Vergleich

Anti-Carbonic Anhydrase III/CA3 Antibody Picoband® Europäischer Partner

ArtNr BOS-PB10049
Hersteller Boster
Menge 100 ug/vial
Quantity options 100 ug/vial 10 ug 100 ug 100 ug 100 ug 100 ug 100 ug 100 ug 100 ug 100 ug 100 ug 100 ug 100 ug
Kategorie
Typ Antibody Polyclonal
Format Lyophilized
Applikationen WB, IHC
Specific against Human (Homo sapiens), Mouse (Murine, Mus musculus), Rat (Rattus norvegicus)
Host Rabbit
Isotype IgG
Sensitivity >5000 cells
Citations 1. Edwards, Y. H., Lloyd, J. C., Parkar, M., Povey, S.The gene for human muscle specific carbonic anhydrase (CAIII) is assigned to chromosome 8.Ann. Hum. Genet. 50: 41-47, 1986.
2. Heath, R., Carter, N. D., Jeffery, S., Edwards, R. J., Watts, D. C., Watts, R. L.Evaluation of carrier detection of Duchenne muscular dystrophy using carbonic anhydrase III and creatine kinase.Am. J. Med. Genet. 21: 291-296, 1985.
3. Wade, R., Gunning, P., Eddy, R., Shows, T., Kedes, L.Nucleotide sequence, tissue-specific expression, and chromosome location of human carbonic anhydrase III: the human CAIII gene is located on the same chromosome as the closely linked CAI and CAII genes.Proc. Nat. Acad. Sci. 83: 9571-9575, 1986.
ECLASS 10.1 32160702
ECLASS 11.0 32160702
UNSPSC 12352203
Alias Carbonic anhydrase 3,4.2.1.1,Carbonate dehydratase III,Carbonic anhydrase III,CA-III,CA3
Lieferbar
Manufacturer - Category
Primary Antibodies
Storage Conditions
Store at -20°C for one year from date of receipt. After reconstitution, at 4°C for one month. It can also be aliquotted and stored frozen at -20°C for six months. Avoid repeated freeze-thaw cycles.
Observed Molecular weight
29 kDa
Calculated Molecular weight
29557 MW
Clonality
Polyclonal
Application Details
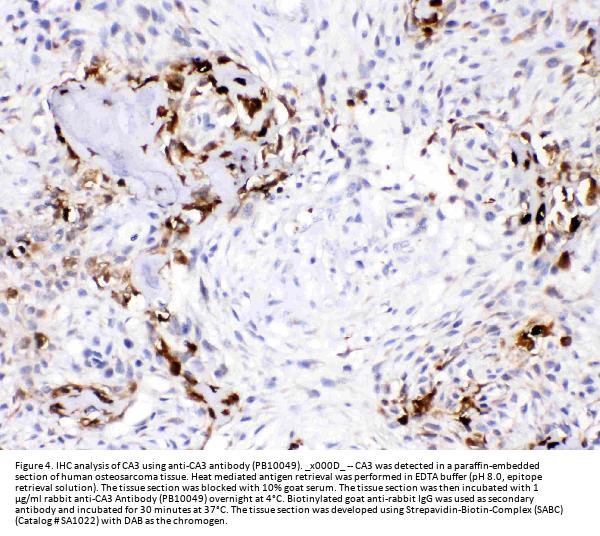
Immunohistochemistry (Paraffin-embedded Section), 0.5-1μg/ml, Human, Mouse, Rat
Western blot, 0.1-0.5μg/ml, Mouse, Rat, Human
Gene Name
CA3
Gene Full Name
Carbonic anhydrase 3
Manufacturer - Specificity
No cross reactivity with other proteins.
Background
Carbonic anhydrase III (CA3) is an enzyme that in humans is encoded by the CA3 gene. CA3 is a member of a multigene family (at least six separate genes are known) that encode carbonic anhydrase isozymes. The gene spans 10.3 kb and contains seven exons and six introns. Using a cDNA clone of the CA3 gene in the study of human-rodent hybrids, the gene was mapped to chromosome 8 which carries a cluster of CA genes. The expression of the CA3 gene is strictly tissue specific and present at high levels in skeletal muscle and much lower levels in cardiac and smooth muscle. A proportion of carriers of Duchenne muscle dystrophy have a higher CA3 level than normal.
Immunogen
E. coli-derived human CA3 recombinant protein (Position: D14-E235). Human CA3 shares 92.3% and 91.4% amino acid (aa) sequence identity with mouse and rat CA3, respectively.
Contents
Each vial contains 5mg BSA, 0.9mg NaCl, 0.2mg Na2HPO4, 0.05mg NaN3.
Purification
Immunogen affinity purified.
Reconstitution
Add 0.2ml of distilled water will yield a concentration of 500ug/ml.
Concentration
Adding 0.2 ml of distilled water will yield a concentration of 500 μg/ml.
Manufacturer - Research Category
Associated Proteins, Cardiovascular, Cell Biology, Cell Type Markers, Hypoxia
Protein Name
Carbonic anhydrase 3
Protein Function
Reversible hydration of carbon dioxide.
Subcellular Localization
Cytoplasm.
Description
Boster Bio Anti-Carbonic Anhydrase III/CA3 Antibody Picoband® catalog # PB10049. Tested in IHC, WB applications. This antibody reacts with Human, Mouse, Rat. The brand Picoband indicates this is a premium antibody that guarantees superior quality, high affinity, and strong signals with minimal background in Western blot applications. Only our best-performing antibodies are designated as Picoband, ensuring unmatched performance.
Tissue Specificity
Muscle specific.
Manufacturer - Cross Reactivity
No cross-reactivity with other proteins

Hinweis: Die dargestellten Informationen und Dokumente (Bedienungsanleitung, Produktdatenblatt, Sicherheitsdatenblatt und Analysezertifikat) entsprechen unserem letzten Update und sollten lediglich der Orientierung dienen. Wir übernehmen keine Garantie für die Aktualität. Für spezifische Anforderungen bitten wir Sie, uns eine Anfrage zu stellen.

Alle Produkte sind nur für Forschungszwecke bestimmt. Nicht für den menschlichen, tierärztlichen oder therapeutischen Gebrauch.

Menge: 100 ug/vial
Lieferbar: In stock
lieferbar

Vergleichen

Auf den Wunschzettel

Angebot anfordern

Lieferzeit anfragen

Technische Frage stellen

Bulk-Anfrage stellen

Fragen zum Produkt?