie für die Aktualität. Für spezifische Anforderungen bitten wir Sie, uns eine Anfrage zu stellen.

Alle Produkte sind nur für Forschungszwecke bestimmt. Nicht für den menschlichen, tierärztlichen oder therapeutischen Gebrauch.

Menge: 100 ug/vial
Lieferbar: In stock
lieferbar

Vergleichen

Auf den Wunschzettel

Angebot anfordern

Lieferzeit anfragen

Technische Frage stellen

Bulk-Anfrage stellen

Fragen zum Produkt?