Vergleich

Anti-TIF1 gamma/TRIM33 Antibody Picoband® Europäischer Partner

ArtNr BOS-PB9836
Hersteller Boster
Menge 100 ug/vial
Quantity options 100 ug/vial 10 ug 100 ug/vial 100 ug/vial 100 ug/vial 100 ug 100 ug 100 ug 100 ug/vial 100 ug/vial 100 ug/vial 100 ug/vial 100 ug
Kategorie
Typ Antibody Polyclonal
Format Lyophilized
Applikationen WB, FC, IF, IHC, ICC
Specific against Human (Homo sapiens), Mouse (Murine, Mus musculus), Rat (Rattus norvegicus)
Host Rabbit
Isotype IgG
Sensitivity <20 pg/ml
Citations 1. Entrez Gene: TRIM33 tripartite motif-containing 33.
2. He, W., Dorn, D. C., Erdjument-Bromage, H., Tempst, P., Moore, M. A. S., Massague, J. Hematopoiesis controlled by distinct TIF1-gamma and Smad4 branches of the TGF-beta pathway. Cell 125: 929-941, 2006.
3. Venturini, L., You, J., Stadler, M., Galien, R., Lallemand, V., Koken, M. H. M., Mattei, M. G., Ganser, A., Chambon, P., Losson, R., de The, H. TIF1-gamma, a novel member of the transcriptional intermediary factor 1 family. Oncogene 18: 1209-1217, 1999.
ECLASS 10.1 32160702
ECLASS 11.0 32160702
UNSPSC 12352203
Alias E3 ubiquitin-protein ligase TRIM33,6.3.2.-,Ectodermin homolog,RET-fused gene 7 protein,Protein Rfg7,Transcription intermediary factor 1-gamma,TIF1-gamma,Tripartite motif-containing protein 33,TRIM33,KIAA1113,RFG7,TIF1G
Lieferbar
Manufacturer - Category
Primary Antibodies
Storage Conditions
Store at -20°C for one year from date of receipt. After reconstitution, at 4°C for one month. It can also be aliquotted and stored frozen at -20°C for six months. Avoid repeated freeze-thaw cycles.
Observed Molecular weight
150 kDa
Calculated Molecular weight
122533 MW
Clonality
Polyclonal
Application Details
Western blot, 0.1-0.5μg/ml, Human, Mouse, Rat
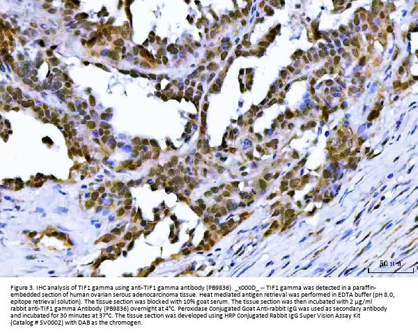
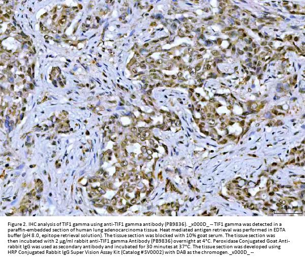
Immunohistochemistry (Paraffin-embedded Section), 2-5μg/ml, Human
Immunocytochemistry/Immunofluorescence, 2μg/ml, Human
Flow Cytometry (Fixed), 1-3μg/1x106 cells, Human
Gene Name
TRIM33
Gene Full Name
E3 ubiquitin-protein ligase TRIM33
Manufacturer - Specificity
No cross reactivity with other proteins.
Background
Tripartite motif-containing 33 (TRIM33), also known as transcriptional intermediary factor 1 gamma (TIF1-γ), is a human gene. The TRIM33 gene is mapped to chromosome 1p13 by FISH. The protein encoded by this gene is thought to be a transcriptional corepressor. However, molecules that interact with this protein have not yet been identified. The protein is a member of the tripartite motif family. This motif includes three zinc-binding domains, a RING, a B-box type 1 and a B-box type 2, and a coiled-coil region. Three alternatively spliced transcript variants for this gene have been described; however, the full-length nature of one variant has not been determined.
Immunogen
E.coli-derived human TIF1 gamma recombinant protein (Position: M1001-K1127). Human TIF1 gamma shares 96.1% amino acid (aa) sequence identity with mouse TIF1 gamma.
Contents
Each vial contains 5mg BSA, 0.9mg NaCl, 0.2mg Na2HPO4, 0.05mg NaN3.
Purification
Immunogen affinity purified.
Reconstitution
Add 0.2ml of distilled water will yield a concentration of 500ug/ml.
Concentration
Adding 0.2 ml of distilled water will yield a concentration of 500 μg/ml.
Manufacturer - Research Category
Co-Factors, Epigenetics and Nuclear Signaling, Hematopoietic Progenitors, Nuclear, Signaling Pathways, Stem Cells, TGF Beta, Transcription
Protein Name
E3 ubiquitin-protein ligase TRIM33
Protein Function
Acts as an E3 ubiquitin-protein ligase. Promotes SMAD4 ubiquitination, nuclear exclusion and degradation via the ubiquitin proteasome pathway. According to PubMed:16751102, does not promote a decrease in the level of endogenous SMAD4. May act as a transcriptional repressor. Inhibits the transcriptional response to TGF-beta/BMP signaling cascade. Plays a role in the control of cell proliferation. Its association with SMAD2 and SMAD3 stimulates erythroid differentiation of hematopoietic stem/progenitor (By similarity). Monoubiquitinates SMAD4 and acts as an inhibitor of SMAD4-dependent TGF-beta/BMP signaling cascade (Monoubiquitination of SMAD4 hampers its ability to form a stable complex with activated SMAD2/3 resulting in inhibition of TGF- beta/BMP signaling cascade).
Subcellular Localization
Nucleus. In discrete nuclear dots resembling nuclear bodies.
Description
Boster Bio Anti-TIF1 gamma/TRIM33 Antibody Picoband® catalog # PB9836. Tested in Flow Cytometry, IF, IHC, ICC, WB applications. This antibody reacts with Human, Mouse, Rat. The brand Picoband indicates this is a premium antibody that guarantees superior quality, high affinity, and strong signals with minimal background in Western blot applications. Only our best-performing antibodies are designated as Picoband, ensuring unmatched performance.
Tissue Specificity
Expressed in stem cells at the bottom of the crypts of the colon (at protein level). Expressed in colon adenomas and adenocarcinomas (at protein level). Expressed in brain, lung, liver, spleen, thymus, prostate, kidney, testis, heart, placenta, pancreas, small intestine, ovary, colon, skeletal muscle and hematopoietic progenitors.
Manufacturer - Cross Reactivity
No cross-reactivity with other proteins

Hinweis: Die dargestellten Informationen und Dokumente (Bedienungsanleitung, Produktdatenblatt, Sicherheitsdatenblatt und Analysezertifikat) entsprechen unserem letzten Update und sollten lediglich der Orientierung dienen. Wir übernehmen keine Garantie für die Aktualität. Für spezifische Anforderungen bitten wir Sie, uns eine Anfrage zu stellen.

Alle Produkte sind nur für Forschungszwecke bestimmt. Nicht für den menschlichen, tierärztlichen oder therapeutischen Gebrauch.

Menge: 100 ug/vial
Lieferbar: In stock
lieferbar

Vergleichen

Auf den Wunschzettel

Angebot anfordern

Lieferzeit anfragen

Technische Frage stellen

Bulk-Anfrage stellen

Fragen zum Produkt?