Vergleich

Anti-GFI1 Antibody Europäischer Partner

ArtNr BOS-A00888-1
Hersteller Boster
Menge 100 ug/vial
Quantity options 100 ug/vial 10 ug 100 ug 100 ug 100 ug 100 ug 100 ug 100 ug 100 ug 100 ug 100 ug 100 ug
Kategorie
Typ Antibody Polyclonal
Format Lyophilized
Applikationen IHC
Specific against Human (Homo sapiens), Mouse (Murine, Mus musculus), Rat (Rattus norvegicus)
Host Rabbit
Isotype IgG
Citations 1. Entrez Gene: GFI1 growth factor independent 1.
2. McGhee L, Bryan J, Elliott L, Grimes HL, Kazanjian A, Davis JN, Meyers S (August 2003). Gfi-1 attaches to the nuclear matrix, associates with ETO (MTG8) and histone deacetylase proteins, and represses transcription using a TSA-sensitive mechanism. J. Cell. Biochem. 89 (5): 1005–18.
ECLASS 10.1 32160702
ECLASS 11.0 32160702
UNSPSC 12352203
Alias Zinc finger protein Gfi-1,Growth factor independent protein 1,Zinc finger protein 163,GFI1,ZNF163
Lieferbar
Manufacturer - Category
Primary Antibodies
Storage Conditions
Store at -20°C for one year from date of receipt. After reconstitution, at 4°C for one month. It can also be aliquotted and stored frozen at -20°C for six months. Avoid repeated freeze-thaw cycles.
Observed Molecular weight
114 kDa
Clonality
Polyclonal
Application Details
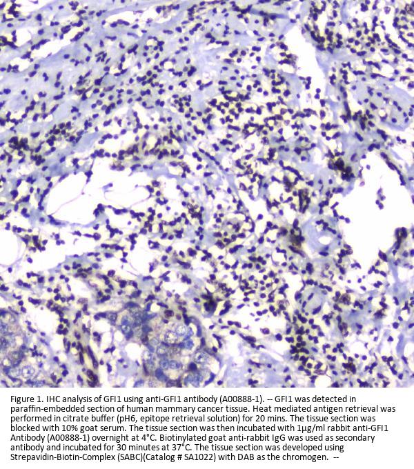
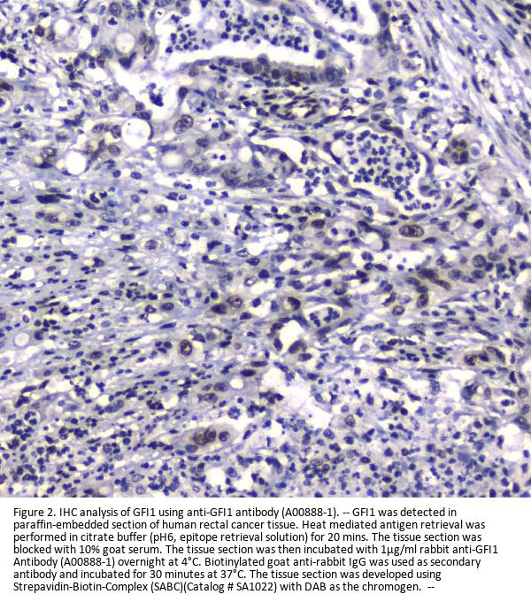
Immunohistochemistry (Paraffin-embedded Section), 0.5-1μg/ml
Gene Name
GFI1
Gene Full Name
growth factor independent 1 transcriptional repressor
Manufacturer - Specificity
No cross reactivity with other proteins.
Background
Zinc finger protein Gfi-1 is a protein that in humans is encoded by the GFI1 gene. This gene encodes a nuclear zinc finger protein that functions as a transcriptional repressor. This protein plays a role in diverse developmental contexts, including hematopoiesis and oncogenesis. It functions as part of a complex along with other cofactors to control histone modifications that lead to silencing of the target gene promoters. Mutations in this gene cause autosomal dominant severe congenital neutropenia, and also dominant nonimmune chronic idiopathic neutropenia of adults, which are heterogeneous hematopoietic disorders that cause predispositions to leukemias and infections. Multiple alternatively spliced variants, encoding the same protein, have been identified for this gene.
Immunogen
A synthetic peptide corresponding to a sequence at the C-terminus of human GFI1, identical to the related mouse and rat sequences.
Contents
Each vial contains 4mg Trehalose, 0.9mg NaCl, 0.2mg Na2HPO4, 0.05mg NaN3.
Purification
Immunogen affinity purified.
Reconstitution
Add 0.2ml of distilled water will yield a concentration of 500ug/ml.
Concentration
Adding 0.2 ml of distilled water will yield a concentration of 500 μg/ml.
Manufacturer - Research Category
Cancer Susceptibility, Epigenetics and Nuclear Signaling, Proto-Oncogenes, Transcription
Protein Function
Transcription repressor essential for hematopoiesis. Functions in a cell-context and development-specific manner. Binds to 5'-TAAATCAC[AT]GCA-3' in the promoter region of a large number of genes. Component of several complexes, including the EHMT2- GFI1-HDAC1, AJUBA-GFI1-HDAC1 and RCOR-GFI-KDM1A-HDAC complexes, that suppress, via histone deacetylase (HDAC) recruitment, a number of genes implicated in multilineage blood cell development. Regulates neutrophil differentiation, promotes proliferation of lymphoid cells, and is required for granulocyte development. Mediates, together with U2AF1L4, the alternative splicing of CD45 and controls T-cell receptor signaling. Regulates the endotoxin- mediated Toll-like receptor (TLR) inflammatory response by antagonizing RELA. Cooperates with CBFA2T2 to regulate ITGB1- dependent neurite growth. Controls cell-cycle progression by repressing CDKNIA/p21 transcription in response to TGFB1 via recruitment of GFI1 by ZBTB17 to the CDKNIA/p21 and CDKNIB promoters. Required for the maintenance of inner ear hair cells.
Subcellular Localization
Nucleus.
Description
Boster Bio Anti-GFI1 Antibody Picoband® catalog # A00888-1. Tested in IHC applications. This antibody reacts with Human, Mouse, Rat.
Tissue Specificity
Isoform 1 is expressed in pancreas. Isoform 2 and isoform 3 is expressed in liver.
Manufacturer - Cross Reactivity
No cross-reactivity with other proteins.

Hinweis: Die dargestellten Informationen und Dokumente (Bedienungsanleitung, Produktdatenblatt, Sicherheitsdatenblatt und Analysezertifikat) entsprechen unserem letzten Update und sollten lediglich der Orientierung dienen. Wir übernehmen keine Garantie für die Aktualität. Für spezifische Anforderungen bitten wir Sie, uns eine Anfrage zu stellen.

Alle Produkte sind nur für Forschungszwecke bestimmt. Nicht für den menschlichen, tierärztlichen oder therapeutischen Gebrauch.

Menge: 100 ug/vial
Lieferbar: In stock
lieferbar

Vergleichen

Auf den Wunschzettel

Angebot anfordern

Lieferzeit anfragen

Technische Frage stellen

Bulk-Anfrage stellen

Fragen zum Produkt?